Journal of Peking University (Health Sciences) ›› 2025, Vol. 57 ›› Issue (3): 620-625. doi: 10.19723/j.issn.1671-167X.2025.03.030

Previous Articles    

朱慧1, 闵赛南1, 苏家增1, 陈艳2, 彭歆1, 于尧1, 俞光岩1,*()   

  • Received:2024-02-05 Online:2025-06-18 Published:2025-06-13
  • Contact: 俞光岩

RICH HTML

  

CLC Number: 

  • R781.5

Table 1

Clinical features of 6 cases with eosinophilic ulcer of the oral mucosa"

Case Gender Age/years Duration/weeks Location Range/(cm×cm) Etiology EO(×109/L) Clinical impression Management Follow-up/months Recurrence Times of other ulcers*
1 M 30 1 The dorsum of the tongue 2.0×1.5 Stab 1.66↑ Malignant tumor? Resection 12 No 3
2 F 60 12 Lateral margin of the tongue 1.5×1.0 Psychological 0.03 Malignant tumor Biopsy 24 No 2
3 M 10 4 Buccal mucosa 2.0×2.0 None - Malignant tumor Biopsy 66 No 0
4 F 57 2 Lateral margin of the tongue 1.5×1.0 None - Malignant tumor Biopsy 54 No 0
5 M 0.5 8 The belly of the tongue 1.5×1.0 Incisor rubbing 0.85↑ Tumor? Resection 42 No 4
6 M 49 1.5 Lateral margin of the tongue 4.0×3.0 Bite 0.07 Tumor or infection? Biopsy 11 No 0

Figure 1

Case 1, an ulcer on the dorsum of the tongue, which is covered with pseudomembrane and surrounded by elevated lesion"

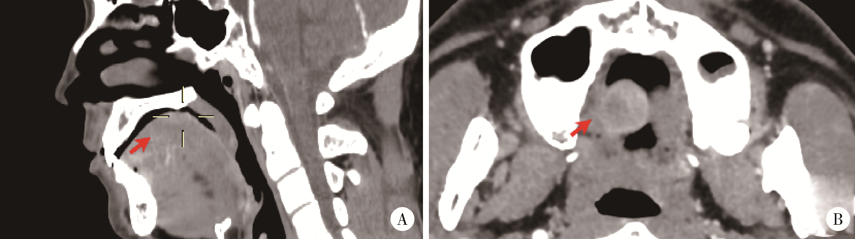
Figure 2

Case 1, CT showed a mildly enhanced round soft tissue mass on the dorsum of the tongue(arrowhead)"

Figure 3

Case 1, the lesion is excised, and the wound is closed by direct suture"

