Imaging study of osteogenesis in maxillary sinus segment of zygomatic implants

  • Ziyang YU 1 ,
  • Houzuo GUO 1 ,
  • Xi JIANG 1 ,
  • Weihua HAN 2 ,
  • Ye LIN , 1, *
Expand
  • 1. Department of Implantology, Peking University School and Hospital of Stomatology & National Center for Stomatology & National Clinical Research Center for Oral Diseases & National Engineering Research Center of Oral Biomaterials and Digi-tal Medical Devices & Beijing Key Laboratory of Digital Stomatology, Beijing 100081, China
  • 2. Department of Stomatology, Peking Union Medical College Hospital, Peking Union Medical College & Chinese Academy of Medical Science, Beijing 100730, China
LIN Ye, e-mail,

Received date: 2023-02-23

  Online published: 2025-09-05

Supported by

the National Central Healthcare Research Project(2022—2027)

the National Central Healthcare Research Project(2022ZD18)

Copyright

All rights reserved. Unauthorized reproduction is prohibited.

Abstract

Objective: To assess the osteogenesis height in maxillary sinus segment one year after zygomatic implantation by imaging methods, and evaluate the influence of patient factors, maxillary sinus anatomical factors and surgical factors on postoperative osteogenesis height. Methods: This study is a retrospective study, including patients who underwent zygomatic implantation and whose zygomatic implants passed through the maxillary sinus at the Department of Implantology, Peking University School and Hospital of Stomatology from July 2017 to January 2022. Preoperative and postoperative cone beam CT (CBCT)was taken to measure and calculate the average osteogenesis height (AOH) in maxillary sinus segment of the zygomatic implants, then the residual bone height, the width and morphology of the maxillary sinus floor in the buccal and palatal directions were measured. Besides, the integrity of Schneiderian membrane during implant surgery, and the general information of the patients and zygomatic implants were recorded. By comparing anatomical situations and surgical characteristics, the differences of AOH under different conditions were analyzed. Then AOH was divided into two groups (obvious osteogenesis group and non-obvious osteogenesis group) using the median as the threshold, and the influencing factors of osteogenesis were evaluated using mixed effect generalized linear model univariable and multivariable analysis. Results: A total of 47 zygomatic implants were implanted in 24 patients. During the average follow-up period of 12.1 months, there was no implant failure, and the implant survival rate was 100%. Postoperative CBCT showed that 43 zygomatic implants had osteogenic images in the maxillary sinus segment, most of which originated from the floor of the maxillary sinus, and the median AOH was 3.1 mm [interquartile range (IQR): 4.0 mm]. In terms of maxillary sinus width, there were 31 cases (66.0%) of wide type and 16 cases (34.0%) of narrow type. In the aspect of buccal and palatal morphology, 17 cases were taper (36.2%), 20 cases were round (42.6%), and 10 cases were flat (21.3%). The median of residual bone height was 2.8 mm (IQR: 2.2 mm) before operation. Univa-riate analysis of mixed effect generalized linear model showed that postoperative obvious osteogenic rate was related to the residual bone height (OR=2.09, P=0.006). Multivariate analysis showed that the resi-dual bone height (OR=2.55, P=0.022) and the shape of a taper maxillary sinus (OR=11.44, P=0.040) had a significant impact on the postoperative obvious osteogenic rate. Conclusion: The maxillary sinus floor showed osteogenic images 1 year after the zygomatic implantation surgery. Larger residual bone height and the shape of a taper maxillary sinus may be favorable factors for osteogenesis.

