• 朱慧 1 ,
  • 闵赛南 1 ,
  • 苏家增 1 ,
  • 陈艳 2 ,
  • 彭歆 1 ,
  • 于尧 1 ,
  • 俞光岩 , 1, *
Expand

Received date: 2024-02-05

  Online published: 2025-06-13

Copyright

All rights reserved. Unauthorized reproduction is prohibited.

Cite this article

朱慧 , 闵赛南 , 苏家增 , 陈艳 , 彭歆 , 于尧 , 俞光岩 . [J]. Journal of Peking University(Health Sciences), 2025 , 57(3) : 620 -625 . DOI: 10.19723/j.issn.1671-167X.2025.03.030

口腔黏膜嗜酸性溃疡(eosinophilic ulcer of the oral mucosa,EUOM)是一种罕见的良性、反应性、自限性病变,半数以上发生于舌体[1]。通常在发病后数周自行消失,无需特殊治疗。由于EUOM发展迅速,临床上表现为口腔黏膜边缘隆起和硬化的溃疡,与鳞状细胞癌颇为相似,易于误诊。组织学表现为嗜酸粒细胞和大单核细胞为主的弥漫性多种炎症细胞浸润,还可见淋巴细胞、组织细胞、浆细胞、粒细胞和肥大细胞浸润,有时存在组织细胞的不典型增生,需与恶性组织细胞病、淋巴瘤等鉴别。由于EUOM的罕见性及特异性,鉴别诊断尤为重要。

1 资料与方法

选择2012年1月至2023年12月在北京大学口腔医院就诊且病理确诊为EUOM的全部6例患者的病例资料进行回顾性研究,分析患者留存的临床病理资料,复习患者的病理切片,详细记录并分析患者的诊疗经过,讨论EUOM的临床病理特点及诊治原则,为口腔临床医生对EUOM的诊断和鉴别诊断提供参考。

2 结果

2012—2023年间,在北京大学口腔医院口腔颌面外科就诊且病理诊断为EUOM共6例患者,其临床资料见表 1,其中2例(病例3和病例5)为10岁以下儿童。患者或其监护人以发现口腔黏膜溃疡或肿物为主诉就诊,发病部位除1例(病例3)位于颊黏膜外,其余5例均位于舌部。3例患者(病例1、病例5和病例6)有局部创伤史; 2例患者(病例1和病例5)实验室检查显示嗜酸粒细胞绝对值升高,分别为1.66×109 /L和0.85×109 /L。其中1例(病例5)为7个月婴儿,其病变位于舌腹,显微镜下可见溃疡表面附着大片菌团,过典酸雪夫氏染色(Schiff periodic acid shiff, PAS)见较多念珠菌(Candida albicans)菌丝,溃疡基底见炎性肉芽组织,血管内皮细胞增生活跃,邻近黏膜上皮高度增生,钉突伸长。6例溃疡均在病变切除或活检后1周到1个月内愈合。3例(病例2、病例4和病例6)在溃疡愈合表面遗留浅表性瘢痕;3例患者(病例1、病例2和病例5)在随访期间有其他部位的溃疡史, 溃疡部位临近原发病变部位,表现为黄红凹痛的小溃疡,均在3~7 d自愈。
表1 6例口腔黏膜嗜酸性溃疡患者临床资料

Table 1 Clinical features of 6 cases with eosinophilic ulcer of the oral mucosa

Case Gender Age/years Duration/weeks Location Range/(cm×cm) Etiology EO(×109/L) Clinical impression Management Follow-up/months Recurrence Times of other ulcers*
1 M 30 1 The dorsum of the tongue 2.0×1.5 Stab 1.66↑ Malignant tumor? Resection 12 No 3
2 F 60 12 Lateral margin of the tongue 1.5×1.0 Psychological 0.03 Malignant tumor Biopsy 24 No 2
3 M 10 4 Buccal mucosa 2.0×2.0 None - Malignant tumor Biopsy 66 No 0
4 F 57 2 Lateral margin of the tongue 1.5×1.0 None - Malignant tumor Biopsy 54 No 0
5 M 0.5 8 The belly of the tongue 1.5×1.0 Incisor rubbing 0.85↑ Tumor? Resection 42 No 4
6 M 49 1.5 Lateral margin of the tongue 4.0×3.0 Bite 0.07 Tumor or infection? Biopsy 11 No 0

M, male; F, female;EO, eosinophil. *Other ulcers appeared during the follow-up period. -, data are not collected.

