Clinical efficacy of arthroscopic medial patellofemoral complex reconstruction for recurrent patellar dislocation with high-grade trochlear dysplasia

  • Fengyi HU ,
  • Qingyang MENG ,
  • Nayun CHEN ,
  • Jianing WANG ,
  • Zhenlong LIU ,
  • Yong MA ,
  • Yuping YANG ,
  • Xi GONG ,
  • Cheng WANG ,
  • Ping LIU , * ,
  • Weili SHI , *
Expand
  • Department of Sports Medicine, Peking University Third Hospital; Institute of Sports Medicine of Peking University; Beijing Key Laboratory of Sports Injuries, Beijing 100191, China
LIU Ping, e-mail:
SHI Weili, e-mail:

Received date: 2023-02-06

  Online published: 2024-05-07

Supported by

Peking University Third Hospital Clinical Key Program(BYSYZD2022011)

Interdisciplinary Cooperation Project of Beijing Nova Program of Beijing Municipal Science & Technology Commission(Z211100002121015)

Copyright

All rights reserved. Unauthorized reproduction is prohibited.

Abstract

Objective: To investigate the midterm clinical efficacy of medial patellofemoral complex (MPFC) reconstruction for recurrent patellar dislocation with high-grade trochlear dysplasia. Methods: A retrospective analysis was carried out among adult patients who underwent arthroscopically assisted MPFC reconstruction between January 2014 and December 2020. Dejour classification was evaluated to grade trochlear dysplasia; tibial tubercle-trochlear groove (TT-TG) distance and Insall-Salvati index were measured. Preoperative and postoperative patient-reported outcome measures (PROMs) were compared, including International Knee Documentation Committee (IKDC) score, Kujala score, Lysholm score and Tegner score. Information regarding returning-to-sport rate, re-instability events and complications was collected. Patellar tilt (PT), lateral patellar displacement (LPD) and bisect offset (BSO) ratio were measured based on axial computed tomography before and after surgery to assess the patellofemoral congruence. Results: A total of 46 MPFC reconstructions in 43 patients were enrolled, including 16 male and 27 female. Mean age at surgery was (22.2±7.6) years (range: 14-44 years). Mean follow-up was (49.9±22.6) months (range: 18-102 months). The percentages of Dejour B, C and D dysplasia were 37.0% (17/46), 43.5% (20/46), and 19.6% (9/46), respectively. Mean Insall-Salvati index was 1.2±0.2 (range: 0.85-1.44), and mean TT-TG distance was (19.6±3.5) mm (range: 10.6-28.7 mm). At latest follow-up, there were significant improvements in all PROMs (P < 0.001): IKDC score, from 56.3±15.1 to 86.2±8.1; Kujala score, from 58.9±15.6 to 92.6±5.4; Lysholm score, from 63.7±15.0 to 94.0±5.7; Tegner score, from 3.1±1.4 to 4.7±1.4, and there were no significant differences in the improvements of the scores between the patients with Dejour B, C and D dysplasia. Overall, ninety percent of the patients returned to their preoperative sports level. One patient reported a postoperative subluxation, while no cases of infection, limited range of motion or patella fracture were observed. PT, LPD and BSO ratio were all significant altered (P < 0.001) after MPFC reconstruction. Conclusion: Arthroscopically assisted MPFC reconstruction yielded satisfactory midterm clinical results for recurrent patellar dislocation with high-grade trochlear dysplasia. No significant differences of improvements in knee function were observed among the three types of high-grade trochlear dysplasia.

Cite this article

Fengyi HU , Qingyang MENG , Nayun CHEN , Jianing WANG , Zhenlong LIU , Yong MA , Yuping YANG , Xi GONG , Cheng WANG , Ping LIU , Weili SHI . Clinical efficacy of arthroscopic medial patellofemoral complex reconstruction for recurrent patellar dislocation with high-grade trochlear dysplasia[J]. Journal of Peking University(Health Sciences), 2025 , 57(5) : 947 -955 . DOI: 10.19723/j.issn.1671-167X.2025.05.020

髌骨脱位是一种常见的膝关节运动损伤,好发于运动活跃的青少年人群[1]。髌骨脱位发生两次及以上时可诊断为复发性髌骨脱位,具有手术干预指征[2]。内侧髌股韧带(medial patellofemoral ligament,MPFL)重建是目前治疗复发性髌骨脱位最主要的软组织手术方式。MPFL起自股骨内上髁与收肌结节之间,止于髌骨内侧中上骨面[3];近年研究发现,MPFL中有一部分纤维与股四头肌肌腱相交织连接,该束纤维后被命名为内侧股四头肌腱股骨韧带(medial quadricep tendon femoral ligament,MQTFL)[4],MPFL和MQTFL合称为内侧髌股复合体(medial patellofemoral complex,MPFC)[5]。生物力学研究表明,屈膝时MPFL与MQTFL等长性区别显著,并且两者在限制髌骨外移中的作用存在一定差异[6-7]。因此,已有学者开始探究MPFC重建的技术要点及治疗效果[8-11]
滑车发育不良是复发性髌骨脱位重要解剖学危险因素之一[12-13]。部分学者建议,对于合并高级别滑车发育不良(Dejour B~D型)的复发性髌骨脱位患者,应在MPFL重建基础上联合滑车成形术,以纠正髌骨轨迹,避免术后复发[14]。然而,有报道显示单纯MPFL重建对滑车发育不良患者亦可取得满意疗效[15]。相较于MPFL重建,MPFC重建更完整地复原了髌骨内侧软组织稳定装置,贴近正常解剖关系[8]。目前,有关MPFC重建治疗复发性髌骨脱位的临床随访研究尚不充分,尤其缺乏对伴有滑车发育不良者的关注。因此,本研究旨在探讨镜下MPFC重建治疗合并高级别滑车发育不良复发性髌骨脱位的临床疗效,以期优化软组织重建术的适应证,为复发性髌骨脱位的治疗方案选择提供参考。