Cite this article

Ziyang YU , Houzuo GUO , Xi JIANG , Weihua HAN , Ye LIN . Imaging study of osteogenesis in maxillary sinus segment of zygomatic implants[J]. Journal of Peking University(Health Sciences), 2025 , 57(5) : 967 -974 . DOI: 10.19723/j.issn.1671-167X.2025.05.023

穿颧种植在上颌后牙区骨量严重缺损患者中的应用日渐广泛,与经典的上颌窦底提升植骨手段相比,穿颧种植可减免大量植骨,并可实现即刻修复[1]。自20世纪80年代投入临床应用以来,该技术已得到稳定的发展和充分的文献支持[2-5],近期的系统回顾性研究显示穿颧种植的5年成功率达97.6%[6]
穿颧种植体的植入路径常穿行上颌窦,有学者发现植体的上颌窦段可形成新骨[7],这些新骨起自上颌窦底。尽管穿颧种植体主要依靠颧骨获得固位,但从机械力学角度考虑,植入点附近的良好骨支持可改善植体应力分布,理论上有利于植体的远期稳定[8-9]。现有研究对穿颧种植体上颌窦段的术后成骨现象关注较少,尚未见针对成骨高度的定量研究。尽管常规上颌窦底提升手术中影响成骨的因素包括上颌窦黏膜状态、剩余牙槽骨高度(residual bone height, RBH)、上颌窦解剖形态等[10],但上述因素对穿颧种植术后成骨的影响尚不确定,因为穿颧种植体和常规种植体在上颌窦内的解剖生理及功能状态存在较大差异[11]
本研究将通过影像学手段,测量穿行上颌窦的穿颧种植体术后1年在上颌窦段的成骨高度,并探讨患者个人因素(性别、年龄、吸烟史、糖尿病)、解剖因素(RBH、上颌窦颊腭向宽度和形态)和手术因素(种植体位置、术中黏膜完整性)对成骨情况的影响。

1 资料与方法

1.1 研究对象

本研究为回顾性研究,选择2017年7月至2022年1月期间在北京大学口腔医院种植科行穿颧种植的患者。本研究已通过北京大学口腔医院生物医学伦理委员会审核(审批号:PKUSSIRB-202166103),每位患者在术前均知情同意。
纳入标准:(1)年龄18~80岁;(2)上无牙颌或潜在无牙颌,前磨牙区及磨牙区剩余骨量普遍≤4 mm;(3)身体条件可耐受全身麻醉或镇静局部麻醉下穿颧种植手术;(4)实际植入的种植体穿行上颌窦;(5)病历及影像学资料齐全,可用于数据分析。排除标准:(1)有严重未控制的全身系统性疾病;(2)上颌窦内存在急慢性炎症;(3)患者有重度吸烟史(多于10支/天)。

1.2 种植外科及修复方法

1.2.1 患者评估和术前设计

术前拍摄锥形束CT(cone beam CT,CBCT)(i-cat FLX,Imaging Sciences International,美国),管电压120 kV,电流5 mA,拍摄范围16 cm×13 cm。以Bedrossian等[12]提出的上无牙颌分区对患者骨缺损情况进行评估(图 1),对于2区及3区严重骨缺损,在患者单侧颧骨内植入1枚穿颧种植体,并在同侧前牙区植入数枚常规种植体;对于1、2、3区严重骨缺损,在患者单侧颧骨内植入2枚穿颧种植体。
图1 Bedrossian提出的上无牙颌分区

Figure 1 Division of edentulous maxilla by Bedrossian

1.2.2 植入手术

患者镇静下局部麻醉或全身麻醉起效后,遵循解剖学为导向的穿颧种植术式(zygoma anatomy guided approach,ZAGA)[11],沿牙槽嵴顶切开翻瓣,暴露上颌窦前外侧壁及同侧颧牙槽嵴,向上剥离至颧上颌缝,避免过度剥离引起眶下神经的损伤。于上颌窦前外侧壁开窗,剥离并小心提升窦底黏膜,若黏膜出现较大的意外穿孔则使用Bio-Gide覆盖或6-0可吸收线缝合。根据术前设计的植入方向完成逐级备洞,测量备洞深度和颧骨内种植体长度。植入合适长度的TiUnite Zygoma(Nobel Biocare AB,瑞典)种植体,安放复合式基台。根据术前评估分类,对于单侧植入1枚穿颧种植体的患者,在其同侧前牙区植入数枚常规种植体。严密关闭伤口,术后口服抗生素7 d。

