Journal of Peking University (Health Sciences) ›› 2025, Vol. 57 ›› Issue (4): 676-683. doi: 10.19723/j.issn.1671-167X.2025.04.008

Previous Articles     Next Articles

Efficacy of rigid ureteroscopic laser lithotripsy combined with N-trap in the treatment of ureteral stones with a maximum diameter equal to or greater than 1.5 cm

Jinghui JI, Xiushi LIN, Dameng PAN, Zhiying WU, Zixuan XUE, Xiaojun TIAN, Shudong ZHANG, Binshuai WANG*(), Min QIU*()   

  1. Department of Urology, Peking University Third Hospital, Beijing 100191, China
  • Received:2025-02-24 Online:2025-08-18 Published:2025-08-02
  • Contact: Binshuai WANG, Min QIU
  • Supported by:
    the Peking University Third Hospital Clinical Key Project(BYSY2022059); Peking University Third Hospital Innovation Transformation Fund(BYSYCY2024046); Beijing Health Promotion Association Project(A76475)

RICH HTML

  

Abstract:

Objective: To investigate the efficacy of rigid ureteroscopic laser lithotripsy combined with N-trap (RULL + N-trap), which is scoop-shaped, in the treatment of ureteral stones with a maximum diameter ≥ 1.5 cm. Methods: This retrospective cohort study included patients diagnosed with ureteral calculi who underwent rigid ureteroscopic lithotripsy (RULL) combined with N-Trap stone entrapment system at the Department of Urology, Peking University Third Hospital, by the same surgical team between June 2021 and September 2024. A total of 364 patients were initially enrolled. After excluding 21 patients due to missing critical outcome variables, two distinct cohorts were established: 38 patients with ureteral stones measuring ≥1.5 cm in maximum diameter, and 305 patients with stones < 1.5 cm in maximum diameter. To minimize selection bias and control for confounding variables, propensity score matching (PSM) was employed. This resulted in two well-balanced groups: 31 patients with stones ≥1.5 cm in maximum diameter and 31 patients with stones < 1.5 cm in maximum diameter, matched on baseline demographic and clinical characteristics. The primary outcomes assessed between the two groups included stone clearance. Secondary outcomes included changes in renal function indicators, specifically serum creatinine (SCr) and estimated glomerular filtration rate (GFR), and other factors like postoperative hospital stay and operative time. Results: In the matched cohort, the patients with stones ≥1.5 cm in maximum diameter had significantly longer operative time compared with those with smaller stones: (85.8±28.8) min vs. (62.4±24.6) min (P < 0.05). Postoperative length of hospital stay showed no significant difference: (2.26±1.79) d vs. (2.03 ± 0.80) d (P>0.05). The stone clearance on postoperative day one was 90.3% in the study group vs. 100.0% in the control group (P>0.05). One month postoperatively, the stone clearance was 93.5% vs. 100.0%, respectively (P>0.05). Changes in SCr were (-6.58±16.10) μmol/L vs. (-13.70±12.50) μmol/L, and changes in GFR were (5.92±14.90) mL/(min·1.73 m2) vs. (7.47±11.20) mL/(min·1.73 m2), with no statistically significant differences observed between the two groups for either renal function marker (P > 0.05). Conclusion: Ureteroscopic lithotripsy combined with N-trap is an optional method for treating ureteral stones with a maximum diameter ≥1.5 cm. The overall therapeutic efficacy is comparable, with the added benefit of significantly reducing the economic burden on patients.

Key words: Rigid ureteroscopic laser lithotripsy, N-trap, Urolithiasis

CLC Number: 

  • R693.4

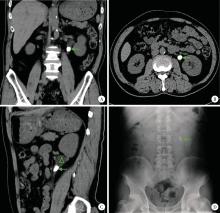
Figure 1

Imaging characteristics of urolithiasis with largest diameter ≥ 1.5 cm A, coronal CT image, with the arrow indicating the left ureteral calculus, measuring greater than 1.5 cm in length; B, axial CT image, where the arrow marks the location of the calculus; C, sagittal CT image, with the arrow identifying the calculus; notable hydronephrosis due to ureteral obstruction is observed above the calculus (indicated by the triangle); D, the kidneys, ureters, and bladders appearance of a ureteral calculus with a maximum dia-meter of ≥1.5 cm, highlighted by the arrow."

