• 徐啸 ,
  • 王海东 , * ,
  • 刘振华 ,
  • 夏海缀
Expand

Received date: 2025-02-28

  Online published: 2025-08-02

Copyright

All rights reserved. Unauthorized reproduction is prohibited.

Cite this article

徐啸 , 王海东 , 刘振华 , 夏海缀 . [J]. Journal of Peking University(Health Sciences), 2025 , 57(4) : 812 -816 . DOI: 10.19723/j.issn.1671-167X.2025.04.030

气肿性肾盂肾炎(emphysematous pyelonephritis, EPN)是一种罕见的危及生命的坏死性肾脏和肾周组织感染,其特征为肾实质、集合系统或肾周组织中出现气体[1]。EPN的发病机制包括组织中的高血糖水平、产气菌的存在、宿主免疫力受损、组织灌注不足以及尿路梗阻[2]。该疾病早期研究报道了高达50%的肾切除率和死亡率[3],然而,近年来由于CT成像以及治疗理念的更新,加上多学科诊疗的不断推进,尤其是在败血症的重症监护管理方面以及微创手术技术及引流装置的进步,使得总体死亡率下降至20%~25%,手术治疗手段也更偏向于保肾策略[4]。由于EPN为罕见疾病,现有研究报道的治疗方案多有不一致。本研究总结了首都医科大学附属北京积水潭医院泌尿外科对于EPN的诊治经验,希望为规范EPN的诊治提供依据。

1 资料与方法

1.1 研究对象

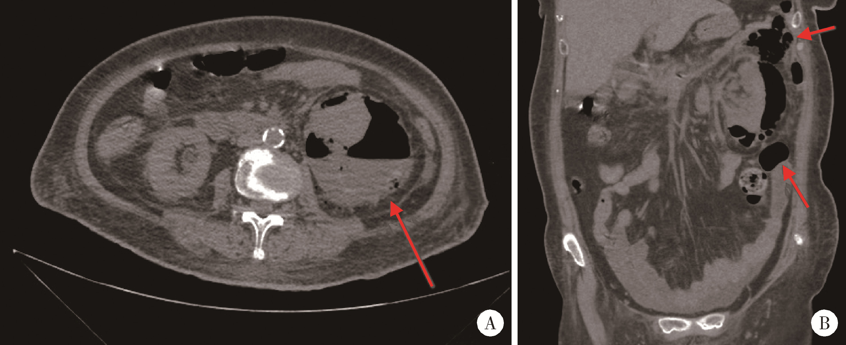
回顾性分析自2016年1月至2025年1月于首都医科大学附属北京积水潭医院泌尿外科诊治的气肿性肾盂肾炎患者,收集患者的基本资料、现病史、既往史、体格检查、相关的辅助检查等,并记录患者的治疗方案及结局转归。根据患者腹部CT结果,采用目前文献报道应用最广泛的Huang等[5]学者提出的分级标准,将所有EPN患者分为4级,Ⅰ级:肾实质内出现气体,肾周无积气;Ⅱ级:肾内及肾周均有气体,但局限于肾脂肪囊内,未超出Gerota筋膜;ⅢA级:气体超出Gerota筋膜,蔓延至肾旁间隙,但没有腹膜后广泛积气或积脓;ⅢB级:除了肾旁间隙受累外,还伴有腹膜后广泛积气或积脓;Ⅳ级:双侧肾脏受累或孤立肾受累,同时伴有败血症等全身严重感染表现。图 1为1例典型的ⅢB级EPN患者CT平扫表现。
图1 1例左肾EPN患者的CT平扫结果,分级ⅢB级

Figure 1 Non-contrast CT images of a patient with left renal EPN, classified as grade ⅢB

A, axial CT image demonstrated extensive perirenal gas and fluid accumulation with an air-fluid level (red arrow); B, coronal CT image revealed signi-ficant retroperitoneal gas (red arrow). EPN, emphysematous pyelonephritis.