1.3 临床随访和检查指标

患者完成种植手术后,于术后1周、1个月、6个月及1年复诊,每次随访均进行临床检查,术后即刻和术后1年进行CBCT检查,具体检查指标如下。

1.3.1 种植体存留率

参照Aparicio等[13]提出的穿颧种植体存留评价标准:(1)植入点位置自嵴顶中央向腭侧偏离不超过15 mm,或向颊侧偏离不超过5 mm;(2)无反复发作的上颌窦炎症;(3)牙龈软组织无严重退缩,无持续性炎症表现;(4)种植体无旋动。于临床随访时记录种植体失败和存留数,计算种植体存留率。

1.3.2 剩余牙槽骨及上颌窦解剖形态

(1) RBH:如图 1,在术前CBCT中定位植入中心点,测量植入点对应的牙槽嵴顶至上颌窦黏膜下方骨壁最凹处的垂直距离,记为RBH(单位:mm,图 2)。(2)上颌窦底宽度分型:参考Avila等[14]和Soardi等[15]提出的上颌窦底颊腭壁距离(distance between the palatal and buccal wall,PBD)的测量方法,以及Spinato等[16]对上颌窦宽度的分型依据,以剩余牙槽骨顶为基准,测量其上方10 mm处上颌窦颊侧壁和腭侧壁的水平距离,记为PBD(单位:mm,图 2),将PBD < 13.25 mm定义为窄上颌窦,PBD≥13.25 mm定义为宽上颌窦。(3)上颌窦颊腭向轮廓:如图 3,参考Niu等[17]对上颌窦颊腭向轮廓的分类方式,结合本研究纳入患者的上颌窦形态特点,将上颌窦颊腭向轮廓定性分为锥形、卵圆形和方形三类。(4)上颌窦底影像学成骨:使用窦底平均成骨高度(average osteogenesis height,AOH)代表上颌窦底影像学成骨情况,如图 4,先测量窦底总骨高度(total bone height,TBH),即牙槽嵴顶到上颌窦黏膜下最根方的骨高度,TBH减去对应位置的RBH即得到窦底成骨高度(osteogenesis height,OH);每个种植体测量3个位点的OH,在冠状面测量腭侧的OH,在矢状面测量近中和远中的OH,以上3个测量值的算术平均值即为AOH(单位:mm)。由于穿颧种植体颊侧螺纹常紧贴上颌窦前壁或暴露于上颌窦外侧,因此并未将颊侧OH纳入测量指标。
图2 RBH和PBD的测量

Figure 2 Measurement of RBH and PBD

IM, implantation point of zygomatic implant; PBD, distance between the palatal and buccal wall; RBH, residual bone height.

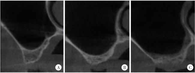
图3 上颌窦颊腭向轮廓

Figure 3 Morphology of maxillary sinus in the buccal and palatal directions

A, taper; B, round; C, flat.

图4 窦底成骨高度的测量

Figure 4 Measurement of osteogenic height in maxillary sinus floor

TBH, total bone height; RBH, residual bone height; P, palatal; M, mesial; D, distal.

1.4 统计学方法

使用R 4.2.2软件进行数据分析,显著性水平取α=0.05。对于K-S检验提示正态分布的数据,使用均值±标准差描述,非正态数据则使用中位数(四分位距)描述。由于每位患者可能纳入多个种植体,提示种植体并非独立变量,数据在患者水平和种植体水平呈嵌套结构,为避免患者因素的影响,使用广义线性混合模型评估各因素对成骨情况的影响,将患者作为随机截距。对于自变量为分类变量的情况,采用哑变量的形式纳入模型。

2 结果

2.1 患者及种植体一般资料

共有24例患者纳入研究,包括8例女性和16例男性,患者平均年龄(54.5±8.0)岁,详细年龄分布和患者全身情况见表 1
表1 患者一般资料(n=24)

Table 1 General information of patients (n=24)