1 资料与方法

1.1 研究对象及患者一般资料

本研究选取2014年1月至2020年12月于北京大学第三医院运动医学科接受关节镜下MPFC重建治疗的复发性髌骨脱位患者。纳入标准:(1)发生至少2次及以上髌骨脱位,诊断为复发性髌骨脱位;(2)经X线评估股骨骺板完全闭合;(3)行关节镜下MPFC双束解剖重建术;(4)股骨滑车形态的Dejour分型为B~D型(高级别滑车发育不良)。排除标准:(1)合并其他膝关节韧带损伤;(2)既往有髌骨脱位手术史;(3)合并系统性疾病且影响结局指标评估者。
本研究通过北京大学第三医院医学科学研究伦理委员会审批(审批号:M2021404),所有患者均知情同意。依据纳入及排除标准,本研究共纳入患者43例,共计46膝,其中左膝29例、右膝17例,男16例(18膝)、女27例(28膝),手术时平均年龄(22.2± 7.6)岁(范围14~44岁),初次脱位至手术时间平均为(6.4±6.8)年(范围1~30年),体重指数(22.5±4.3) kg/m2(范围14.8~34.3 kg/m2),随访时间为(49.9±22.6)个月(范围18~102个月)。

1.2 手术方法

1.2.1 关节镜探查及自体肌腱获取

所有手术由同一术者进行,采取统一术式(图 1)[16]。常规蛛网膜下腔阻滞麻醉,取标准仰卧位,上止血带。常规建立膝关节前内和前外侧入路。首先进行关节镜探查,评估髌骨轨迹、髌股关节对位情况及骨软骨损伤,清理软骨病灶并取出游离体。麻醉下评估外侧支持带挛缩及髌骨活动度。若髌骨倾斜试验显示髌骨外侧固定、不能抬高至水平位置或髌骨内推距离小于髌骨横径的四分之一[17],则利用射频和刨刀,经前外入路自髌骨下极至上极水平松解髌骨外侧支持带。于鹅足附着处开口,使用闭合式取腱器获取半腱肌肌腱,修整后用Orthocord线(DePuy Synthes)编织两端备用,作为MPFC重建移植物。
图1 关节镜下内侧髌股复合体重建

Figure 1 Arthroscopically assisted medial patellofemoral complex reconstruction

A, a patellar tunnel was made at the upper third point of the medial patella with a 4.5 mm drill; B, guide sutures were introduced through the patellar tunnel with an eyelet pin; C, a quadricep-tendon tunnel was created at the midpoint of the superior patella using a blunt cannula; D, guide sutures were pulled out through the medial femoral incision with a grasper; E, the autograft was introduced into the patellar tunnel (arrow 1) and the quadricep-tendon tunnel (arrow 2) with guide sutures; F, intraarticular view of the double-bundle (arrow 3 and 4) reconstructed graft.

1.2.2 建立股骨骨道

体表触摸定位收肌结节、股骨内上髁及两者间的鞍区,沿两骨性标志切开,建立2 cm内侧切口。术者利用弯钳再次明确上述骨性标志的相对位置后,于鞍区内距内收肌结节约10 mm处,用直径4.5 mm钻头建立股骨骨道,取外-近-前方向,出口位于股骨外侧髁近前侧,随后用直径6 mm钻头扩大骨道入口。

1.2.3 建立髌骨-股直肌肌腱通道

体表触摸定位髌骨上缘与内侧缘,确定髌骨上缘中点和内侧缘中上1/3交点,分别用10 mL注射器针头经皮穿入关节腔内作为定位标记,同时关节镜下确认定位针头的位置。于关节镜直视下,采用1.5 mm克氏针定位,用4.5 mm钻头建立髌骨骨道,出口位于髌骨前表面。其后,向髌骨骨道内置入引线(聚二氧六环酮缝合线,polydioxanone sutrure, PDS线)。经内侧切口进入钝头套管,关节囊外潜行,直至到达髌骨内侧缘中上1/3交点,建立关节囊外通道。经此通道送入戳枪,于关节镜直视下,将戳枪刺入关节囊抓取引线,并由内侧切口引出。类似地,从内侧切口进入另一钝头套管,关节囊外潜行,至髌骨上缘中点,紧贴髌骨上缘穿透股直肌肌腱,建立股直肌肌腱通道,并向股直肌肌腱通道内置入引线(PDS线)。

1.2.4 移植物固定

经导线引入编织备用的移植肌腱。移植物两尾端经内侧切口拉出后,用引线导入股骨骨道内,拉紧。反复屈伸膝关节,同时于关节镜下观察髌骨运动轨迹,调整移植物张力至合适大小,以保证髌骨轨迹得到纠正,关节活动范围正常。于屈膝60°位置,向股骨骨道内拧入一个6 mm×25 mm的挤压螺钉(Smith & Nephew),固定移植物。松止血带,冲洗、止血并缝合各切口,无菌敷料及棉花加压包扎。