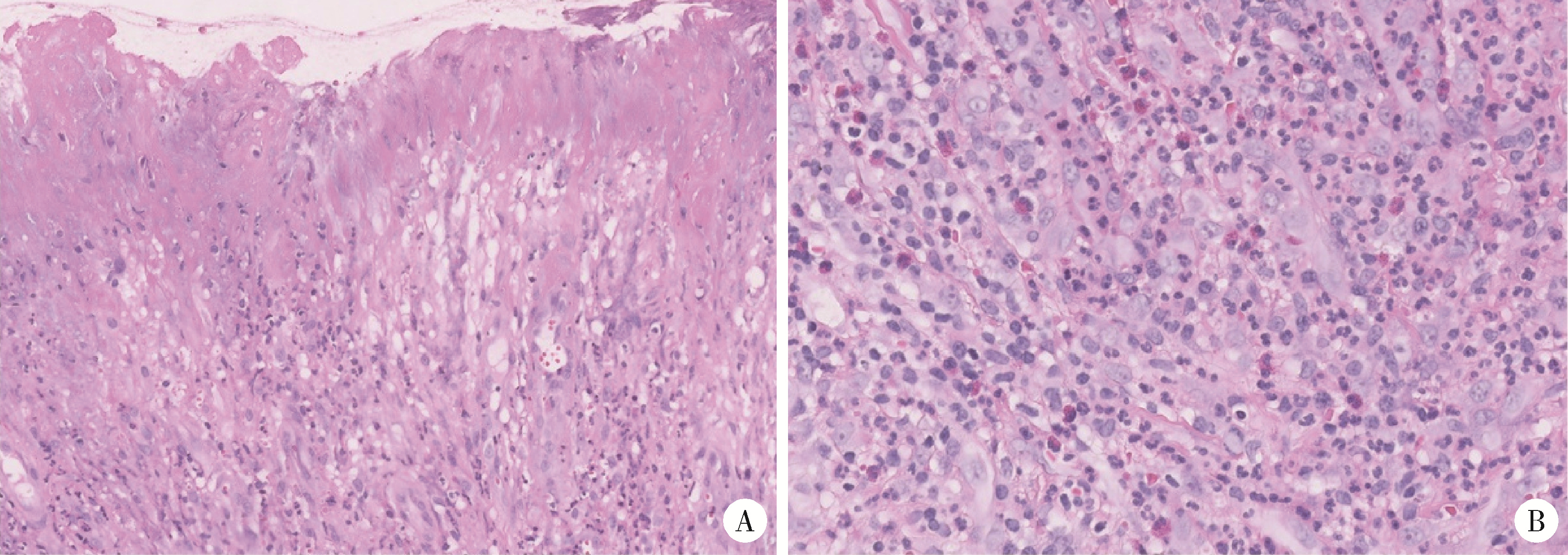
Figure 4

Histopathological findings of case 1 A, ulcer on the surface of mucosa with neutrophil infiltration (HE ×20); B, chronic inflammatory cells including many eosinophilic cells diffusely infiltrate into the muscle (HE ×40)."

Figure 5

Case 2, an ulcer on the lateral margin of the right tongue A, appearance of ulcer at the initial diagnosis; B, one week after biopsy, the lesion is smaller than before; C, one month later, the ulcer in the anterior part of the right lingual margin disappeared, and an ulcer appeared in the posterior part of the right lingual margin with rough surface; D, one year later, a mung bean-sized ulcer appeared(arrowhead)."

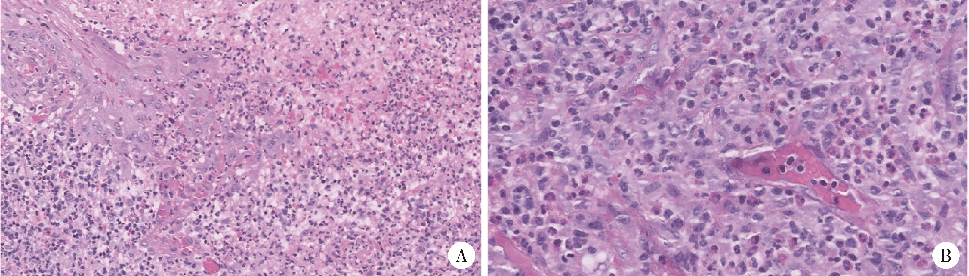
Figure 6

Histopathological findings of case 2 A, ulcer on the surface of mucosa with epithelial necrosis, inflammatory cells infiltration in the underlying submucosa (HE ×20); B, mixed chronic inflammatory cell infiltration in the submucosa and muscle,note the presence of many eosinophilic cells (HE ×40)."

1
Mezei MM , Tron VA , Stewart WD , et al. Eosinophilic ulcer of the oral mucosa[J]. J Am Acad Dermatol, 1995, 33 (5 Pt 1): 734- 740.
2
Segura S , Pujol RM . Eosinophilic ulcer of the oral mucosa: A distinct entity or a non-specific reactive pattern[J]. Oral Dis, 2008, 14 (4): 287- 295.

doi: 10.1111/j.1601-0825.2008.01444.x
3
Elzay RP . Traumatic ulcerative granuloma with stromal eosinophilia(Riga-Fede's disease and traumatic eosinophilic granuloma)[J]. Oral Surg Oral Med Oral Pathol Oral Radiol, 1983, 55 (5): 497- 506.

doi: 10.1016/0030-4220(83)90236-0
4
Akhavan A , Mosavi A , Jarrahi M , et al. Eosinophilic ulcer of the tongue in an 80-year-old Iranian woman after a psychologically stressful event[J]. BMJ Case Rep, 2013, 2013, bcr2012008487.

doi: 10.1136/bcr-2012-008487
5
Ribeiro AL , Mendes FR , Alves Sde M , et al. Eosinophilic ulcer: The role of stress-induced psychoneuroimmunologic factors[J]. J Oral Maxil Surg, 2011, 15 (3): 179- 182.

doi: 10.1007/s10006-010-0239-4
6
Melgarejo Moreno PJ , Hellín Meseguer D , Ruiz Macía JA . Eosinophilic ulcers of the tongue as an adverse reaction to carbamazepine[J]. An Otorrinolaringol Ibero Am, 1998, 25 (2): 167- 171.
7
el-Mofty SK , Swanson PE , Wick MR , et al. Eosinophilic ulcer of the oral mucosa.Report of 38 new cases with immunohistochemical observations[J]. Oral Surg Oral Med Oral Pathol, 1993, 75 (6): 716- 722.

doi: 10.1016/0030-4220(93)90429-8
8
Dash S , Sarkar N , Sethy M , et al. An ulcer on the tongue of a child[J]. Pediatr Dermatol, 2023, 40 (6): 1130- 1132.

