前牙美学修复的整体策略及细节剖析 |
| 刘云松,周倜,叶红强 |
|
|
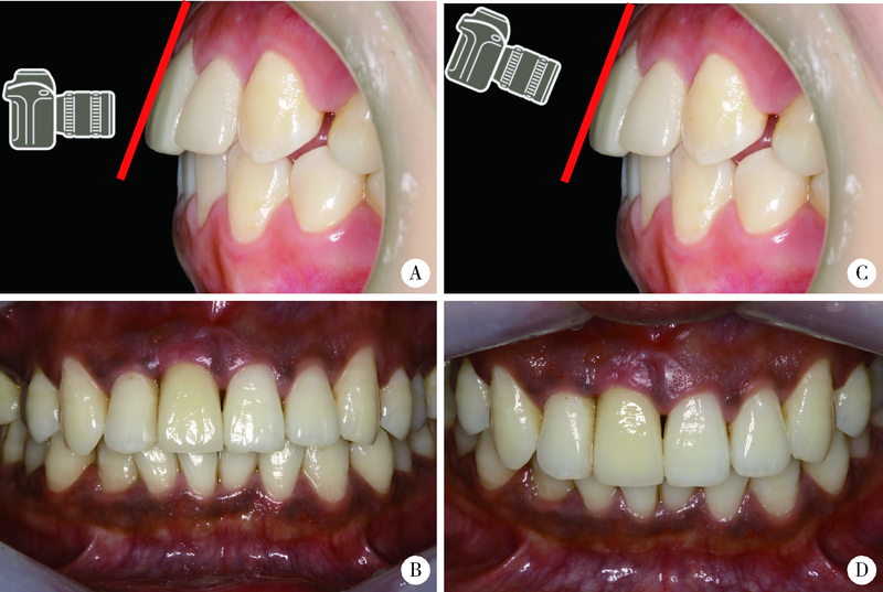
| 图2 前牙美学分析照片拍摄时要注意拍摄角度 |
| Figure 2 Attention should be paid to the shooting angle when taking photos of anterior teeth for aesthetic analysis A, the shooting angle is not perpendicular to the tooth surface; B, the photo cannot reflect the actual width-to-length ratio of the crown and the incisal edge curvature; C, the shooting angle is perpendicular to the tooth surface; D, the photo can reflect the actual width-to-length ratio of the crown and the incisal edge curvature. |
|