1.3 术后康复

采用统一术后康复计划,术后患肢行膝关节支具保护6周。术后即刻开始股四头肌等长收缩训练,持续8周以上。术后1 d可在无痛范围内负重行走;在康复师指导下,术后4 d开始被动屈膝练习,4周内被动屈膝角度达90°;2~3个月被动屈膝角度基本正常。术后4~5个月可开始适度参加运动,6个月后可完全恢复体育活动。

1.4 观察指标

1.4.1 随访及临床指标

采用电话及门诊随访的方式。借助膝关节主观功能评分量表评价术前及末次随访时的膝关节功能状态,包括国际膝关节文献委员会(International Knee Documentation Committee,IKDC)评分、Kujala评分、Lysholm评分和Tegner评分。记录主观满意度(0~10分);记录患者术前运动水平及术后运动恢复情况,计算运动恢复率;记录术后髌股关节再发不稳定事件(脱位或半脱位)以及关节感染、血肿、活动受限、髌骨骨折等主要并发症的发生情况。

1.4.2 影像学指标

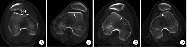
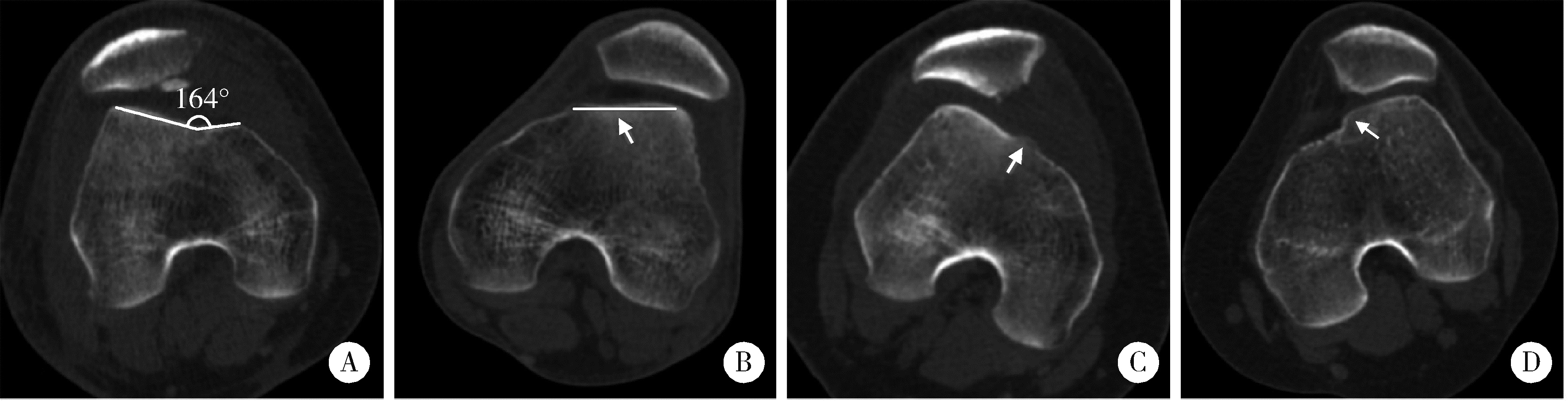
术前常规拍摄膝关节侧位X线片和电子计算机断层扫描(computed tomography, CT)。评估Dejour分型以反映滑车发育不良程度(图 2),测量髌骨高度(Insall-Salvati指数)与胫骨结节-股骨滑车沟(tibial tubercle-trochlear groove,TT-TG)间距[18](图 3)。术后1周内摄轴位CT,比较术前和术后的髌骨倾斜角、髌骨外移距离和等分偏移率(bisect offset ratio,BSO)比值[19](图 3),评估髌股关节对位关系改善情况。
图2 基于轴位CT的Dejour分型示例

Figure 2 Examples of 4-grade Dejour classification based on axial CT

A, a 38-year-old male was diagnosed with Dejour A trochlear dysplasia, whose CT scan indicated a trochlear groove angle of >145 degree and symmetric trochlear facets; B, a 21-year-old male was diagnosed with Dejour B trochlear dysplasia, whose CT scan indicated a flat trochlea (arrow); C, a 16-year-old female was diagnosed with Dejour C trochlear dysplasia, whose CT scan indicated asymmetric trochlear facets and hypoplastic medial facet (arrow); D, a 17-year-old female was diagnosed with Dejour D trochlear dysplasia, whose CT scan indicated a positive cliff pattern (arrow). CT, computed tomography.

图3 侧位X线及轴位CT影像学指标的测量方法

Figure 3 Measurements of radiographic parameters on lateral plain radiographs and axial CT

A, Insall-Salvati index is the ratio of the patellar tendon length (T) to the patellar height (P1, distance from the superior pole to the inferior pole) on lateral plain radiographs; B, TT-TG distance is calculated by the transverse length between the trochlear groove and the tibial tuberosity on axial images; C, PT is the angle between the transverse axis of the patella and the posterior femoral condylar line; D, LPD describes the distance between the medial margin of the patella and the medial trochlear margin measured by lines perpendicular to the posterior femoral condylar line; E, bisect offset is determined by the ratio at which the patella width was bisected from its lateral aspect to the transverse width of the patella (L/P2). CT, computed tomography; LPD, lateral patellar displacement; PT, patellar tilt; TT-TG, tibial tubercle-trochlear groove.