2.1 典型病例1

病例1为男性,30岁,主因“发现舌背肿物1周”就诊。患者就诊一周前疑似进食不洁食物后舌背出现肿物,初为黄豆大小,自觉异物感,后肿物迅速增大,表面出现白色假膜,可自行揭开,少量出血后可自止,伴轻度疼痛,未行诊治。自述既往进食不洁食物后四肢曾出现红疹;既往淋病史。否认食物和药物过敏史。专科检查:舌背正中偏右可见一直径2 cm类圆形溃疡,隆起于黏膜,溃疡表面有白色假膜覆盖,不均匀,溃疡周围黏膜充血水肿。扪诊溃疡基底有硬结,轻度触痛(图 1)。头颈部CT示舌背正中类圆形软组织肿物影,边界较清楚,轻度强化(图 2)。实验室检查:白细胞计数10.21×109/L(正常值为3.5×109/L~9.5×109/L);中性粒细胞比例50.6%(正常值40%~75%);中性粒细胞绝对值5.17×109/L(正常值1.8×109/L~6.3×109/L);嗜酸粒细胞比例16.3%(正常值0.4%~8.0%);嗜酸粒细胞绝对值1.66×109/L(正常值0.02×109/L~0.52×109/L)。血清IgE为5.1 IU/mL(正常 < 100 IU/mL)。唾液涂片镜检可见革兰阳性球菌、革兰阴性杆菌,未见念珠菌菌丝。临床初步诊断为舌背肿物。
图1 病例1,舌背黏膜溃疡,表面覆盖假膜,周缘隆起

Figure 1 Case 1, an ulcer on the dorsum of the tongue, which is covered with pseudomembrane and surrounded by elevated lesion

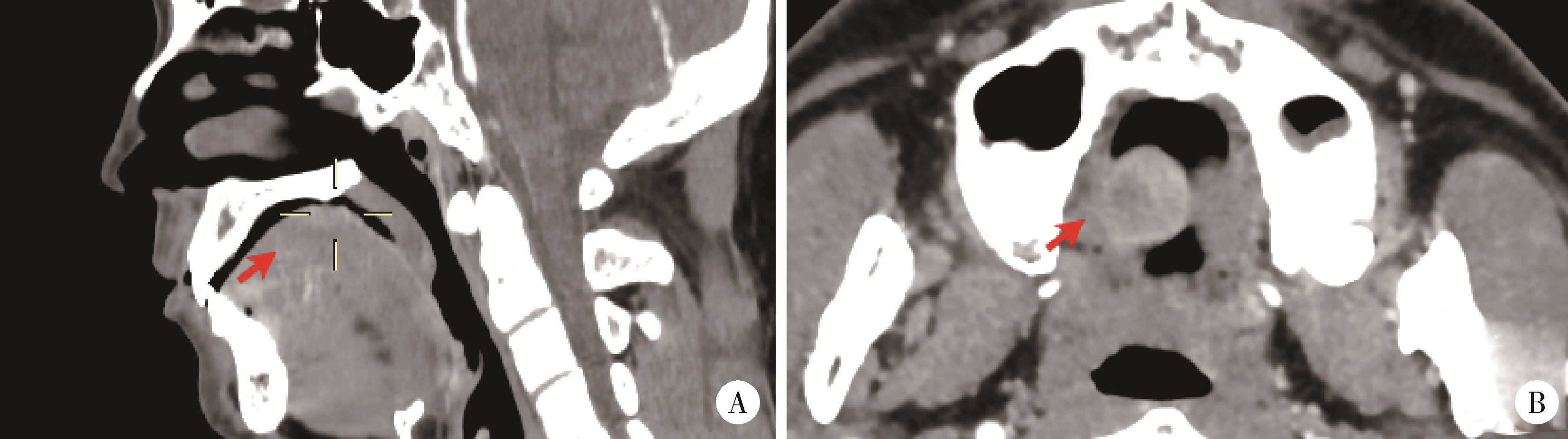
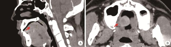
图2 病例1,CT显示舌背轻度强化圆形软组织肿物影(箭头示)