Items Data
Gender, n(%)
  Male 16 (66.7)
  Female 8 (33.3)
Age/years, n(%)
  30- 1 (4.2)
  40- 8 (33.3)
  50- 8 (33.3)
  60-69 7 (29.2)
General condition, n(%)
  Hypertension 6 (25.0)
  Diabetes 2 (8.3)
  Cardiovascular disease 1 (4.2)
Smoking history, n(%) 3 (12.5)
纳入24例患者共植入穿颧种植体47枚,平均长度为(43.78±4.91) mm,左右两侧数量基本相当,种植体一般资料见表 2。所有纳入病例术中均进行了上颌窦黏膜提升,有10枚种植体的植入手术中出现了上颌窦黏膜意外穿孔。在平均随访(12.1± 0.9)个月内无种植体失败,种植体存留率100%。
表2 穿颧种植体一般资料(n=47)

Table 2 General information of zygomatic implants (n=47)

Items Data
Length of zygomatic implants/mm, ${\bar x}$±s 43.78±4.91
Site, n(%)
  Left 24 (51.1)
  Right 23 (48.9)
Survival, n(%)
  No 0 (0.0)
  Yes 47 (100.0)
Schneiderian membrane, n(%)
  Perforated 10 (21.3)
  Non-perforated 37 (78.7)

2.2 牙槽嵴及上颌窦解剖形态

2.2.1 RBH

纳入种植体样本的RBH呈非正态分布,中位数为2.80 mm(四分位距:2.20 mm)。男性患者的RBH小于女性,差异有统计学意义(P=0.025),左右两侧的RBH差异无统计学意义(P=0.873,表 3)。
表3 穿颧种植体的剩余牙槽骨高度

Table 3 Residual bone height of zygomatic implants

Items n RBH/mm, median (IQR) P
Gender 0.025
  Male 31 2.40 (1.70)
  Female 16 3.90 (3.93)
Site 0.873
  Left 24 2.60 (2.43)
  Right 23 2.80 (2.20)
Total 47 2.80 (2.20)

RBH, residual bone height; IQR, interquartile range.

2.2.2 上颌窦颊腭向宽度和轮廓

纳入的种植体中包括宽型上颌窦31例(66.0%)、窄型上颌窦16例(34.0%);颊腭向轮廓方面,包括锥形17例(36.2%)、卵圆形20例(42.6%)、方形10例(21.3%)。

2.3 上颌窦底成骨情况及影响因素

图 5,本组种植体AOH范围较广(0~6.9 mm)且呈非正态分布,中位数为3.1 mm(四分位距:4.0 mm),其中有4枚种植体术后CT中未观察到确切成骨。为便于统计分析,以AOH中位数为阈值,将其转换为二分类变量:即当AOH>3.1 mm时设为“明显成骨”,AOH≤3.1 mm时设为“不明显成骨”。
图5 穿颧种植体术后1年的AOH

Figure 5 Postoperative 1-year AOH of zygomatic implants

AOH, average osteogenesis height; IQR, interquartile range.

设成骨情况为因变量,将患者作为随机截距,分别将个人因素(性别、年龄、糖尿病)、解剖因素(RBH、上颌窦颊腭向宽度和形态)和手术因素(上颌窦黏膜意外穿孔、种植位置)中的各变量纳入广义线性混合模型,并将分类变量设置为哑变量形式。单因素分析结果如表 4所示。
表4 上颌窦底成骨情况的单因素分析

Table 4 Univariate analysis of osteogenesis of maxillary sinus floor

Examined variable n Obvious osteogenic rate/% β OR (95%CI) P
Gender
  Male 31 62.5 Reference
  Female 16 41.9 -0.842 0.43 (0.09, 1.52) 0.197
Age 47 48.9 0.038 1.04 (0.96, 1.14) 0.320
Smoker
  No 41 51.2 Reference
  Yes 6 33.3 -0.752 0.47 (0.05, 3.09) 0.426
Diabetes
  No 43 48.8 Reference
  Yes 4 50.0 -0.002 1.00 (0.05, 9.37) 0.998
RBH 47 48.9 0.738 2.09 (1.32, 4.57) 0.006
PBD
  Wide 31 48.4 Reference
  Narrow 16 50.0 0.094 1.10 (0.31, 5.44) 0.886
Morphology
  Round 20 35.0 Reference
  Taper 17 70.6 1.706 5.51 (0.84, 36.0) 0.075
  Flat 10 40.0 0.310 1.36 (0.23, 8.16) 0.734
Perforation
  No 28 57.1 Reference
  Yes 19 36.8 -0.827 0.44 (0.13, 1.48) 0.175
Site
  Left 24 50.0 Reference
  Right 23 47.8 -0.091 0.91 (0.28, 2.95) 0.878

RBH, residual bone height; PBD, distance between the palatal and buccal wall.