1.5 统计学分析

采用SPSS 26.0统计软件进行数据分析。计数资料采用数量及频率表示,计量资料采用均数±标准差表示。膝关节功能评分及影像学参数的术前和术后比较采用配对t检验(正态分布总体)或Wil-coxon秩和检验(非正态分布总体),不同Dejour分型间膝关节功能评分及影像学参数的比较采用单因素ANOVA检验,软骨损伤程度与是否发生术后疼痛并发症的关联性采用Fisher’s精确检验。检验水准α值取双侧0.05。

2 结果

2.1 解剖学危险因素及软骨损伤

本组患者Dejour分型结果为:B型17例(37.0%),C型20例(43.5%),D型9例(19.6%, 表 1)。Insall-Salvati指数平均为1.2±0.2(范围0.85~1.44),TT-TG距离平均为(19.6±3.5) mm(范围10.6~28.7 mm),术前髌骨倾斜角平均为30.9°±10.5°(范围9.8°~59.3°),平均手术时长为(90±18) min(范围64~164 min)。经麻醉下评估外侧支持带挛缩及髌骨活动度,联合外侧支持带松解的比例为93.5%(40/43)。术中关节镜探查髌股关节软骨损伤情况,以髌骨软骨损伤最常见,损伤达国际软骨修复学会(International Cartilage Repair Society,ICRS)Ⅱ级以上者占50.0%,而滑车软骨与股骨外侧髁软骨损伤达ICRS Ⅱ级以上者的比例分别为2.2%和17.3%。Dejour B~D各分型之间其他解剖学危险因素的差异无统计学意义(P>0.05,表 2)。
表1 解剖学危险因素及软骨损伤

Table 1 Anatomical risk factors and chondral lesion

Parameters Data
Dejour classification
  Type B 17 (37.0)
  Type C 20 (43.5)
  Type D 9 (19.6)
Patellar height (Insall-Salvati index) 1.2±0.2
   < 1.2 21 (45.7)
  ≥ 1.2 25 (54.3)
TT-TG distance 19.6±3.5
   < 20 mm 24 (52.2)
  ≥ 20 mm 22 (47.8)
Patellar tilt/(°) 30.9±10.5
Chondral lesion
  Patella > ICRS Ⅱ 23 (50.0)
  Trochlea > ICRS Ⅱ 1 (2.2)
  Lateral femoral condyle > ICRS Ⅱ 8 (17.3)

Data are presented as ${\bar x}$±s or n(%). Kappa value of four-grade Dejour classification was 0.703, indicating fair to good inter-observer agreement. For the discrepancies between the two observers, opinion of ano-ther senior doct or was sought to determine the classification. TT-TG, tibial tubercle-trochlear groove; ICRS, International Cartilage Repair Society.

表2 Dejour B~D型间解剖学危险因素的比较

Table 2 Comparison of anatomical risk factors among Dejour type B, C and D dysplasia

Parameters Type B (n=17) Type C (n=20) Type D (n=9) F P
Insall-Salvati index 1.1±0.2 1.2±0.2 1.3±0.1 2.641 0.083
TT-TG distance/mm 19.0±3.3 19.4±3.9 21.2±2.5 1.232 0.302
Patellar tilt/(°) 30.2±9.1 31.2±12.7 31.9±8.7 0.066 0.936

Data are presented as ${\bar x}$±s. TT-TG, tibial tubercle-trochlear groove.

2.2 膝关节功能评分

膝关节功能评分随访结果见表 3。末次随访时,各项评分较术前均有显著提高(P < 0.001,表 3):IKDC评分由56.3±15.1提高至86.2±8.1,Kujala评分由58.9±15.6提高至92.6±5.4,Lysholm评分由63.7±15.0提高至94.0±5.7,Tegner评分由3.1±1.4提高至4.7±1.4。患者主观满意度平均为(9.1±1.0)分。尽管Dejour D型患者膝关节功能评分改善量较B型和C型略为明显,但改善量在各组间的差异无统计学意义(P>0.05,表 4)。
表3 术前及术后膝关节功能评分对比

Table 3 Comparison of patient-reported outcome measures before and after surgery

Outcome measures Preoperative score Postoperative score Z P
IKDC score 56.3±15.1 86.2±8.1 -5.896 < 0.001
Kujala score 58.9±15.6 92.6±5.4 -5.906 < 0.001
Lysholm score 63.7±15.0 94.0±5.7 -5.906 < 0.001
Tegner score 3.1±1.4 4.7±1.4 -4.867 < 0.001
Subjective satisfaction 9.1±1.0

Data are presented as ${\bar x}$±s. IKDC, International Knee Documentation Committee.

表4 Dejour B~D型间膝关节功能评分改善量比较

Table 4 Comparison of improvements in patient-reported outcome measures among Dejour type B-D dysplasia

Outcome measures Type B (n=17) Type C (n=20) Type D (n=9) F P
ΔIKDC score 27.2±17.7 29.1±15.2 37.0±13.7 1.173 0.319
ΔKujala score 27.5±12.8 30.8±13.9 34.4±13.5 1.378 0.263
ΔLysholm score 31.6±14.8 32.1±14.9 41.0±14.6 0.815 0.449
ΔTegner score 1.4±1.5 1.5±1.7 2.2±1.4 0.896 0.416

Data are presented as ${\bar x}$±s. Δ refers to the improvements of patient-reported outcome measures. IKDC, International Knee Documentation Committee.