Figure 2 Case 1, CT showed a mildly enhanced round soft tissue mass on the dorsum of the tongue(arrowhead)

入院后手术切除肿物,在病变周围正常组织内做菱形切口,切除病变组织及部分舌肌,创口直接拉拢缝合(图 3)。病变组织术中送冰冻活检,病理报告为黏膜固有层大量淋巴细胞为主的炎细胞浸润伴表面被覆上皮网状增生,倾向于炎症性增生。
图3 病例1,切除舌背病变,拉拢缝合

Figure 3 Case 1, the lesion is excised, and the wound is closed by direct suture

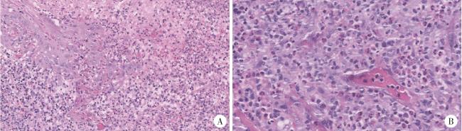
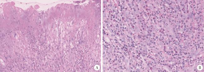
术后石蜡切片组织病理学诊断:(舌背)炎症伴溃疡,可见较多嗜酸粒细胞浸润,慢性炎细胞弥漫浸润深达肌层,局部血管壁增厚,溃疡表面见中性粒细胞浸润;不除外嗜酸性溃疡(图 4)。
图4 病例1的组织病理学表现

Figure 4 Histopathological findings of case 1

A, ulcer on the surface of mucosa with neutrophil infiltration (HE ×20); B, chronic inflammatory cells including many eosinophilic cells diffusely infiltrate into the muscle (HE ×40).

结合患者的发病过程、临床及术后病理表现,确诊为舌背黏膜嗜酸性溃疡。
术后复查血常规发现嗜酸粒细胞比例及绝对值下降至正常水平。白细胞计数13.25×109 /L,中性粒细胞比例70.9%,中性粒细胞绝对值9.4×109 /L,嗜酸粒细胞比例3.1%,嗜酸粒细胞绝对值0.41×109 /L。
术后随访一年,舌背溃疡未见复发。但随访一年中,患者左侧舌侧缘、舌尖处黏膜曾有3次溃疡史,均在5~7 d自愈。

2.2 典型病例2

女性,60岁,因“发现右舌腹溃疡3月”就诊。患者就诊3个月前发现右舌腹黏膜溃疡,初为鱼眼大小,逐渐增大,伴轻度疼痛,未行诊治。追问病史,患者近期精神压力较大,否认食物和药物过敏史,既往史无特殊。专科检查(图 5)发现右舌腹黏膜火山口状溃疡,直径约1.5 cm,表面未见假膜,边界不清(图 5A)。触诊病变质韧,周围组织有硬性浸润,触痛。白细胞计数9.36×109 /L,中性粒细胞比例80.2%;中性粒细胞绝对值7.5×109 /L;嗜酸粒细胞比例0.3%,嗜酸粒细胞绝对值0.03×109 /L。初步诊断为右舌肿物(鳞状细胞癌?)。
图5 病例2,右舌侧缘溃疡

Figure 5 Case 2, an ulcer on the lateral margin of the right tongue

A, appearance of ulcer at the initial diagnosis; B, one week after biopsy, the lesion is smaller than before; C, one month later, the ulcer in the anterior part of the right lingual margin disappeared, and an ulcer appeared in the posterior part of the right lingual margin with rough surface; D, one year later, a mung bean-sized ulcer appeared(arrowhead).

因患者初诊印象疑为鳞状细胞癌,拟切取活检后收入院行手术切除。活检病理报告为黏膜溃疡,表面大片坏死及纤维素渗出,基底血管内皮细胞增生、肥大,呈泡状核,偶见核分裂象。慢性炎症细胞浸润,累及深层肌组织,较多嗜酸粒细胞浸润,倾向于嗜酸性溃疡(图 6)。患者未行治疗。活检后1周,右舌侧缘前部溃疡较前缩小(图 5B),1月后复查,右舌侧缘前部溃疡消失,但在其后部出现溃疡,表面不光滑,无触压疼痛(图 5C)。嘱患者继续观察。1年后复查,右舌侧缘黏膜未见溃疡,仅见少许瘢痕,舌腹黏膜见一个约绿豆大小溃疡(图 5D)。
图6 病例2的组织病理学表现

Figure 6 Histopathological findings of case 2

A, ulcer on the surface of mucosa with epithelial necrosis, inflammatory cells infiltration in the underlying submucosa (HE ×20); B, mixed chronic inflammatory cell infiltration in the submucosa and muscle,note the presence of many eosinophilic cells (HE ×40).

