Journal of Peking University (Health Sciences) ›› 2025, Vol. 57 ›› Issue (3): 610-613. doi: 10.19723/j.issn.1671-167X.2025.03.028

Previous Articles     Next Articles

Ipsilateral femoral neck fracture after fixation of intertrochanteric fracture by InterTAN intramedullary nail: A case report

Taiguo NING, Liping PAN, Yilin YEΔ(), Yongping CAO   

  1. Department of Orthopaedics, Peking University First Hospital, Beijing 100034, China
  • Received:2022-07-27 Online:2025-06-18 Published:2025-06-13
  • Contact: Yilin YE

RICH HTML

  

Abstract:

Hip fractures are common in elderly patients and are associated with significant morbidity and mortality, often referred to as the "last fracture of life". These fractures frequently result in a loss of functional independence. Evidence suggests that early surgical intervention can reduce mortality. The selection of treatment modality should take into account factors such as the type of fracture, the patient' s age, and overall health status. This case report discusses an 88-year-old female patient who sustained an unstable intertrochanteric fracture of the left femur following a fall. She underwent closed reduction and internal fixation using an InterTAN intramedullary nail, resulting in a satisfactory postoperative recovery. Sixteen months following the surgical procedure, the patient presented with progressive pain in the left hip and ambulatory difficulties, absent from any evident trauma. Radiographic analysis identified a fracture of the left femoral neck accompanied by some degree of acetabular bone degradation attributable to the implant. Subsequently, the patient underwent removal of the internal fixation device and received a hemiarthroplasty. The postoperative course was uneventful, with marked improvements in both pain levels and functional capacity. This case underscored the intricate nature of femoral neck fractures following the internal fixation of intertrochanteric fractures. Contributing factors may include advanced age, osteoporosis, and stress shielding induced by the implant. In patients presenting with hip pain or gait disturbances months to years post-intertrochanteric fracture surgery, the potential for a new fracture should be consi- dered, even in the absence of an explicit traumatic incident. Radiographic imaging is imperative to exclude the presence of a fracture, particularly in individuals with high-risk factors such as advanced age, osteoporosis, alcohol abuse, and a history of hormone therapy. Management of such cases may necessitate the removal of internal fixation devices and the implementation of hemiarthroplasty or total hip arthroplasty, contingent upon the patient ' s surgical tolerance. Crucially, anti-osteoporosis therapy serves as a vital preventive strategy. Considering the high-risk profile of elderly patients with hip fractures, diligent follow-up and timely intervention are paramount to mitigating complications and mortality, thereby enhancing the quality of life for these patients. This case highlights the critical need for increased vigilance and comprehensive management of elderly patients with hip fractures to enhance treatment outcomes and improve prognosis.

Key words: Hip fracture, Intertrochanteric fracture, Femoral neck fracture

CLC Number: 

  • R683.4

Figure 1

Hip joint X-ray of patient before initial admission A, radiographic examinations, including X-ray imaging of anteroposterior view of hips; B, lateral view of left hip, indicate the presence of an intertrochanteric fracture in the left femur."

Figure 2

X-ray in closed reduction and internal fixation of femur intertrochanteric fracture of paitient A, following closed reduction, the X-ray of the left hip confirmed a well-reduced fracture; B, after inserting the guide pin into the femoral medullary cavity, reaming was performed; C, subsequently, the proximal femoral intramedullary nail and lag screw were inserted, and an X-ray of the femur was taken."

Figure 3

X-ray after closed reduction and intramedullary nail fixation of left femoral intertrochanteric fracture of patient A, post-operative anteroposterior view of hips; B, lateral view of left hip, showed that the fracture reduction and internal fixation was satisfactory."

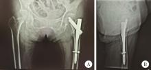
Figure 4

Radiographic examination of the hip of patient 16 months postoperatively A, sixteen months post-operation, X-ray imaging of anteroposterior view of hips; B, lateral view of left hip, revealed a fracture in the left femoral neck and a cut-out screw."