2.3 运动恢复

43例患者中31例(72.1%)术前平素有运动习惯,其中28例(90.3%)术后运动恢复至术前水平。其余3例患者未恢复术前运动水平的具体原因如下:患者1术前于跳舞落地时发生髌骨脱位,术后恢复跑跳,但因担心再次受伤而未恢复舞蹈训练;患者2术前为径赛运动员,术后为避免受伤下调训练强度,日常慢跑距离达3 km;患者3因术侧腿力弱及运动后间断膝痛而未恢复跑跳,术后运动以游泳和普拉提(Pilates)为主。

2.4 并发症

所有患者均未接受翻修手术。1例患者术后出现髌骨半脱位1次,自诉为绊倒时有髌骨外移感,自行恢复,不伴持续关节肿胀和疼痛,故未就医行进一步检查。该患者的Dejour分型为B型,Insall-Salvati指数为1.2,TT-TG距离为13.2 mm。所有患者均未出现关节僵硬、感染或髌骨骨折,术后关节活动度均达到正常范围。在膝关节功能评分量表随访中,11例患者(24%)表示在阴雨天或长时间活动后偶尔出现关节痛,不伴关节肿胀或活动受限,数小时可自行缓解。数据分析显示,该疼痛的发生与髌骨软骨损伤(P=0.869)、滑车软骨损伤(P=0.287)和股骨外侧髁软骨损伤(P>0.995)在统计学上均无显著的相关性(表 5)。
表5 术后膝关节疼痛与软骨损伤程度相关性分析

Table 5 Relationship between postoperative symptomatic knee pain and stages of chondral lesion

Chondral lesion No lesion ICRS Ⅰ ICRS Ⅱ ICRS Ⅲ ICRS Ⅳ P
Patella 0.869
  Symptomatic knee pain (-) 3 2 13 9 8
  Symptomatic knee pain (+) 2 0 3 3 3
Trochlea facet 0.287
  Symptomatic knee pain (-) 12 2 21 0 0
  Symptomatic knee pain (+) 5 0 5 1 0
Lateral femoral condyle >0.995
  Symptomatic knee pain (-) 26 1 1 2 5
  Symptomatic knee pain (+) 10 0 0 0 1

Data are presented as n; ICRS, International Cartilage Repair Society.

2.5 影像学评估

术后CT评估显示,髌骨倾斜角平均为9.8°±6.0°(范围1.5°~32.8°),髌骨外移距离平均为(-8.7±7.1) mm(范围-19.6~8.9 mm),BSO比值为0.6±0.2(范围0.6~1.9),较术前均有显著改善(P < 0.001,表 6)。这些参数的显著变化表明镜下MPFC重建能够纠正脱位后髌骨外倾外移状态,有效恢复髌股关节对位关系(图 4)。
表6 术前及术后髌股关节CT参数对比

Table 6 Comparison between preoperative and postoperative CT parameters of the patellofemoral joint

Parameters Preoperative value Postoperative value Z P
Patellar tilt/(°) 30.9±10.5 9.8±6.0 -5.443 < 0.001
Lateral patellar displacement/mm 10.4±8.1 -8.7±7.1 -5.442 < 0.001
Bisect offset ratio 1.1±0.3 0.6±0.2 -5.442 < 0.001

Data are presented as ${\bar x}$±s. Postoperative CT scans were feasible in 39 knees (84.8%). CT, computed tomography.

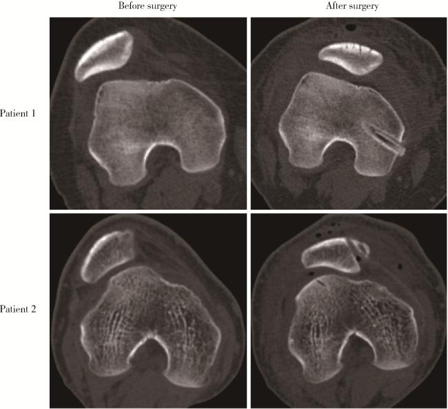
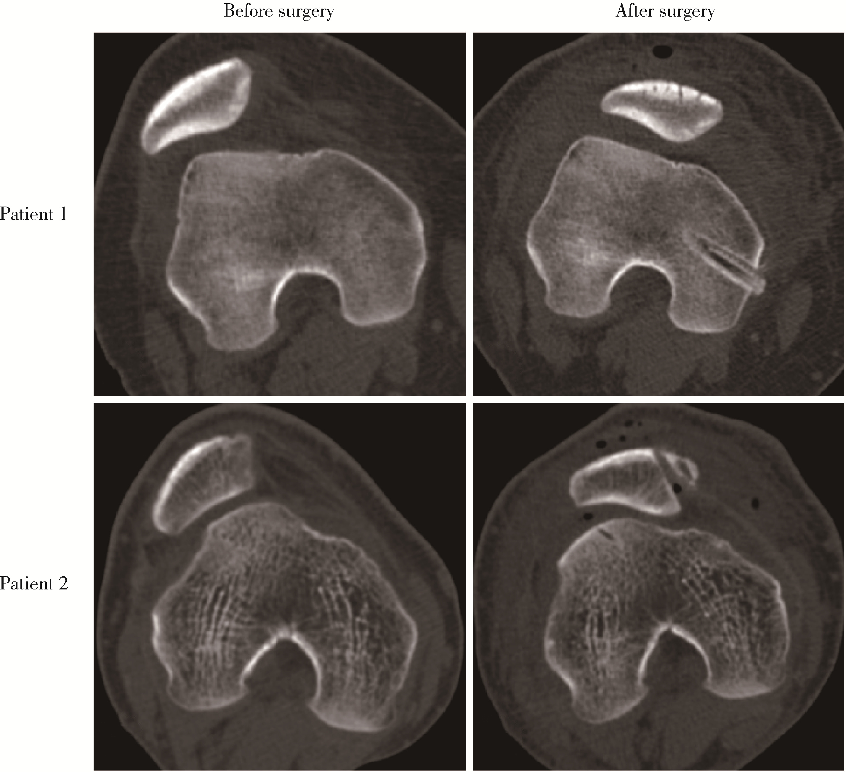
图4 内侧髌股复合体重建前后髌股关节轴位CT对比