选取单因素分析结果中P < 0.10的变量(RBH、锥形上颌窦形态)纳入多因素分析,将患者作为随机截距,回归方法为向后选择法(设定排除阈值为P=0.10),结果如表 5所示。选取的2个变量均纳入模型,且OR>1,提示较大的RBH和锥形上颌窦形态(与卵圆形上颌窦相比)可提高明显成骨率。各变量方差膨胀因子(variance inflation factor,VIF)均较小,可认为不存在多重共线性问题。
表5 上颌窦底成骨情况的多因素分析

Table 5 Multivariate analysis of osteogenesis of maxillary sinus floor

Examined variables β OR (95%CI) P VIF
Morphology
  Round Reference
  Taper 0.937 11.44 (1.11, 117.4) 0.040 1.128
RBH 2.437 2.55 (1.14, 5.69) 0.022 1.272

RBH, residual bone height; VIF, variance inflation factor.

3 讨论

对于伴上颌后牙区严重骨吸收的无牙颌或潜在无牙颌患者,穿颧种植是一种可用的修复方法,患者通过颧骨获得种植体固位以修复牙列或颌面部缺损[1]。穿颧种植体的植入路径常穿行上颌窦,周国辉[7]率先报道穿颧种植术后上颌窦底可有新骨形成。从机械力学角度考虑,在上颌剩余牙槽骨严重不足时,种植体上颌窦段的新成骨可加强植入点附近的硬组织固位,改善种植体的应力分布,并有利于种植体的远期稳定[8-9]
本研究对1例颧周感染患者进行手术探查时,在直视下观察到类似的成骨现象(图 6)。此外,在颧骨内侧和上颌窦中段也发现少量成骨,但由于上颌窦底的成骨对改善种植体应力分布有更明确的意义,因此本文将主要关注窦底成骨情况及影响因素,其余部位的成骨现象有待进一步研究探讨。
本研究通过AOH评估穿颧种植体的上颌窦段成骨情况。术后CBCT显示12.1个月的随访期内共43枚种植体出现成骨影像,新骨起自窦底骨壁,AOH的中位数为3.1 mm(四分位距:4.0 mm)。常规上颌窦底提升手术中影响成骨的因素包括上颌窦黏膜状态、RBH、上颌窦解剖形态等[10],但这些因素在穿颧种植中是否起到相似作用尚不确定,因为穿颧种植体和常规种植体在上颌窦内的解剖生理及功能状态具有较大差异:首先,两类种植体穿行上颌窦的长度和角度不同,主要负重部位也有差异;其次,穿颧种植时经常无需放置额外的人工骨材料和生物膜;再次,二者术式不同,上颌窦黏膜的提升范围并不一致。
为探讨上述因素在穿颧种植术后成骨的作用,本研究分析了解剖形态、手术情况和患者条件三类因素中的多项指标。多因素分析结果显示,RBH和锥形上颌窦形态(与卵圆形相比)与术后明显成骨率有统计学相关性,且OR>1,提示较大的RBH和锥形上颌窦形态对成骨有促进作用,而上颌窦颊腭向宽度、术中黏膜是否意外穿孔等因素对成骨无显著影响。该结果与传统的经牙槽嵴顶或经侧壁开窗上颌窦底提升手术的成骨影响因素均存在一定差异[18],现分析如下。
图6 1例颧周感染患者手术探查时发现上颌窦底成骨

Figure 6 Osteogenesis of the maxillary sinus floor during surgical exploration in a patient with peri-zygomatic infection

A, surgical exploration, arrow indicating new bone formation; B, pre-operative cone beam CT (CBCT); C, CBCT at 12 months after surgery, arrow indicating new bone formation.