doi: 10.1111/pde.15332
9
Rakocz M , Frand M , Brand N . Familial dysautonomia with RigaFede's disease: Report of case[J]. ASDC J Dent Child, 1987, 54 (1): 57- 59.
10
Hamie L , Hamie M , Kurban M , et al. Eosinophilic ulcer of the oral mucosa: An update on clinicopathologic features, pathogenesis, and management[J]. Int J Dermatol, 2022, 61 (11): 1359- 1363.

doi: 10.1111/ijd.15986
11
Vélez A , Alamillos FJ , Dean A , et al. Eosinophilic ulcer of the oral mucosa: Report of a recurrent case on the tongue[J]. Clin Exp Dermatol, 1997, 22 (3): 154- 156.

doi: 10.1111/j.1365-2230.1997.tb01047.x
12
Rosa DE , Hapid MH , Hidayat W . Non-healing chronic traumatic ulcer, an entity that can resemble other chronic ulcers[J]. Int Med Case Rep J, 2023, 16, 585- 590.
13
Lee CC , Yu KH , Chan TM . Kimura's disease: A clinicopathological study of 23 cases[J]. Front Med(Lausanne), 2022, 9, 1069102.
14
Teraki Y , Terao A . Treatment of Kimura disease with dupilumab[J]. JAMA Dermatol, 2022, 158 (3): 329- 330.

doi: 10.1001/jamadermatol.2021.5885
15
Almoznino G , Zini A , Mizrahi Y , et al. Elevated serum IgE in recurrent aphthous stomatitis and associations with disease characteristics[J]. Oral Dis, 2014, 20 (4): 386- 394.

doi: 10.1111/odi.12131
16
Criado PR , Miot HA , Ianhez M . Eosinophilia and elevated IgE serum levels: A red flag: When your diagnosis is not a common atopic eczema or common allergy[J]. Inflamm Res, 2023, 72 (3): 541- 551.

doi: 10.1007/s00011-023-01690-7
17
Capodiferro S , Tempesta A , Limongelli L , et al. Primary orofacial manifestations of langerhans cell histiocytosis in pediatric age: A bi-institutional retrospective study on 45 cases[J]. Children(Basel), 2020, 7 (9): 104.
18
Nguyen T , Yaghsezian A , Lin YL , et al. An unusual case of cluster of differentiation 30-positive T-cell lymphoproliferative disorder manifesting as mandibular gingival ulceration: A case report[J]. J Am Dent Assoc, 2022, 153 (2): 175- 182.
19
Benitez B , Mülli J , Tzankov A , et al. Traumatic ulcerative granuloma with stromal eosinophilia-clinical case report, literature review, and differential diagnosis[J]. World J Surg Oncol, 2019, 17 (1): 184.
20
Mohamad AF , Abdul Rahman NR , Ch'ng ES . A case report of traumatic ulcerative granuloma with stromal eosinophilia (TUGSE): Clinical and histopathological diagnostic challenges[J]. Cureus, 2023, 15 (11): e48481.
21
Setti G , Martella E , Mancini C , et al. Self-healing CD30-T-clonal proliferation of the tongue: Report of an extremely rare case[J]. BMC Oral Health, 2019, 19 (1): 186.
22
Rahmatpour Rokni G , Sonthalia S , Rathod D , et al. Eosinophilic ulcer mimicking malignancy of the lower lip: A case report[J]. Clin Case Rep, 2020, 8 (5): 804- 807.
[1] Ying HAN, Pu ZHAO, Hongwei LIU. Microneedle combined with photodynamic therapy in the treatment of oral leukoplakia [J]. Journal of Peking University (Health Sciences), 2025, 57(1): 91-96.
[2] Xiaomeng REN,Kaiyi LI,Chunlei LI. Detection of molecular affecting sensitivity to local glucocorticoid therapy in oral lichen planus through transcriptome sequencing [J]. Journal of Peking University (Health Sciences), 2024, 56(1): 32-38.
[3] Zheng-da ZHU,Yan GAO,Wen-xiu HE,Xin FANG,Yang LIU,Pan WEI,Zhi-min YAN,Hong HUA. Efficacy and safety of Nocardia rubra cell wall skeleton for the treatment of erosive oral lichen planus [J]. Journal of Peking University (Health Sciences), 2021, 53(5): 964-969.
[4] . [J]. Journal of Peking University (Health Sciences), 2021, 53(1): 5-8.
[5] LIANG Nai-wen, SHI Lei,HUANG Ying,DENG Xu-liang. Role of different scale structures of titanium implant in the biological behaviors of human umbilical vein endothelial cells [J]. Journal of Peking University(Health Sciences), 2017, 49(1): 43-048.
[6] GUO Yu-si, LI Shuo, LYU Ming-yue, YANG Di, HUA Hong. Analysis of type C behavior in patients with oral lichen planus [J]. Journal of Peking University(Health Sciences), 2017, 49(1): 120-124.
Viewed
Full text


Abstract

Cited

  Shared   
  Discussed   
No Suggested Reading articles found!