Table 1

Baseline statistics of patients before match"

Items Urolithiasis patients with largest diameter ≥ 1.5 cm (n=38) Urolithiasis patients with largest diameter < 1.5 cm (n=305) P value
Age/years, M (Min, Max) 48.0 (19.0, 73.0) 48.0 (21.0, 78.0) 0.659
Gender, n(%) 0.398
  Male 7 (18.4) 80 (26.2)
  Female 31 (81.6) 225 (73.8)
BMI/(kg/m2), M (Min, Max) 24.8 (17.9, 32.7) 25.6 (17.4, 38.8)b 0.331
Preoperative SCr/(μmol/L), M (Min, Max) 97.5 (70.0, 190.0) 85.0 (47.0, 237.0) 0.001
Preoperative GFR /[mL/(min·1.73 m2)], M (Min, Max) 87.0 (44.0, 114.0) 94.9 (31.0, 143.0) 0.020
Distance/mma, M (Min, Max) 17.5 (0.0, 181.0) 59.0 (0.0, 244.0)c < 0.001
CT value of stones/HU, M (Min, Max) 1 120 (424, 1 660) 800 (116, 1 780)c < 0.001

Figure 2

Photograph in RULL + N-trap The blue, green, yellow and black arrow respectively points at the calculus, the N-trap, the dual-flex guidewire and the wall of ureter. RULL + N-trap, rigid ureteroscopic laser lithotripsy combined with N-trap."

Table 2

Logistic regression analysis of factors affecting stone clearance on 1 d after surgery"

Variables B Standard error Wald df P value Exp(B) 95% CI for Exp(B)
Gender 0.305 0.400 0.761 1 0.446 1.356 0.574 - 3.215
Age -0.014 0.016 0.922 1 0.357 0.986 0.957 - 1.017
Preoperative SCr -0.014 0.009 1.481 1 0.139 0.987 0.969 - 1.005
Preoperative GFR -0.013 0.014 0.898 1 0.369 0.987 0.960 - 1.015
Diameter of stone -0.004 0.036 0.118 1 0.906 0.996 0.931 - 1.066
CT value of stones -0.001 0.001 1.837 1 0.066 0.999 0.999 - 1.000
Constant 5.421 2.523 2.149 1 0.032 224.801

Table 3

Logistic regression analysis of factors affecting stone clearance on 1 month after surgery"

Variables B Standard error Wald df P value Exp(B) 95% CI for Exp(B)
Gender 0.514 0.393 1.313 1 0.189 1.671 0.758 - 3.672
Age -0.029 0.016 1.847 1 0.065 0.971 0.936 - 1.008
Preoperative SCr -0.019 0.009 5.493 1 0.032 0.981 0.963 - 0.999
Preoperative GFR -0.025 0.014 3.031 1 0.081 0.976 0.948 - 1.004
Diameter of Stone -0.003 0.004 0.066 1 0.947 0.998 0.992 - 1.005
CT value of stones 0.000 0.000 0.002 1 0.958 1.000 0.999 - 1.000
Constant 6.837 2.504 2.730 1 0.006 9.307

Table 4

Baseline statistics of patients after match"

Items Urolithiasis patients with largest diameter ≥ 1.5 cm (n=31) Urolithiasis patients with largest diameter < 1.5 cm (n=31) P value
Age/years, M (Min, Max) 47.0 (19.0, 73.0) 38.0 (22.0, 72.0) 0.292
Gender, n(%) 1.000
  Male 26 (83.9) 26 (83.9)
  Female 5 (16.1) 5 (16.1)
BMI/(kg/m2), ${\bar x}$±s 25.00 ± 2.64 24.70 ± 2.59 0.688
Preoperative SCr/(μmol/L), M (Min, Max) 91.0 (70.0, 158.0) 93.0 (53.0, 156.0) 0.844
Preoperative GFR /[mL/(min·1.73 m2)], M (Min, Max) 88.3 (44.0, 114.0) 97.3 (40.0, 143.0) 0.130
Distance/mma, M (Min, Max) 17 (0, 181) 25.0 (0, 189) 0.773
CT value of stones/HU, ${\bar x}$±s 1 140 ± 330 910 ± 291 0.005

Table 5

Baseline statistics of urolithiasis patients with largest diameters≥1.5 cm matched and not matched"