3.1 RBH对成骨的影响

RBH对成骨的作用与种植体的初期稳定性有关[19]。由于患者牙槽嵴严重萎缩,种植体主要依靠颧骨获得固位,在功能行使时临近牙槽嵴的部分可能存在微动度。当RBH较大时,种植体植入点可获得更好的骨支持,维持窦内空间的相对稳定,有利于窦底成骨活动。
也有学者认为RBH不是影响种植体稳定性的唯一指标,还要考虑骨密度的影响[20]。有研究指出薄层皮质骨的血运受限,与血运丰富的宽厚牙槽骨相比,不仅新骨再生潜力较差,种植体的初期稳定性也会受到一定影响[21]。由于CBCT中的灰度值并不能反映真实的骨密度大小,因此本研究并未将骨密度纳入测量指标。针对这一缺陷,有学者提出可使用定量CT技术,利用骨密度与灰度值之间的线性关系,使用参考体模计算出理论骨密度以进行患者间的横向比较[22],该方法最初用于脊柱外科,其在口腔领域的应用还有待进一步探索。

3.2 上颌窦黏膜完整性对成骨的影响

本研究纳入的病例均在术中进行了上颌窦黏膜提升,手术过程中有部分黏膜意外穿孔。关于上颌窦黏膜是否参与上颌窦底提升术后的成骨仍存在争议,现有研究表明,上颌窦黏膜中存在骨母细胞和相关成骨因子[23],但上颌窦底提升术后的成骨总是从窦底骨壁开始,而与上颌窦黏膜直接接触的区域并未见到新骨形成[24]。有学者认为上颌窦黏膜可能是成骨因子的次要来源,其主要作用是在上颌窦内形成一个封闭空间以促使血凝块形成新骨[19]
保持上颌窦黏膜的完整性以维持成骨空间的密闭性,对成骨效果可能有促进作用。但本研究结果显示,穿颧种植术中上颌窦黏膜意外穿孔并未影响成骨,可能原因是本研究中对较大的黏膜穿孔均尝试进行修补,加之黏膜自身的折叠趋势将穿孔位置部分封闭[25];另一种推测是由于上颌窦开窗处与外界相通,部分种植体螺纹也可暴露于上颌窦外侧[11],窦内成骨空间本身并不是完全封闭的,额外的黏膜穿孔不会对成骨空间的开放性造成明显影响。尽管上颌窦黏膜完整性可能不是成骨的决定因素,但完整的黏膜可避免血液和组织液进入窦腔,减少口腔上颌窦交通和慢性上颌窦炎的风险,因此术中尽量保持上颌窦黏膜的完整性仍有积极意义[26]

3.3 上颌窦形态对成骨的影响

在常规上颌窦底提升术中,上颌窦颊腭向宽度与新骨形成百分比呈负相关,即窄型上颌窦更有利于成骨[27]。但关于宽度测量及分型方法尚无临床共识,多数医师倾向于以距离牙槽嵴顶10 mm为基准测量颊侧和腭侧骨壁之间的距离,也有研究认为应纳入多个高度位点以测量多个宽度值[28]。本研究采用前一种方法,并以Spinato等[16]提出的阈值将上颌窦分为宽型和窄型两类,结果显示宽型上颌窦和窄型上颌窦的成骨量差异无统计学意义,但锥形上颌窦形态较卵圆形有更多的成骨。
实际上,上颌窦宽窄对成骨效果的影响本质上取决于暴露骨壁的面积大小[27]。传统上颌窦底提升手术对颊侧及腭侧黏膜均进行了充分剥离,窄型上颌窦使骨移植材料有更充分的血液和成骨细胞接触[29];而穿颧种植中黏膜只需避让种植体穿行路径,仅在窦底和颊侧得到剥离,腭侧骨壁未能有效暴露,且穿颧种植体为倾斜植入,位置更偏向颊侧。这些特点可能使穿颧种植的窦底成骨受上颌窦颊侧壁的角度影响较大,而受窦底宽度影响相对较小。
本研究的局限性在于使用的CBCT分辨率为0.25 mm,加之可能的金属伪影干扰,种植体周围较薄的成骨难以观测,研究测量的AOH可能低于实际值。另一个局限性是无法利用现有CBCT获得剩余牙槽骨的骨密度信息,因此未评估骨密度对成骨效果的影响,未来可尝试利用定量CT技术进行进一步的测量和分析。
尽管存在上述限制条件,本研究仍可得出以下结论:对于穿行上颌窦的穿颧种植体,植入1年后上颌窦底可有成骨影像,且较大的RBH和锥形上颌窦形态是成骨的有利因素。