Figure 4 Comparison of axial CT scans of the patellofemoral joint before and after MPFC reconstruction

Patient 1 was a 17-year-old male diagnosed with recurrent patellar dislocation of the right knee. Preoperative CT scan showed significant patellar tilt and lateral displacement, which were both corrected on postoperative scan. Patient 2 was a 16-year-old male diagnosed with recurrent patellar dislocation of the right knee. Preoperative CT scan demonstrated a dislocated patella with remarkable tilt and lateral translation, while the patellofemoral congruence was restored on postoperative scan. CT, computed tomography; MPFC, medial patellofemoral complex reconstruction.

3 讨论

MPFC的概念最早由Tanaka等[5]提出,用以描述髌骨近内侧软组织稳定装置,即MPFL和MQTFL的总称。解剖学研究显示,MPFC在屈膝0°~20°时长度变化最为明显,至屈膝90°时保持等长[6],其近侧组分(即MQTFL)的长度变化较远侧组分更显著[20]。一般认为,屈膝0°~60°时主要由内侧软组织结构发挥髌骨稳定作用,60°后则主要由股骨滑车限制髌骨活动[21]。然而,Christian等[7]发现,MPFC在屈膝0°~90°过程中始终参与限制髌骨外倾,并且MQTFL可能与伸膝时维持髌骨稳定相关。传统的复发性髌骨脱位软组织手术为MPFL重建,髌骨侧仅进行骨面固定,忽视了止于股四头肌肌腱纤维束的动态稳定作用[21-22]。因此,从生物力学角度上,MPFC重建较传统MPFL重建更贴近正常解剖关系,真实复原了髌骨近内侧软组织稳定装置的原始结构,有助于增强各屈膝角度下髌骨内侧稳定性。
尽管理论依据确切,MPFC重建的疗效研究尚不充分。印钰等[8]报道,平均24个月随访时,MPFC重建治疗复发性髌骨脱位的成功率达100%,膝关节功能评分和影像学参数均有显著改善。在未筛选合并解剖学危险因素患者的前提下,Shi等[16]发现MPFC重建在平均随访47.3个月时疗效依然可靠,功能评分改善达到最小临床重要差异(minimal cli-nically important difference,MCID)者占95.2%。在此基础上,本研究聚焦于合并高级别滑车发育不良复发性髌骨脱位患者,对MPFC重建的临床疗效展开进一步探讨。
实验室研究显示,与正常形态相比,扁平或凸起的滑车均会引起关节运动学参数和关节面受力等多方面变异[23]。Vinod等[24]从运动力学角度评估认为,单纯MPFL重建并不足以完全纠正浅滑车沟所导致的髌骨外移倾向。然而,尸体研究并不能完全模拟人体内髌股关节稳定性维持的实际情形。Hiemstra等[12]和Kita等[13]报道,滑车发育不良与MPFL重建术后脱位复发以及更低的膝关节功能改善相关。近年部分临床研究肯定了MPFL重建在滑车发育不良患者中的积极效果。Liu等[15]总结,在Dejour B~D型比例为92%的121例患者中,MPFL重建成功率为97.5%,94.5%的患者于1年内恢复运动。Sappey-Marinier等[25]发现滑车发育不良与术后脱位复发无明确相关性。本研究亦表明,MPFC重建治疗Dejour B~D型复发性髌骨脱位患者的中期疗效满意,髌股关节对位关系显著改善,运动恢复率达90%,并且滑车发育不良各型之间膝关节功能提升差异无统计学意义。以上结果均提示在高级别滑车发育不良患者中应用单纯软组织重建术治疗复发性髌骨脱位的合理性和可靠性。
部分学者建议,对伴高级别滑车发育不良的复发性髌骨脱位患者,应在MPFL重建基础上联合滑车成形术[12-14],然而,滑车成形术的手术指征目前仍无统一标准。尽管Dejour分型是最常用的滑车形态分类方法之一,但有研究者指出其一致性并不理想,且文献中基于Dejour分型的高级别滑车发育不良的定义存在差异[14, 18, 26]。此外,也有部分研究采用滑车沟深度、滑车对称度、关节面凸起高度等量化指标作为滑车形态的评判参考[12, 18],这使得滑车成形术的实施缺乏统一规范。Testa等[27]总结发现,相较于MPFL重建,滑车成形术在预防复发和恢复膝关节功能上的优势并不明显。同时,实施滑车成形术时不可避免地会损伤关节软骨,有造成髌股关节炎和关节活动受限的远期风险[14]。综上,考虑到滑车成形术的指征和优势均不明确,对于单纯软组织重建术治疗伴高级别滑车发育不良复发性髌骨脱位或许应持更加积极的态度。
本研究采用关节镜辅助下MPFC重建[16]。关节镜技术的引入有助于在直视下精准定位髌骨-股直肌肌腱通道,不依赖于扩大切口提供视野,能够减小创伤,缩短恢复时间,在美观性上也更具优势,并且不增加手术时长。髌骨单骨道的设计对骨质破坏更小,与双骨道固定法相比,可降低髌骨骨折与骨道断裂的风险[8]。由于髌骨-股直肌肌腱通道的穿行距离较髌骨双固定点重建更长,本研究采用半腱肌肌腱代替股薄肌肌腱作为韧带重建的首选移植物。
考虑到复发性髌骨脱位合并多种解剖学异常的情形并不少见,本研究未排除高位髌骨和TT-TG间距增大的患者,两者比例分别为54.3%和47.8%,且髌骨高度、TT-TG距离、术前髌骨倾斜角与滑车发育不良程度未显示出显著相关性。对于本研究中合并高TT-TG距离的患者,术者并未对应开展联合胫骨结节移位术。尽管有研究将此适应证放宽至TT-TG >15 mm[28],但是对于这类复杂病例的手术方式选择仍存在争议。Erickson等[29]在包含高TT-TG值及高位髌骨的髌骨脱位队列中报道,MPFL重建术后3.5年仅1例复发,各功能性评分有显著提高,运动恢复率达88%。本文随访结果与之呼应,为MPFC重建在复杂复发性髌骨脱位病例中的推广提供了支持证据,但尚需进一步积累临床随访证据,以明确骨性结构手术较单纯软组织手术能否带来更优越的治疗效果,从而平衡手术创伤和临床获益。
综上所述,本研究发现,关节镜下MPFC重建治疗伴高级别滑车发育不良复发性髌骨脱位的中期临床疗效满意,高级别滑车发育不良各分型之间膝关节功能改善差异无统计学意义。但本研究也存在以下几点局限性:首先,本研究为一单中心回顾性研究,样本量有限;其次,本研究缺少对照组,无法说明MPFC重建与传统术式的临床疗效是否存在差异,同时亦难以阐明骨性结构手术能否为合并多种解剖学危险因素患者提供额外临床获益;再次,本研究仅完成了中期随访,对于伴高级别滑车发育不良的复发性髌骨脱位患者,仍需要进一步观察评估以判断MPFC重建的长期疗效。