1.2 治疗方法

所有患者均给予广谱抗生素抗感染治疗,并积极控制血糖,给予液体支持、纠正电解质及酸碱平衡紊乱。所有患者均予导尿处理,对于积极治疗的患者,均采取保肾手术治疗。对于Ⅰ级、Ⅱ级及极少数一般情况良好的Ⅲ级EPN患者,采用微创手术治疗。如果患者存在泌尿系梗阻或肾集合系统内积脓或积气,则根据情况行经膀胱镜输尿管支架置入术[将双J(double J, DJ) 管置入]或经皮肾穿刺造瘘术(percutaneous nephrostomy,PCN);如果患者存在肾周积气积液,则行肾周穿刺引流术(percutaneous drainage,PCD)。根据患者病情及治疗效果,上述微创手术方式可组合进行。对于大多数ⅢA级及以上的EPN患者,则采用开放引流手术治疗,以首都医科大学附属北京积水潭医院泌尿外科首创的肾周负压封闭引流术(vacuum sealing drainage,VSD)[6]为基础,手术方式为于肾腹侧及背侧均放置VSD海绵,确保无死腔,将海绵固定于手术切口处,切口表面以半透贴膜封闭,确保外界的空气无法进入创面,持续负压吸引。此后每周进行扩创,更换VSD装置一次,且逐渐减小VSD海绵置入的深度,直至脓腔完全消失。若患者同时存在肾集合系统内积脓或积气,则加做PCN或DJ管置入。所有患者均密切观察围术期病情变化,如果疗效欠佳,则随时换用或联用其他手术方式。若患者存在泌尿系结石,则于感染控制后4~8周行经皮肾镜碎石取石术或经尿道输尿管镜碎石取石术。所有患者出院前复查腹部CT平扫,并随访3个月。

1.3 统计学分析

采用R 4.5.0软件进行统计分析,采用Shapiro-Wilk检验并结合直方图判断计量资料的分布情况。符合正态分布的计量资料采用均数±标准差表示,非正态分布的计量资料以中位数(P25P75)表示,计数资料用例数(%)表示。

2 结果

共有13例CT确认为EPN的患者纳入本研究中,其中11例女性(84.6%),2例男性(15.4%)。患者年龄30~90岁,平均(60.6±17.5)岁。13例患者中糖尿病患者8例(61.5%),伴有结石患者6例(46.2%)。因各患者疾病严重程度、就诊时限、并发症均不同,所以其住院时间有较大差异,所有患者住院时间为2~113 d,中位时间为13(10, 21) d。
在症状方面,有12例(92.3%)患者出现发热;10例(76.9%)患者存在腰背痛;3例患者有感染中毒性休克(23.1%);1例患者有意识障碍(7.7%)。EPN分级:Ⅰ级患者6例(46.1%);Ⅱ级患者1例(7.7%);ⅢA级患者2例(15.4%);ⅢB级患者4例(30.8%)。患者就诊时主要实验室检查结果详见表 1,经尿培养、血培养或穿刺液培养证实的致病菌统计详见表 2
表1 患者就诊时主要实验室检查结果(n=13)

Table 1 Key laboratory results of patients at admission(n=13)

Parameters Value
White blood cell/(×109/L),${\bar x}$±s 13.82 ± 5.92
Neutrophil/(×109/L),${\bar x}$±s 11.68 ± 5.09
Platelet/(×109/L),${\bar x}$±s 326.25 ± 177.69
Hemoglobin/(g/L),${\bar x}$±s 92.67 ± 23.42
C-reactive protein/(mg/L),${\bar x}$±s 186.74 ± 101.92
Procalcitonin/(μg/L), M(P25P75) 3.97 (0.19, 11.46)
Serum creatinine/(mmol/L),${\bar x}$±s 146.75 ± 95.55
Blood glucose/(mmol/L),M(P25P75) 8.20 (6.08, 15.93)
表2 患者致病菌分布(n=13)

Table 2 Pathogens distribution in patients(n=13)

Pathogens Cases, n (%)
Escherichia coli 5 (38.5)
Klebsiella pneumoniae 5 (38.5)
Culture-negative 2 (15.3)
No culture performed 1 (7.7)
所有患者均未切除患肾,1例患者为90岁女性,诊断为EPN(Ⅰ级),伴气肿性膀胱炎,因患者家属放弃治疗于入院后2 d死亡,其余12例(92.3%)患者均采取保肾手术疗法,其中微创手术7例(58.3%),开放引流手术5例(41.7%)。各种手术方式统计情况详见表 3
表3 患者各种手术方式统计(n=12)