利益冲突  所有作者均声明不存在利益冲突。

作者贡献声明  于子杨:提出研究思路、设计研究方案、撰写论文;郭厚佐:设计研究方案、收集数据;蒋析:收集、整理数据;韩玮华:收集、分析数据;林野:总体把关和审定论文;所有作者均对最终文稿进行审读并确认。

1
Tavelli C, Tedesco A. Survival and complication rate of zygomatic implants: A systematic review[J/OL]. J Oral Implantol (2022-12-06) [2023-01-24]. doi: 10.1563/aaid-joi-D-22-00008.

2
Brånemark PI , Svensson B , van Steenberghe D . Ten-year survival rates of fixed prostheses on four or six implants ad modum Brånemark in full edentulism[J]. Clin Oral Implants Res, 1995, 6 (4): 227- 231.

DOI

3
Higuchi KW . The zygomaticus fixture: An alternative approach for implant anchorage in the posterior maxilla[J]. Ann R Australas Coll Dent Surg, 2000, 15, 28- 33.

4
Goker F , Grecchi F , Grecchi E , et al. Clinical outcomes of fully and partially threaded zygomatic implants in a cohort of patients with minimum 7.5-year follow-up[J]. Eur Rev Med Pharmacol Sci, 2022, 26 (Suppl 3): 35- 44.

5
Vrielinck L , Moreno-Rabie C , Coucke W , et al. Retrospective cohort assessment of survival and complications of zygomatic implants in atrophic maxillae[J]. Clin Oral Implants Res, 2023, 34 (2): 148- 156.

DOI

6
Petrungaro PS , Gonzales S , Villegas C , et al. A retrospective study of a multi-center case series of 452 zygomatic implants placed over 5 years for treatment of severe maxillary atrophy[J]. Compend Contin Educ Dent, 2020, 41 (4): 232- 241.

7
周国辉. 穿颧骨植体在无牙上颌的应用[J]. 中国口腔种植学杂志, 2009, 14 (2): 28- 29.

8
Freedman M , Ring M , Stassen LA . Effect of alveolar bone support on zygomatic implants: A finite element analysis study[J]. Int J Oral Maxillofac Surg, 2013, 42 (5): 671- 676.

DOI

9
Freedman M , Ring M , Stassen LA . Effect of alveolar bone support on zygomatic implants in an extra-sinus position—a finite element analysis study[J]. Int J Oral Maxillofac Surg, 2015, 44 (6): 785- 790.

DOI

10
林柏均, 吕鸣樾, 袁泉. 影响经牙槽嵴顶上颌窦底提升术成骨效果的解剖因素分析[J]. 口腔医学, 2022, 42 (3): 193- 199.

11
Aparicio C . A proposed classification for zygomatic implant patient based on the zygoma anatomy guided approach (ZAGA): A cross-sectional survey[J]. Eur J Oral Implantol, 2011, 4 (3): 269- 275.

12
Bedrossian E , Sullivan RM , Fortin Y , et al. Fixed-prosthetic implant restoration of the edentulous maxilla: A systematic pretreatment evaluation method[J]. J Oral Maxillofac Surg, 2008, 66 (1): 112- 122.

DOI

13
Aparicio C , López-Piriz R , Albrektsson T . ORIS criteria of success for the zygoma-related rehabilitation: The (revisited) zygoma success code[J]. Int J Oral Maxillofac Implants, 2020, 35 (2): 366- 378.