3 讨论

口腔黏膜嗜酸性溃疡是一种罕见的良性、反应性、自限性病变。1956年,Popoff首次描述了成人口腔黏膜嗜酸性溃疡;1961年,Hjorting-Hansen和Schmidt提出“舌溃疡性嗜酸性肉芽肿”一词;1970年,Segura等[2]提出将这种病变单独分类。学者们对此疾病命名多样,如嗜酸性肉芽肿、创伤性嗜酸肉芽肿、伴基质嗜酸细胞增生创伤性溃疡性肉芽肿、外伤性舌嗜酸性肉芽肿、外伤性肉芽肿、非典型组织细胞肉芽肿等都曾用于描述这一病变[3]。虽然国内外文献已有百余例口腔黏膜嗜酸性溃疡的报道,由于EUOM的特异性以及与口腔黏膜恶性病变易混淆,EUOM的准确诊断及恰当处理对于口腔临床和病理医师仍是一种挑战。
EUOM病因和发病机制尚不清楚,可能与创伤、锐利牙尖、牙齿充填物和义齿所致损伤有关,但在报道的病例中仅一半有明确的创伤因素。也有病例报告口腔黏膜多处复发性嗜酸性溃疡,与创伤无关。本文中病例1进食食物时舌背被刺伤,病例5为切牙摩擦黏膜损伤,病例6为咬伤,均有明确创伤因素。有学者认为,嗜酸性溃疡的发生可能与患者个体免疫及心理因素有关[4-5]。本文病例2发病前精神紧张焦虑,发病可能与其心理因素有关。另有学者报道了一例躁郁症患者在对卡马西平产生不良反应后出现口腔黏膜嗜酸性溃疡[6]。口腔黏膜嗜酸性溃疡可能是对多种刺激的特异性反应模式,有学者认为口腔黏膜嗜酸性溃疡的发病机制可能是由于创伤使不明抗原(微生物、毒素或外源蛋白)侵入结缔组织,引起宿主变态反应,T淋巴细胞被激活并释放IL-1、IL-5等细胞因子,促进肥大细胞和嗜酸粒细胞的成熟、分化和招募,进而脱颗粒诱导炎症过程,而大量嗜酸粒细胞浸润影响组织修复过程,导致嗜酸性溃疡较普通溃疡愈合缓慢[7]
口腔黏膜嗜酸性溃疡有两个发病高峰,分别是2岁以内和50~70岁。婴儿中的口腔黏膜嗜酸性溃疡被称为Riga-Fede病[2],其命名源自1881年,意大利学者Riga报道了2岁以下儿童的前舌腹面或下唇前庭黏膜处因与牙齿摩擦引起的溃疡性病变;Fede等在1890年描述了其组织学特征为溃疡性炎症性反应及肉芽组织形成,有淋巴细胞、中性粒细胞、浆细胞和大量嗜酸粒细胞浸润,与成人的口腔黏膜嗜酸性溃疡病理表现较一致[8]。本组病例5为7个月的婴儿,溃疡位于舌腹正中,因新萌出的切牙摩擦引起,合并念珠菌感染,病理表现也符合嗜酸性溃疡,故可以诊断为Riga-Fede病。1987年,Rakocz等[9]将Riga-Fede溃疡与家族性自主神经功能障碍联系起来,认为对痛觉的缺失导致了舌下黏膜与牙齿反复摩擦产生溃疡,但本研究的病例5无自主神经功能异常。