Table 3 Surgical treatment statistics for surgical patients(n=12)

Surgical procedure Cases, n (%)
Minimally invasive surgery 7 (58.3)
  PCN 2 (28.7)
  DJ stent placement 2 (28.7)
  PCD 1 (14.2)
  Initial DJ stent placement → PCN 1 (14.2)
  PCN+PCD 1 (14.2)
Open drainage 5 (41.7)
  Perirenal VSD 3 (60.0)
  Perirenal VSD + PCN 1 (20.0)
  Perirenal VSD + DJ stent placement 1 (20.0)

PCN, percutaneous nephrostomy; DJ, double J; PCD, percu-taneous drainage; VSD, vacuum sealing drainage.

行药物治疗加保肾手术治疗的12例患者中,有1例患者为70岁女性,诊断为EPN(ⅢB级),患者经历了PCN及多次肾周VSD,并积极抗感染、对症及支持治疗,肾周脓肿控制良好,但患者不幸先后出现感染性休克、重症肺炎、右侧内源性全葡萄膜炎、左侧内源性眼内炎、癫痫、脑膜炎等严重情况,经过多次抢救及积极治疗后,患者在入院113 d后好转出院,但右眼已失明,其余11例(91.7%)患者均顺利治愈出院,无明显并发症发生。
术后引流管留置时间:PCN患者5例,其中3例患者存在泌尿系结石,待感染控制后4~8周,行经皮肾镜碎石取石术;1例患者肾造瘘管放置4周后予以拔除;1例患者怀疑输尿管狭窄,但患者拒绝手术,嘱患者长期留置肾造瘘管,每月更换一次。留置DJ管患者4例,其中2例患者存在泌尿系结石,分别置管4、8周后,行经尿道软输尿管镜碎石取石术;2例患者置管8周后拔除DJ管。上述行碎石手术的5例患者,手术均顺利完成,无明显围术期并发症发生,术后均无感染表现。行PCD的患者2例,均待病情平稳、引流量 < 5 mL/24 h、复查腹部CT提示脓肿基本消失时予拔除引流管,引流管留置时间分别为11、15 d。开放引流手术患者5例,肾周VSD引流装置留置时间为21~92 d,中位留置时间28(25, 56) d。
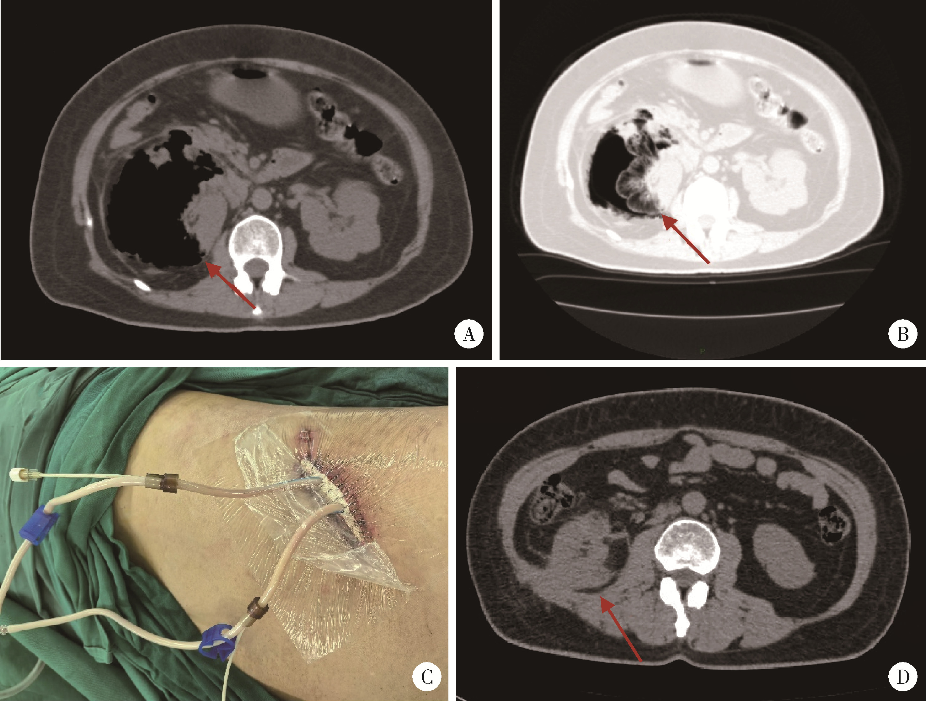
术后3个月随访结果:行保肾手术治疗的12例患者中有1例失访,余11例患者出院后3个月随访均无明显不适主诉,复查CT均无EPN复发,均无其他并发症发生,去掉单纯放置DJ管的患者2例(没有切口),余9例患者伤口愈合良好。图 2为1例典型EPN患者的术前CT平扫结果、VSD术后切口情况及出院前复查CT平扫结果。
图2 1例右肾EPN患者的术前、术后及出院前的临床资料,分级ⅢA级