Figure 5

During the operation, the patient' s original intertrochanteric femur fracture had healed, revealing a femoral neck fracture"

Figure 6

X-ray films of patient after left hemiarthroplasty A, X-ray films of both hips; B, left hip lateral view, post-left hip hemiarthroplasty."

1
Gullberg B , Johnell O , Kanis JA . World-wide projections for hip fracture[J]. Osteoporos Int, 1997, 7 (5): 407- 413.

doi: 10.1007/PL00004148
2
Tosounidis TH , Castillo R , Kanakaris NK , et al. Common complications in hip fracture surgery: Tips/tricks and solutions to avoid them[J]. Injury, 2015, 46 (Suppl 5): S3- S11.
3
Sing CW , Lin TC , Bartholomew S , et al. Global epidemiology of hip fractures: A study protocol using a common analytical platform among multiple countries[J]. BMJ Open, 2021, 11 (7): e047258.

doi: 10.1136/bmjopen-2020-047258
4
Blanco JF , da Casa C , Pablos-Hernández C , et al. 30-day morta-lity after hip fracture surgery: Influence of postoperative factors[J]. PLoS One, 2021, 16 (2): e0246963.

doi: 10.1371/journal.pone.0246963
5
Huang SG , Chen B , Zhang Y , et al. Comparison of the clinical effectiveness of PFNA, PFLCP, and DHS in treatment of unstable intertrochanteric femoral fracture[J]. Am J Ther, 2017, 24 (6): e659- e666.

doi: 10.1097/MJT.0000000000000346
6
Yoon YC , Oh CW , Sim JA , et al. Intraoperative assessment of reduction quality during nail fixation of intertrochanteric fractures[J]. Injury, 2020, 51 (2): 400- 406.

doi: 10.1016/j.injury.2019.10.087
7
Lacey DL , Boyle WJ , Simonet WS , et al. Bench to bedside: Elucidation of the OPG-RANK-RANKL pathway and the development of denosumab[J]. Nat Rev Drug Discov, 2012, 11 (5): 401- 419.

doi: 10.1038/nrd3705
8
Adami S , Libanati C , Boonen S , et al. Denosumab treatment in postmenopausal women with osteoporosis does not interfere with fracture-healing[J]. J Bone Joint Surg Am, 2012, 94 (23): 2113- 2119.

doi: 10.2106/JBJS.K.00774
9
Barquet A , Giannoudis PV , Gelink A . Femoral neck fractures after internal fixation of trochanteric fractures with implants in situ in adults: A systematic review[J]. Injury, 2018, 49 (12): 2121- 2131.

doi: 10.1016/j.injury.2018.11.007
10
薛磊, 李乾, 胡刚峰, 等. 成人股骨CT建模及解剖学参数三维自动测量[J]. 中华医学杂志, 2019, 99 (39): 3093- 3099.
11
Lung YT , Kam WL , Leung YF , et al. Subcapital femoral neck fracture following successful trochanteric fracture treatment with a dynamic hip screw: A report of five cases[J]. J Orthop Surg (Hong Kong), 2007, 15 (2): 238- 241.

doi: 10.1177/230949900701500224
12
Cameron HU , Pilliar RM , Hastings DE , et al. Iatrogenic subcapital fracture of the hip: A new complication of intertrochanteric fractures[J]. Clin Orthop Relat Res, 1975 (112): 218- 220.
13
Tronzo RG. Fractures of the hip in adults[M]//Tronzo RG. Surgery of the hip joint. Philadelphia: Lea & Febiger, 1973: 526.
14
Syed F , Nunag P , Mustafa A , et al. Ipsilateral intracapsular hip fracture 2 years after fixation of extracapsular fracture by dynamic hip screw[J]. J Orthop Case Rep, 2015, 5 (2): 18- 20.
15
Baumgaertner MR , Curtin SL , Lindskog DM , et al. The value of the tip-apex distance in predicting failure of fixation of peritrochanteric fractures of the hip[J]. J Bone Joint Surg Am, 1995, 77 (7): 1058- 1064.