Items Urolithiasis patients with largest diameter ≥ 1.5 cm not matched (n=7) Urolithiasis patients with largest diameter ≥ 1.5 cm matched (n=31) P value
Age/years, ${\bar x}$±s 50.3 ± 13.7 48.8 ± 13.6 0.706
Gender, n(%) 0.820
  Male 2 (28.6) 26 (83.9)
  Female 5 (71.4) 5 (16.1)
BMI/(kg/m2), ${\bar x}$±s 24.90 ± 2.88 25.00 ± 2.64 0.825
Preoperative SCr/(μmol/L), M (Min, Max) 116.0 (74.0, 190.0) 91.0 (70.0, 158.0) 0.057
Preoperative GFR/[mL/(min·1.73 m2)], ${\bar x}$±s 81.3 ± 11.1 86.2 ± 19.6 0.228
Distance/mma, M (Min, Max) 18.0 (0.0, 57.8) 17.0 (0.0, 181.0) 0.865
CT value of stones/HU, ${\bar x}$±s 850 ± 371 1 140 ± 330 0.060

Table 6

Baseline statistics of urolithiasis patients with largest diameters < 1.5 cm matched and not matched"

Items Urolithiasis patients with largest diameter < 1.5 cm not matched (n=274) Urolithiasis patients with largest diameter < 1.5 cm matched (n=31) P value
Age/years, M (Min, Max) 48.0 (21.0, 78.0) 38.0 (22.0, 72.0) 0.150
Gender, n(%) 0.253
  Male 75 (27.5) 26 (83.9)
  Female 199 (72.6) 5 (16.1)
BMI/(kg/m2), M (Min, Max) 25.6 (17.4, 38.8)b 24.7 (18.0, 30.8) 0.121
Preoperative SCr/(μmol/L), M (Min, Max) 84.0 (47.0, 237.0) 93.0 (53.0, 156.0) 0.069
Preoperative GFR/[mL/(min·1.73 m2)], M (Min, Max) 94.5 (31.0, 142.0) 97.3 (40.0, 143.0) 0.669
Distance/mma, M (Min, Max) 68.0 (0.0, 244.0)c 25.0 (0.0, 189.0) < 0.001
CT value of stones/HU, M (Min, Max) 790 (116, 1 780)c 950 (348, 1 510) 0.113

Figure 3

KUB after RULL + N-trap A, KUB finished on 1 d after RULL + N-trap; B, KUB finished in 1 month after RULL + N-trap. KUB, kidneys, ureters and bladders; RULL + N-trap, rigid ureteroscopic laser lithotripsy combined with N-trap."

Table 7

RULL + N-trap outcomes of cases after matching"

Items Urolithiasis patients with largest diameter ≥1.5 cm (n=31) Urolithiasis patients with largest diameter < 1.5 cm (n=31) P value
Largest diameter of stone/mma, M (Min, Max) 17.0 (15.0, 27.1) 10.8 (4.0, 14.0) < 0.001
ΔSCr/(μmol/L)b, ±s -6.58 ± 16.10 -13.70 ± 12.50 0.149
ΔGFR/[mL/(min·1.73 m2)]c, ±s 5.92 ± 14.90 7.47 ± 11.20 0.508
Hospitalization after surgery/d, ±s 2.26 ± 1.79 2.03 ± 0.80 0.927
Operating time/min, ±s 85.8 ± 28.8 62.4 ± 24.6 0.001
Stone clearance 1 d, n(%) 0.237
  Success 28 (90.3) 31 (100.0)
  Fail 3 (9.7) 0 (0.0)
Stone clearance 1 month, n(%) 0.472
  Success 29 (93.5) 31 (100.0)
  Fail 2 (6.5) 0 (0.0)

Table 8

Stone clearance on 1 d after RULL + N-trap"

Items Total Success, n(%) Fail, n(%) χ2 P
Urolithiasis patients with largest diameter ≥1.5 cm 31 28 (90.3) 3 (9.7) 1.401 0.237
Urolithiasis patients with largest diameter < 1.5 cm 31 31 (100.0) 0 (0.0)

Table 9

Stone clearance on 1 month after RULL + N-trap"

Items Total Success, n(%) Fail, n(%) χ2 P
Urolithiasis patients with largest diameter ≥1.5 cm 31 29 (93.5) 2 (6.5) 0.517 0.472
Urolithiasis patients with largest diameter < 1.5 cm 31 31 (100.0) 0 (0.0)
1
Sorokin I, Mamoulakis C, Miyazawa K, et al. Epidemiology of stone disease across the world[J]. World J Urol, 2017, 35(9): 1301- 1320.
2
Li Y, Duan X, Wan S, et al. Association analysis of dry heat or wet cold weather and the risk of urolithiasis hospitalization in a southern Chinese city[J]. Sci Rep, 2025, 15(1): 1651.
3
任健超, 张叶飞, 刘彦斌, 等. 国产康多内镜机器人辅助腹腔镜输尿管切开取石术1例[J]. 泌尿外科杂志(电子版), 2025, 17(1): 98- 101.
4
叶海云, 许清泉, 马凯, 等. 内镜治疗的输尿管结石患者治疗前结石位置和输尿管扩张特点分析[J]. 北京大学学报(医学版), 2017, 49(4): 622- 625.