成人口腔黏膜嗜酸性溃疡在口腔黏膜各个部位均可受累,舌背与舌侧缘最常见,其次是颊黏膜,也可以出现在唇、牙龈、腭、口底和磨牙后区。本研究6例患者,5例发生于舌部,1例发生于颊黏膜。口腔黏膜嗜酸性溃疡通常表现为快速发展的孤立性溃疡,直径从数毫米到数厘米不等,边缘隆起发硬,边界不清,周围发红,表面可能有可擦掉的白色或黄色假膜。口腔黏膜嗜酸性溃疡有时也可表现为无溃疡的硬结,在本组病例中有4例表现为溃疡性病变,2例表现为黏膜硬结。嗜酸性溃疡可呈多发性病变,同时或异时发生,无痛或伴有轻中度疼痛。溃疡通常在数周到数个月内自愈,或在去除可能的创伤因素(锐利牙尖、残根等)后好转,个别病例可迁延1年[10]。溃疡也可能在其他部位复发,有研究报道了1例患有舌侧缘嗜酸性溃疡的患者3年后在舌背复发[11]。本研究有3例患者在嗜酸性溃疡愈合后有口腔溃疡的发作史,但均表现为阿弗他溃疡性质,6例患者均无嗜酸性溃疡的复发。
口腔黏膜嗜酸性溃疡的组织病理学特点为以嗜酸粒细胞为主的炎性浸润,可深达下方肌层和小唾液腺。复习本组6例患者的病理切片,均见明显嗜酸粒细胞浸润。病变表面为炎症性溃疡,覆盖纤维蛋白渗出物,黏膜和黏膜下层均有致密的多种类型炎性细胞浸润,肌束散在分布在炎性细胞间,可见肌纤维变性和丢失。炎性细胞以嗜酸粒细胞和大单核细胞为主,大单核细胞偶有异型性。有文献报道常可见嗜酸粒细胞脱颗粒[7],但在本研究病例中未观察到明显脱颗粒表现。大单核细胞细胞核浅染,卵圆形或圆形,核仁小,细胞边界模糊。粒细胞和浆细胞通常位于溃疡表面附近。病变周围有较多毛细血管,内皮细胞肥大,病变中心血管稀疏。常见血管周围炎性细胞浸润,但无真正的血管炎表现[2, 7]
从临床表现看,口腔黏膜嗜酸性溃疡易被误诊为鳞状细胞癌、复发性阿弗他溃疡、创伤性溃疡、嗜酸粒细胞增生性淋巴肉芽肿等,组织病理学是诊断嗜酸性溃疡的金标准。口腔黏膜嗜酸性溃疡边缘稍隆起,质地偏硬,容易与鳞状细胞癌相混淆,本组病例中4例初诊印象为鳞状细胞癌。舌鳞状细胞癌是最常见的口腔癌,好发于舌侧缘中1/3处。与嗜酸性溃疡不同的是,舌鳞状细胞癌的溃疡面常有红白相间的颗粒,不会自行消退,常伴有颈部淋巴结肿大。
复发性阿弗他溃疡是口腔黏膜最常见的溃疡类疾病,具有周期性、复发性、自限性的特点,灼痛明显,可与嗜酸性溃疡相鉴别。轻型者典型表现为“黄、红、凹、痛”,溃疡直径多为2~5 mm,较嗜酸性溃疡小,且7~10 d可自愈,病程较短,愈合后不留瘢痕,而嗜酸性溃疡愈合后可能遗留瘢痕;重型者与嗜酸性溃疡相似,多为单发,直径可大于10 mm,也可深达黏膜下层腺体及腺周组织,但其溃疡表现为边缘隆起,底部坏死,中央凹陷呈弹坑状,无嗜酸性溃疡周缘的硬结出现,病损可长达1~2个月或更长,组织病理学无明显嗜酸粒细胞浸润。创伤性溃疡因长期慢性机械刺激或压迫引起,去除刺激因素后很快愈合[12]