Figure 2 Clinical data of a patient with right renal EPN at preoperative, postoperative, and pre-discharge stages, classified as grade ⅢA

A, preoperative abdominal window CT image showed extensive perirenal gas accumulation and complete disappearance of the kidney (red arrow); B, preoperative lung window CT image demonstrated the "vanished kidney" (red arrow) and massive intraparenchymal gas within the renal tissue; C, postoperative incision photo following VSD surgery; D, abdominal CT image prior to discharge revealed near-normal restoration of renal morphology, with no abscesses or gas in the renal parenchyma or perirenal region (red arrow). VSD, vacuum sealing drainage; EPN, emphysematous pyelonephritis.

3 讨论

EPN是一种罕见但严重的坏死性肾实质感染,其特征是在肾实质、集合系统或肾周组织中出现气体[7]。目前研究证实,EPN多见于女性[8]。一项系统综述和meta分析显示,EPN女性患者占到68.9%[2]。本研究中,男女患者比例为2 ∶ 11, 与既往研究结果相似[2]。糖尿病是EPN最常见的伴随因素[1-2],有研究报道,有75.6%的EPN患者伴发糖尿病[3]。本研究中超过半数(61.5%)的患者存在糖尿病病史,与既往研究结果[1-3]相似。高血糖环境为产气菌提供了适宜的生长条件,同时糖尿病患者常伴有免疫功能受损,导致感染易于发生且难以控制[9]。此外,泌尿系结石也是EPN的重要诱因之一,本研究有46.2%的患者合并泌尿系结石。泌尿系结石可造成尿路梗阻,导致尿液滞留,为细菌繁殖提供温床,进而引发感染[10]。从病理生理机制来看,EPN的发生需要满足以下条件:(1)存在能够进行混合发酵的致病菌,如大肠埃希菌(Escherichia coli)等革兰阴性杆菌;(2)组织中高浓度的葡萄糖,为细菌生长提供营养物质;(3)组织灌注受损,导致局部免疫防御功能下降,使得细菌得以在肾实质内大量繁殖并产生气体。这些因素共同作用,促使疾病迅速进展,若不及时治疗,可导致严重的并发症,甚至危及生命[11]
EPN的临床表现多样,常见的症状有发热、腰痛、恶心、呕吐等,部分患者可出现意识改变、休克等严重表现[7],其中发热及单侧腰背痛为EPN最常见的症状[12]。一项meta分析结果证实,发热为EPN患者最为常见的症状,占87.4%,其次为腰背痛,占73.2%[2]。本研究发热患者占92.3%,单侧腰背痛患者占76.9%,与既往文献[2]一致。本研究有23.1%的患者发生感染中毒性休克,提示EPN是一种极其严重的疾病,需要及时治疗,否则可能危及患者生命。EPN患者的实验室检查通常显示白细胞计数升高、血清肌酐水平升高以及血糖升高[7],本研究也得到同样的结果。有文献报道EPN最常见的致病菌为大肠埃希菌(60%),其次为肺炎克雷伯菌(Klebsiella pneumoniae, 25%),其他致病菌相对少见[1]。本研究中,病原学培养为大肠埃希菌的患者有5例(38.5%),肺炎克雷伯菌患者有5例(38.5%),与文献[1]略有区别,考虑为病例数偏少所致。