doi: 10.3969/j.issn.1671-167X.2017.04.013
5
邱敏, 宗亚楠, 邓绍晖, 等. 勺状阻石篮在处理输尿管中上段结石中的应用[J]. 中国微创外科杂志, 2020, 20(12): 1114- 1117.

doi: 10.3969/j.issn.1009-6604.2020.12.012
6
Lucarelli G, Ditonno P, Bettocchi C, et al. Delayed relief of ureteral obstruction is implicated in the long-term development of renal damage and arterial hypertension in patients with unilateral ureteral injury[J]. J Urol, 2013, 189(3): 960- 965.
7
张大坤, 张洪波, 董德鑫, 等. 上尿路结石行输尿管镜碎石术后尿源性脓毒血症的早期诊治[J]. 首都医科大学学报, 2024, 45(5): 870- 874.

doi: 10.3969/j.issn.1006-7795.2024.05.019
8
Devos B, Vanderbruggen W, Claessens M, et al. Risk factors of early infectious complications after ureterorenoscopy for stone disease: A prospective study[J]. World J Urol, 2024, 42(1): 277.
9
侯飞飞, 刘齐贵, 赵谦. 输尿管软镜碎石术中肾盂内压力的监控及意义[J]. 中国微创外科杂志, 2018, 18(1): 75- 77.
10
Chugh S, Pietropaolo A, Montanari E, et al. Predictors of urinary infections and urosepsis after ureteroscopy for stone disease: A systematic review from EAU section of urolithiasis (EULIS)[J]. Curr Urol Rep, 2020, 21(4): 16.
11
王磊, 韩天栋, 江卫星, 等. 主动迁移技术与原位碎石技术在输尿管软镜治疗1~2 cm输尿管上段结石中的安全性和有效性比较[J]. 北京大学学报(医学版), 2023, 55(3): 553- 557.

doi: 10.19723/j.issn.1671-167X.2023.03.024
12
刘年, 李杰, 朱鑫, 等. 经皮肾镜与输尿管镜治疗输尿管上段直径>1.5 cm结石的疗效比较分析[J]. 临床泌尿外科杂志, 2017, 32(8): 631- 634.
13
丁鹏照, 黄勇. 输尿管软镜碎石术与腹腔镜输尿管切开取石术在输尿管上段嵌顿性结石中的应用[J]. 中国医学创新, 2025, 22(1): 56- 60.
14
仲委. 输尿管镜钬激光碎石术与后腹腔镜输尿管切开取石术治疗输尿管中上段结石的疗效比较[J]. 中国现代药物应用, 2024, 18(20): 35- 37.
15
Kreydin EI, Eisner BH. Risk factors for sepsis after percutaneous renal stone surgery[J]. Nat Rev Urol, 2013, 10(10): 598- 605.
16
Morgan K, Possoit H, Conelly Z, et al. Predicting failed access in unstented ureteroscopy[J]. Urolithiasis, 2023, 51(1): 41.
17
周兰芳, 温馨, 熊先琪. 基于LASSO-Logistic回归建立输尿管结石患者术后并发输尿管狭窄的预测模型[J]. 现代实用医学, 2024, 36(12): 1558- 1562.
18
陈思鹭, 王海菊, 吴宇财, 等. 成人肾积水病因分析: 一项单中心横断面研究[J]. 北京大学学报(医学版), 2024, 56(5): 913- 918.

doi: 10.19723/j.issn.1671-167X.2024.05.025
[1] LIU Yu-qing, LU Jian, HAO Yi-chang, XIAO Chun-lei, MA Lu-lin. Predicting model based on risk factors for urosepsis after percutaneous nephrolithotomy [J]. Journal of Peking University(Health Sciences), 2018, 50(3): 507-513.
[2] YU Lu-ping, XU Tao. Analysis of development, safety and efficacy of percutaneous nephrolithotomy for management of upper urinary tract calculi in pediatric patients [J]. Journal of Peking University(Health Sciences), 2017, 49(4): 626-631.
Viewed
Full text


Abstract

Cited

  Shared   
  Discussed   
No Suggested Reading articles found!