嗜酸粒细胞增生性淋巴肉芽肿是一种罕见的良性的不明原因的局部淋巴增生性疾病。嗜酸粒细胞增生性淋巴肉芽肿和口腔黏膜嗜酸性溃疡在组织病理学上均存在嗜酸粒细胞浸润,且伴有外周血嗜酸粒细胞增多。但口腔黏膜嗜酸性溃疡的病变位于口腔黏膜,而嗜酸粒细胞增生性淋巴肉芽肿多表现为头颈部及腮腺区皮下无痛性软组织肿块和淋巴结肿大[13]。嗜酸粒细胞增生性淋巴肉芽肿还伴有血清IgE水平升高[14]。IgE在寄生虫感染及多种过敏性疾病的发展中起关键作用,血清IgE水平升高与皮肤病和免疫介导的疾病以及压力和焦虑有关[15-16]。本组病例1病变出现时外周血嗜酸粒细胞增多但IgE水平正常,病变切除后外周血嗜酸粒细胞水平恢复正常。
嗜酸性肉芽肿在组织病理学上也存在嗜酸粒细胞浸润,但Langerhans细胞增殖是其特征性表现,免疫组织化学示CD1a、CD207阳性。临床上除累及口腔黏膜外,常累及骨组织,出现颌骨溶骨性病变。病变无自限性,如果不治疗,病变经久不愈[17]
口腔黏膜嗜酸性溃疡还要与其他多种疾病相鉴别,包括梅毒、肉芽肿性疾病(肺结核、组织胞浆菌病、Wegener肉芽肿病和结节病)、坏死性细菌感染、盘状红斑狼疮、非典型组织细胞肉芽肿、血管淋巴增生伴嗜酸粒细胞增多症、CD30+原发性皮肤淋巴增生性疾病谱等[18-21]
口腔黏膜嗜酸性溃疡是一种自限性疾病,往往在数周内自愈。但为了避免漏诊恶性肿瘤,出现快速发展且超过1周末愈合的深大溃疡时,需行活检明确诊断,与上述疾病相鉴别。多数病变在切除活检或去除局部刺激因素后可以自愈,因此明确嗜酸性溃疡诊断后可随访观察[22]。文献中报道多种治疗方法以消除病变或加速愈合过程,最常用的方法是手术切除,但与鳞状细胞癌不同的是,嗜酸性溃疡在溃疡周围正常组织内切除即可,不必扩大切除,也有学者使用局部注射糖皮质激素、冷冻疗法、抗生素治疗等方法促进病变愈合[2, 8, 10]。本研究病例1在正常组织内切除活检,随访1年未见病变复发。病例2取活检后1周发现病变明显缩小,病理确诊为嗜酸性溃疡,未行后续治疗,观察1个月后溃疡自行愈合。
综上所述,口腔黏膜嗜酸性溃疡临床表现为周缘有硬结的黏膜溃疡,舌部好发,易被误诊为鳞状细胞癌,需要活检以明确诊断,亦需与嗜酸粒细胞增生性淋巴肉芽肿和嗜酸性肉芽肿等疾病相鉴别。外周血嗜酸粒细胞增高可以提示口腔黏膜嗜酸性溃疡的可能。病变组织活检显示为大量嗜酸粒细胞为特征的慢性炎症细胞浸润。病变多可自愈,对于进展迅速或迁延不愈的病变,亦可选择手术切除活检。