利益冲突  所有作者均声明不存在利益冲突。

作者贡献声明  史尉利、刘平:提出研究思路;史尉利、胡枫艺、王成:设计研究方案;胡枫艺、孟庆阳、陈拿云:病例随访及临床数据收集;王佳宁、刘振龙:数据整理与分析;胡枫艺:撰写论文;马勇、杨渝平、龚熹:审校和修改论文;史尉利、刘平、王成:总体把关和审定论文;所有作者均对最终文稿进行审读并确认。

1
Sanders TL , Pareek A , Hewett TE , et al. Incidence of first-time lateral patellar dislocation: A 21-year population-based study[J]. Sports Health, 2018, 10 (2): 146- 151.

DOI

2
Liu JN , Steinhaus ME , Kalbian IL , et al. Patellar instability ma-nagement: A survey of the International Patellofemoral Study Group[J]. Am J Sports Med, 2018, 46 (13): 3299- 3306.

DOI

3
Nomura E , Inoue M , Osada N . Anatomical analysis of the medial patellofemoral ligament of the knee, especially the femoral attachment[J]. Knee Surg Sports Traumatol Arthrosc, 2005, 13 (7): 510- 515.

DOI

4
Fulkerson JP , Edgar C . Medial quadriceps tendon-femoral ligament: Surgical anatomy and reconstruction technique to prevent patella instability[J]. Arthrosc Tech, 2013, 2 (2): e125- e128.

DOI

5
Tanaka MJ , Voss A , Fulkerson JP . The anatomic midpoint of the attachment of the medial patellofemoral complex[J]. J Bone Joint Surg Am, 2016, 98 (14): 1199- 1205.

DOI

6
Huddleston HP , Campbell KJ , Madden BT , et al. The quadriceps insertion of the medial patellofemoral complex demonstrates the greatest anisometry through flexion[J]. Knee Surg Sports Traumatol Arthrosc, 2021, 29 (3): 757- 763.

DOI

7
Christian DR , Redondo ML , Cancienne JM , et al. Differential contributions of the quadriceps and patellar attachments of the proximal medial patellar restraints to resisting lateral patellar translation[J]. Arthroscopy, 2020, 36 (6): 1670- 1676.

DOI

8
印钰, 陈临新, 梅宇, 等. 内侧股四头肌腱股骨韧带重建联合单骨道内侧髌股韧带重建治疗复发性髌骨脱位的临床疗效[J]. 中国运动医学杂志, 2021, 40 (12): 936- 941.

9
Spang RC , Tepolt FA , Paschos NK , et al. Combined reconstruction of the medial patellofemoral ligament (MPFL) and medial quadriceps tendon-femoral ligament (MQTFL) for patellar instability in children and adolescents: Surgical technique and outcomes[J]. J Pediatr Orthop, 2019, 39 (1): e54- e61.