影像学检查是诊断EPN的关键,其中CT是首选方法,能够清晰地显示肾实质内的气体分布、集合系统的扩张情况以及是否存在肾周积气等。基于影像对EPN进行分级的系统最早由Wan等[13]在1996年描述,他们根据CT检查中液体和气体模式将EPN分为两类,Ⅰ类表现为肾实质破坏,Ⅱ类表现为在肾脏或肾周区域出现气泡状或局限性气体,或者在肾集合系统中存在气体。Huang等[5]根据CT结果,将EPN分为5个不同等级,从而为临床治疗提供指导。本研究采用的是Huang等[5]的分级方法,由于Ⅱ级以上的EPN患者肾实质及肾周存在大量气体,传统腹部CT平扫检查可能无法看到肾脏的完整形态,首都医科大学附属北京积水潭医院泌尿外科将CT调整为肺窗,这时可发现“消失的”肾脏,即肾实质内大量积气的肾脏(如图 2B所示)[6],为EPN的诊断提供依据。
EPN的治疗策略也经历了很大的变化。既往研究中,急诊肾切除术被认为是挽救EPN患者生命的首选治疗方法[14]。然而,最近EPN治疗的观念却发生了很大变化。因为行急诊肾切除的EPN患者死亡率仍然较高(25%~40%),并且有多项荟萃分析证实,急诊肾切除术是EPN患者死亡的一个独立危险因素[2, 15],所以目前EPN治疗需根据患者的具体情况进行个体化制定。对于所有EPN患者,保守治疗为最基础的治疗方式,包括使用广谱抗生素、积极的液体复苏、血糖控制以及必要的器官功能支持等[9]。然而,对于大部分EPN患者而言,单纯保守治疗可能疗效欠佳,需要进一步的手术干预[1]。目前手术干预的策略选择多趋向于保肾手术疗法[3, 7],可根据患者的病情选择手术方式。目前研究结果证实,对于EPN患者,初始治疗策略选择药物治疗加保肾手术疗法,可能会减少患者的死亡率[8, 15]。本研究中12例(92.3%)患者采用药物治疗加保肾手术疗法治疗,对于Ⅰ级、Ⅱ级和极少数一般情况良好、肾周积液积气量不多的Ⅲ级EPN患者,多采用微创手术方式,包括DJ管置入术、PCN、PCD等;对于Ⅲ级及以上的EPN患者,则多采取开放引流手术,手术方式多以肾周VSD为基础,如有肾集合系统积脓积气,则可加做PCN或DJ管置入。这些患者均未死亡,仅1例患者因眼内感染,出院时右眼已失明,其余患者均顺利治愈出院,治愈率91.7%,无明显并发症发生。此12例患者,除1例失访外,其余11例患者出院后3个月随访复查CT均无EPN复发,均无其他并发症发生,表明药物治疗加保肾手术疗法疗效显著。本研究中,仅有1例患者因家属放弃治疗而死亡,死亡率8.3%。这也表明随着对EPN认识的不断深入以及多学科协作治疗模式的不断完善,其预后已得到显著改善。对于病情较重的患者,应密切监测其临床表现和实验室指标的变化,若保守治疗及微创疗法效果不佳,应及时升级治疗方案,以防止病情进一步恶化。
我们的实践证实,对于Ⅲ级及以上的EPN患者,肾周VSD是一种非常有效的治疗方式。因患者肾周存在大量的气体及脓液,单纯引流往往由于引流不畅造成感染控制欠佳,而VSD可以充分引流液体及气体,保持创面持续清洁,防止厌氧菌繁殖,充分消除死腔,因此,可较好地控制感染,挽救生命[6]。VSD的优势在于:(1)将局部引流变为全方位引流,减少机体组织对毒性产物的重吸收,避免“失控的全身炎症反应”;(2)将被动引流变为主动引流,引流效率高,且负压状态下细菌繁殖受到抑制,可促进局部血液循环,刺激组织生长;(3)半透膜的封闭可阻止外界细菌进入创面,同时保证创面和皮肤的水蒸气正常透出;(4)负压引流期间患者无需换药,大大减少了医护人员的工作量。本研究5例开放引流患者,其肾实质、集合系统及肾周积脓或积气均得到有效的控制,证实肾周VSD治疗EPN疗效显著。
本研究为单中心回顾性研究,样本量相对较小,可能存在选择偏倚,限制了研究结果的普适性。另外,随访时间偏短,可在后续的研究中延长随访时间,以评估药物治疗加保肾手术治疗EPN的长期疗效结果。此外,由于EPN是一种罕见疾病,病例的收集可能存在时间跨度较长的问题,这可能导致部分数据的完整性和准确性受到影响。未来研究可进一步扩大样本量、开展多中心合作研究,为EPN的规范治疗提供依据。