利益冲突  所有作者均声明不存在利益冲突。

作者贡献声明  朱慧:数据收集及分析整理,撰写论文;闵赛南、苏家增:数据收集;陈艳:病理分析审核;俞光岩、彭歆、于尧:设计研究方案,审定论文。

1
Mezei MM , Tron VA , Stewart WD , et al. Eosinophilic ulcer of the oral mucosa[J]. J Am Acad Dermatol, 1995, 33 (5 Pt 1): 734- 740.

2
Segura S , Pujol RM . Eosinophilic ulcer of the oral mucosa: A distinct entity or a non-specific reactive pattern[J]. Oral Dis, 2008, 14 (4): 287- 295.

DOI

3
Elzay RP . Traumatic ulcerative granuloma with stromal eosinophilia(Riga-Fede's disease and traumatic eosinophilic granuloma)[J]. Oral Surg Oral Med Oral Pathol Oral Radiol, 1983, 55 (5): 497- 506.

DOI

4
Akhavan A , Mosavi A , Jarrahi M , et al. Eosinophilic ulcer of the tongue in an 80-year-old Iranian woman after a psychologically stressful event[J]. BMJ Case Rep, 2013, 2013, bcr2012008487.

DOI

5
Ribeiro AL , Mendes FR , Alves Sde M , et al. Eosinophilic ulcer: The role of stress-induced psychoneuroimmunologic factors[J]. J Oral Maxil Surg, 2011, 15 (3): 179- 182.

DOI

6
Melgarejo Moreno PJ , Hellín Meseguer D , Ruiz Macía JA . Eosinophilic ulcers of the tongue as an adverse reaction to carbamazepine[J]. An Otorrinolaringol Ibero Am, 1998, 25 (2): 167- 171.

7
el-Mofty SK , Swanson PE , Wick MR , et al. Eosinophilic ulcer of the oral mucosa.Report of 38 new cases with immunohistochemical observations[J]. Oral Surg Oral Med Oral Pathol, 1993, 75 (6): 716- 722.

DOI

8
Dash S , Sarkar N , Sethy M , et al. An ulcer on the tongue of a child[J]. Pediatr Dermatol, 2023, 40 (6): 1130- 1132.

DOI

9
Rakocz M , Frand M , Brand N . Familial dysautonomia with RigaFede's disease: Report of case[J]. ASDC J Dent Child, 1987, 54 (1): 57- 59.

10
Hamie L , Hamie M , Kurban M , et al. Eosinophilic ulcer of the oral mucosa: An update on clinicopathologic features, pathogenesis, and management[J]. Int J Dermatol, 2022, 61 (11): 1359- 1363.

DOI

11
Vélez A , Alamillos FJ , Dean A , et al. Eosinophilic ulcer of the oral mucosa: Report of a recurrent case on the tongue[J]. Clin Exp Dermatol, 1997, 22 (3): 154- 156.

DOI

12
Rosa DE , Hapid MH , Hidayat W . Non-healing chronic traumatic ulcer, an entity that can resemble other chronic ulcers[J]. Int Med Case Rep J, 2023, 16, 585- 590.

13
Lee CC , Yu KH , Chan TM . Kimura's disease: A clinicopathological study of 23 cases[J]. Front Med(Lausanne), 2022, 9, 1069102.

14
Teraki Y , Terao A . Treatment of Kimura disease with dupilumab[J]. JAMA Dermatol, 2022, 158 (3): 329- 330.

DOI

15
Almoznino G , Zini A , Mizrahi Y , et al. Elevated serum IgE in recurrent aphthous stomatitis and associations with disease characteristics[J]. Oral Dis, 2014, 20 (4): 386- 394.

DOI

16
Criado PR , Miot HA , Ianhez M . Eosinophilia and elevated IgE serum levels: A red flag: When your diagnosis is not a common atopic eczema or common allergy[J]. Inflamm Res, 2023, 72 (3): 541- 551.

DOI

17
Capodiferro S , Tempesta A , Limongelli L , et al. Primary orofacial manifestations of langerhans cell histiocytosis in pediatric age: A bi-institutional retrospective study on 45 cases[J]. Children(Basel), 2020, 7 (9): 104.

18
Nguyen T , Yaghsezian A , Lin YL , et al. An unusual case of cluster of differentiation 30-positive T-cell lymphoproliferative disorder manifesting as mandibular gingival ulceration: A case report[J]. J Am Dent Assoc, 2022, 153 (2): 175- 182.

19
Benitez B , Mülli J , Tzankov A , et al. Traumatic ulcerative granuloma with stromal eosinophilia-clinical case report, literature review, and differential diagnosis[J]. World J Surg Oncol, 2019, 17 (1): 184.

20
Mohamad AF , Abdul Rahman NR , Ch'ng ES . A case report of traumatic ulcerative granuloma with stromal eosinophilia (TUGSE): Clinical and histopathological diagnostic challenges[J]. Cureus, 2023, 15 (11): e48481.

21
Setti G , Martella E , Mancini C , et al. Self-healing CD30-T-clonal proliferation of the tongue: Report of an extremely rare case[J]. BMC Oral Health, 2019, 19 (1): 186.

22
Rahmatpour Rokni G , Sonthalia S , Rathod D , et al. Eosinophilic ulcer mimicking malignancy of the lower lip: A case report[J]. Clin Case Rep, 2020, 8 (5): 804- 807.

Outlines

/