DOI

10
Temponi EF , Saithna A , Gonçalves MBJ , et al. Combined reconstruction of the medial patellofemoral ligament and medial quadriceps tendon-femoral ligament[J]. Arthrosc Tech, 2021, 10 (1): e193- e198.

DOI

11
Espregueira-Mendes J , Andrade R , Bastos R , et al. Combined soft tissue reconstruction of the medial patellofemoral ligament and medial quadriceps tendon-femoral ligament[J]. Arthrosc Tech, 2019, 8 (5): e481- e488.

DOI

12
Hiemstra LA , Kerslake S , Loewen M , et al. Effect of trochlear dysplasia on outcomes after isolated soft tissue stabilization for patellar instability[J]. Am J Sports Med, 2016, 44 (6): 1515- 1523.

DOI

13
Kita K , Tanaka Y , Toritsuka Y , et al. Factors affecting the outcomes of double-bundle medial patellofemoral ligament reconstruction for recurrent patellar dislocations evaluated by multivariate analysis[J]. Am J Sports Med, 2015, 43 (12): 2988- 2996.

DOI

14
Levy BJ , Tanaka MJ , Fulkerson JP . Current concepts regarding patellofemoral trochlear dysplasia[J]. Am J Sports Med, 2021, 49 (6): 1642- 1650.

DOI

15
Liu JN , Brady JM , Kalbian IL , et al. Clinical outcomes after isolated medial patellofemoral ligament reconstruction for patellar instability among patients with trochlear dysplasia[J]. Am J Sports Med, 2018, 46 (4): 883- 889.

DOI

16
Shi WL , Hu FY , Xu MT , et al. Arthroscopic anatomical double-bundle medial patellofemoral complex reconstruction improves clinical outcomes in treating recurrent patellar instability despite trochlear dysplasia, elevated tibial tubercle-trochlear groove distance and patellar alta[J]. Arthroscopy, 2023, 39 (1): 102- 111.

DOI

17
Dixit S , DiFiori JP , Burton M , et al. Management of patellofemoral pain syndrome[J]. Am Fam Physician, 2007, 75 (2): 194- 202.

18
Nacey NC , Fox MG , Luce BN , et al. Assessing femoral trochlear morphologic features on cross-sectional imaging before trochleoplasty: Dejour classification versus quantitative measurement[J]. AJR Am J Roentgenol, 2020, 215 (2): 458- 464.

DOI

19
Ye Q , Yu T , Wu Y , et al. Patellar instability: The reliability of magnetic resonance imaging measurement parameters[J]. BMC Musculoskelet Disord, 2019, 20 (1): 317.

DOI

20
Yanke AB , Huddleston HP , Campbell K , et al. Effect of patella Alta on the native anatomometricity of the medial patellofemoral complex: A cadaveric study[J]. Am J Sports Med, 2020, 48 (6): 1398- 1405.

DOI

21
Chahla J , Smigielski R , LaPrade RF , et al. An updated overview of the anatomy and function of the proximal medial patellar restraints (medial patellofemoral ligament and the medial quadriceps tendon femoral ligament)[J]. Sports Med Arthrosc Rev, 2019, 27 (4): 136- 142.

DOI

22
Tanaka MJ , Chahla J , Farr J 2nd , et al. Recognition of evolving medial patellofemoral anatomy provides insight for reconstruction[J]. Knee Surg Sports Traumatol Arthrosc, 2019, 27 (8): 2537- 2550.

DOI

23
Van Haver A , De Roo K , De Beule M , et al. The effect of trochlear dysplasia on patellofemoral biomechanics: A cadaveric study with simulated trochlear deformities[J]. Am J Sports Med, 2015, 43 (6): 1354- 1361.

DOI

24
Vinod AV , Hollenberg AM , Kluczynski MA , et al. Ability of medial patellofemoral ligament reconstruction to overcome lateral patellar motion in the presence of trochlear flattening: A cadaveric biomechanical study[J]. Am J Sports Med, 2021, 49 (13): 3569- 3574.

DOI

25
Sappey-Marinier E , Sonnery-Cottet B , O'Loughlin P , et al. Clinical outcomes and predictive factors for failure with isolated MPFL reconstruction for recurrent patellar instability: A series of 211 reconstructions with a minimum follow-up of 3 years[J]. Am J Sports Med, 2019, 47 (6): 1323- 1330.

DOI

26
Hopper GP , Leach WJ , Rooney BP , et al. Does degree of troch-lear dysplasia and position of femoral tunnel influence outcome after medial patellofemoral ligament reconstruction?[J]. Am J Sports Med, 2014, 42 (3): 716- 722.

DOI

27
Testa EA , Camathias C , Amsler F , et al. Surgical treatment of patellofemoral instability using trochleoplasty or MPFL reconstruction: A systematic review[J]. Knee Surg Sports Traumatol Arthrosc, 2017, 25 (8): 2309- 2320.

DOI

28
Qiao Y , Xu J , Ye Z , et al. Double-tunnel technique was similar to single-tunnel technique in clinical, imaging and functional outcomes for medial patellofemoral ligament reconstruction: A randomized clinical trial[J]. Arthroscopy, 2022, 38 (11): 3058- 3067.

DOI

29
Erickson BJ , Nguyen J , Gasik K , et al. Isolated medial patellofemoral ligament reconstruction for patellar instability regardless of tibial tubercle-trochlear groove distance and patellar height: Outcomes at 1 and 2 years[J]. Am J Sports Med, 2019, 47 (6): 1331- 1337.

DOI

Outlines

/