利益冲突  所有作者均声明不存在利益冲突。

作者贡献声明  徐啸:设计研究方案,收集、分析、整理数据,撰写论文;王海东:提出研究思路,制定各个患者治疗方案,总体把关和审定论文;刘振华、夏海缀:协助诊治患者,收集、分析、整理数据。

1
Rahoui M , Ouanes Y , Chaker K , et al. Predictive factors for fai-lure of conservative management in patients with emphysematous pyelonephritis[J]. Ann Med Surg (Lond), 2022, 78, 103930.

2
Desai R , Batura D . A systematic review and meta-analysis of risk factors and treatment choices in emphysematous pyelonephritis[J]. Int Urol Nephrol, 2022, 54 (4): 717- 736.

3
Al-Salimi I , Al-Bu Saidi S , George K , et al. Disparities observed in the use of percutaneous drainage techniques[J]. Sultan Qaboos Univ Med J, 2022, 22 (1): 113- 116.

4
Irfaan AM , Shaikh NA , Jamshaid A , et al. Emphysematous pyelonephritis: A single center review[J]. Pak J Med Sci, 2020, 36 (Suppl 1): S83- S86.

5
Huang JJ , Tseng CC . Emphysematous pyelonephritis: Clinicoradiological classification, management, prognosis, and pathogenesis[J]. Arch Intern Med, 2000, 160 (6): 797- 805.

6
Wang HD , Zhu XF , Xu X , et al. Emphysematous pyelonephritis treated with vacuum sealing drainage[J]. Chin Med J (Engl), 2017, 130 (2): 247- 248.

7
Wu SY , Yang SS , Chang SJ , et al. Emphysematous pyelonephritis: Classification, management, and prognosis[J]. Tzu Chi Med J, 2022, 34 (3): 297- 302.

8
Aggarwal D , Mandal S , Parmar K , et al. Predictors of mortality and nephrectomy in emphysematous pyelonephritis: A tertiary care centre study[J]. Ann R Coll Surg Engl, 2023, 105 (4): 323- 330.

9
Ma LP , Zhou N , Fu Y , et al. Emphysematous pyelonephritis: Six case reports and review of literature[J]. World J Clin Cases, 2022, 10 (10): 3268- 3277.

10
Fukunaga S , Naito Y , Hoshino Y , et al. Indications for percutaneous drainage in patients with Huang class 3B emphysematous pyelonephritis: A case report and literature review[J]. Intern Med, 2023, 62 (19): 2871- 2876.

11
Ubee SS , McGlynn L , Fordham M . Emphysematous pyelonephritis[J]. BJU Int, 2011, 107 (9): 1474- 1478.

12
Olvera-Posada D , Garcia-Mora A , Culebro-Garcia C , et al. Prognostic factors in emphysematous pyelonephritis[J]. Actas Urol Esp, 2013, 37 (4): 228- 232.

13
Wan YL , Lee TY , Bullard MJ , et al. Acute gas-producing bacterial renal infection: Correlation between imaging findings and clinical outcome[J]. Radiology, 1996, 198 (2): 433- 438.

14
Shokeir AA , El-Azab M , Mohsen T , et al. Emphysematous pyelonephritis: A 15-year experience with 20 cases[J]. Urology, 1997, 49 (3): 343- 346.

15
Ngo XT , Nguyen TT , Dobbs RW , et al. Prevalence and risk factors of mortality in emphysematous pyelonephritis patients: A meta-analysis[J]. World J Surg, 2022, 46 (10): 2377- 2388.

Outlines

/