doi: 10.2106/00004623-199507000-00012
16
Kaneko H , Matsuda K , Kim S , et al. Subcapital femoral neck fracture after fixation of an intertrochanteric fracture with a proximal femoral nail: A report of two cases[J]. J Orthop Surg (Hong Kong), 2009, 17 (3): 370- 373.

doi: 10.1177/230949900901700326
[1] Yuanmei LIU, Yicheng FU, Jingxin HAO, Fuchun ZHANG, Huilin LIU. Construction and validation of a nomogram for predicting in-hospital postoperative heart failure in elderly patients with hip fracture [J]. Journal of Peking University (Health Sciences), 2024, 56(5): 874-883.
[2] Bing-chuan LIU,Chuan SUN,Yong XING,Fang ZHOU,Yun TIAN,Hong-quan JI,Zhi-shan ZHANG,Yan GUO,Yang LV,Zhong-wei YANG,Guo-jin HOU,Shan GAO. Analysis of risk factors for necrosis of femoral head after internal fixation surgery in young and mid-aged patients with femoral neck fracture [J]. Journal of Peking University (Health Sciences), 2020, 52(2): 290-297.
[3] Wei ZHANG,Pei-xun ZHANG. Analysis of prophylactic effect of extended-duration anticoagulant drugs in elderly patients undergoing hip fracture [J]. Journal of Peking University(Health Sciences), 2019, 51(3): 501-504.
[4] Yi-ran ZHANG,Feng RAO,Wei PI,Pei-xun ZHANG,Bao-guo JIANG. Proximal femoral nails antirotation and dynamic hip screws for fixation of unstable intertrochanteric fractures of femur: A meta-analysis [J]. Journal of Peking University(Health Sciences), 2019, 51(3): 493-500.
[5] Jian CHEN,Cai-hong ZUO,Cai-yi ZHANG,Ming YANG,Pei-xun ZHANG. Comparison of the effects of two cephalomedullary nails (zimmer natural nail and proximal femoral nail antirotation) in treatment of elderly intertrochan teric fractures [J]. Journal of Peking University(Health Sciences), 2019, 51(2): 283-287.
[6] WEI Bin, ZHANG Hua, XU Mao, LI Min, WANG Jun, ZHANG Li-ping, GUO Xiang-yang, ZHAO Yi-ming, ZHOU Fang. Effect of different anesthetic methods on postoperative outcomes in elderly patients undergoing hip fracture surgery [J]. Journal of Peking University(Health Sciences), 2017, 49(6): 1008-1013.
[7] ZHANG Tie-chao, ZHANG Zhi-shan, ZHOU Fang, TIAN Yun, JI Hong-quan, GUO Yan, LV Yang, YANG Zhong-wei, HOU Guo-jin. Diagnosis and treatment for the basicervical fractures of the trochanteric region [J]. Journal of Peking University(Health Sciences), 2017, 49(2): 246-251.
[8] ZHANG Shu, ZHANG Ji-yuan, YANG Du-ming, YANG Ming, ZHANG Pei-xun. Morphology character and reduction methods of sagittally unstable intertrochanteric fractures [J]. Journal of Peking University(Health Sciences), 2017, 49(2): 236-241.
[9] LI Ning, LIU Hao-nan, GONG Xiao-feng, ZHU Shi-wen, WU Xin-bao, HE Liang. Epidemiological analysis of hospitalized patients with femoral neck fracture in a first-class hospital of Beijing [J]. Journal of Peking University(Health Sciences), 2016, 48(2): 292-296.
Viewed
Full text


Abstract

Cited

  Shared   
  Discussed   
No Suggested Reading articles found!