DOI

14
Avila G , Wang HL , Galindo-Moreno P , et al. The influence of the bucco-palatal distance on sinus augmentation outcomes[J]. J Periodontol, 2010, 81 (7): 1041- 1050.

DOI

15
Soardi CM , Spinato S , Zaffe D , et al. Atrophic maxillary floor augmentation by mineralized human bone allograft in sinuses of different size: An histologic and histomorphometric analysis[J]. Clin Oral Implants Res, 2011, 22 (5): 560- 566.

DOI

16
Spinato S , Bernardello F , Galindo-Moreno P , et al. Maxillary sinus augmentation by crestal access: A retrospective study on cavity size and outcome correlation[J]. Clin Oral Implants Res, 2015, 26 (12): 1375- 1382.

DOI

17
Niu L , Wang J , Yu H , et al. New classification of maxillary sinus contours and its relation to sinus floor elevation surgery[J]. Clin Implant Dent Relat Res, 2018, 20 (4): 493- 500.

DOI

18
Stacchi C , Rapani A , Lombardi T , et al. Does new bone formation vary in different sites within the same maxillary sinus after lateral augmentation? A prospective histomorphometric study[J]. Clin Oral Implants Res, 2022, 33 (3): 322- 332.

DOI

19
Lie SN , Claessen RA , Leung CW , et al. Non-grafted versus grafted sinus lift procedures for implantation in the atrophic maxilla: A systematic review and meta-analysis of randomized controlled trials[J]. Int J Oral Maxillofac Surg, 2022, 51 (1): 122- 132.

DOI

20
Rues S , Schmitter M , Kappel S , et al. Effect of bone quality and quantity on the primary stability of dental implants in a simulated bicortical placement[J]. Clin Oral Investig, 2021, 25 (3): 1265- 1272.

DOI

21
Danesh-Sani SA , Engebretson SP , Janal MN . Histomorphometric results of different grafting materials and effect of healing time on bone maturation after sinus floor augmentation: A systematic review and meta-analysis[J]. J Periodontal Res, 2017, 52 (3): 301- 312.

DOI

22
Seike T , Hashimoto I , Matsumoto K , et al. Early postoperative evaluation of secondary bone grafting into the alveolar cleft and its effects on subsequent orthodontic treatment[J]. J Med Invest, 2012, 59 (1/2): 152- 165.

23
Dragonas P , Katsaros T , Schiavo J , et al. Osteogenic capacity of the sinus membrane following maxillary sinus augmentation procedures: A systematic review[J]. Int J Oral Implantol (Berl), 2020, 13 (3): 213- 232.

24
Jungner M , Cricchio G , Salata LA , et al. On the early mechanisms of bone formation after maxillary sinus membrane elevation: An experimental histological and immunohistochemical study[J]. Clin Implant Dent Relat Res, 2015, 17 (6): 1092- 1102.

DOI

25
Hernández-Alfaro F , Torradeflot MM , Marti C . Prevalence and management of Schneiderian membrane perforations during sinus-lift procedures[J]. Clin Oral Implants Res, 2008, 19 (1): 91- 98.

DOI

26
林野. 上颌窦植骨与种植[M]. 北京: 北京大学医学出版社, 2020: 205.

27
Lombardi T , Stacchi C , Berton F , et al. Influence of maxillary sinus width on new bone formation after transcrestal sinus floor elevation: A proof-of-concept prospective cohort study[J]. Implant Dent, 2017, 26 (2): 209- 216.

DOI

28
Zheng X , Teng M , Zhou F , et al. Influence of maxillary sinus width on transcrestal sinus augmentation outcomes: Radiographic evaluation based on cone beam CT[J]. Clin Implant Dent Relat Res, 2016, 18 (2): 292- 300.

DOI

29
郑小菲, 莫安春, 朱娟芳, 等. 上颌窦解剖因素对经牙槽嵴顶上颌窦底提升术成骨效果的影响[J]. 华西口腔医学杂志, 2020, 38 (6): 652- 656.

Outlines

/