中国人群遗传性周围神经病的致病基因分布 |
| 刘小璇,段晓慧,张朔,孙阿萍,张英爽,樊东升 |
|
Genetic distribution in Chinese patients with hereditary peripheral neuropathy |
| Xiao-xuan LIU,Xiao-hui DUAN,Shuo ZHANG,A-ping SUN,Ying-shuang ZHANG,Dong-sheng FAN |
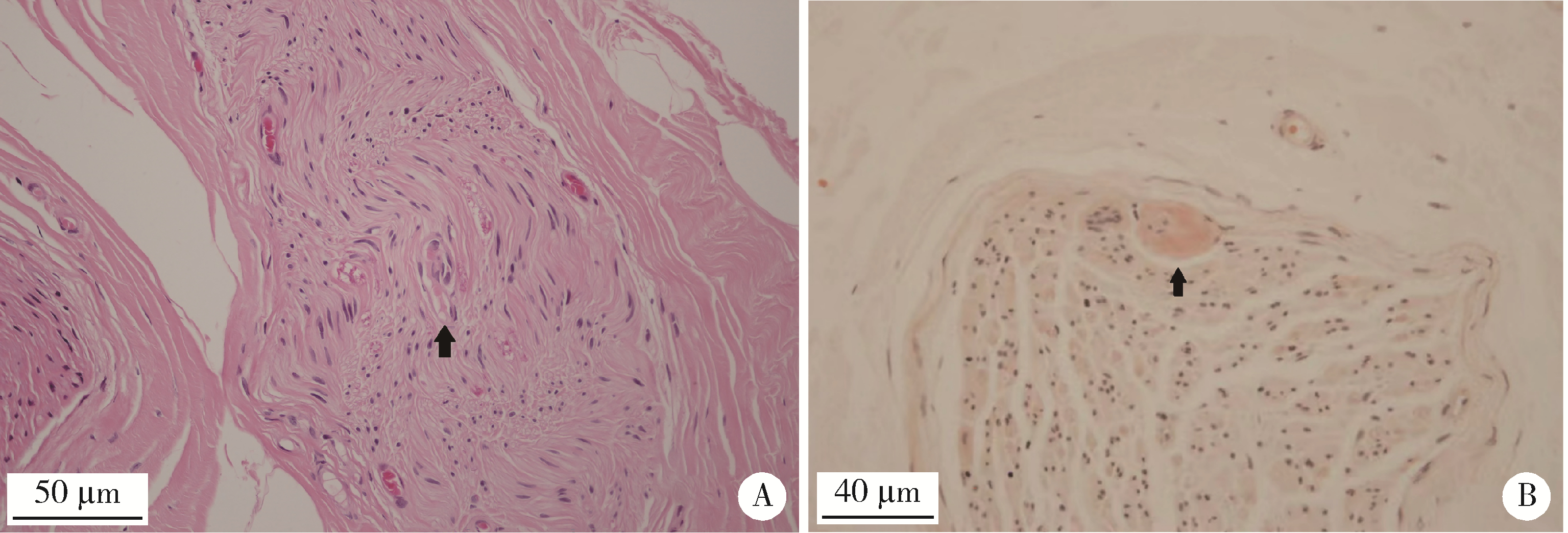
| 图6 FAP患者的神经活检 |
| Figure 6 Sural nerve biopsy in a patient with FAP A, homogeneous eosinophilic deposit has been found in sural nerve (arrow, HE staining ×40); B, amyloid deposition (arrow, Congo red staining ×100). FAP, familiar amyloid neuropathy. |
|