Journal of Peking University (Health Sciences) ›› 2026, Vol. 58 ›› Issue (1): 153-159. doi: 10.19723/j.issn.1671-167X.2026.01.020

Previous Articles     Next Articles

Demographic characteristic and clinical features in 1 812 patients with salivary gland stones

Yuting YANG, Liuyang QU, Danni ZHENG, Xiaotong LING, Xiaoyun XU, Denggao LIU*()   

  1. Department of Oral and Maxillofacial Radiology, Peking University School and Hospital of Stomatology & National Center for Stomatology & National Clinical Research Center for Oral Diseases & National Engineering Research Center of Oral Biomaterials and Digital Medical Devices & Beijing Key Laboratory of Digital Stomatology & NHC Key Laboratory of Digital Stomatology & NMPA Key Laboratory for Dental Materials, Beijing 100081, China
  • Received:2025-07-22 Online:2026-02-18 Published:2025-11-28
  • Contact: Denggao LIU

RICH HTML

  

Abstract:

Objective: To analyze the demographic and clinical features of sialolithiasis based on a large sample size. Methods: Clinical and imaging data of patients with sialolithiasis treated at the Sialendoscopy Center of Peking University School and Hospital of Stomatology from January 2020 to December 2024 were retrospectively collected. Patient demographics, disease duration, and affected glands were recorded. Moreover, the number, size, location, and long-to-short diameter ratio of the stones were mea-sured. Results: A total of 1 812 patients with salivary gland stones were collected, including 855 males and 957 females. The age range was 4 to 97 years [mean: (39.0±15.0) years] with a median disease duration of 6.0 months (interquartile range: 1.0-24.0). Most stones involved unilateral glands (98.4%), and 64.2% of the affected glands had a single stone. The stone size averaged at a diameter of (6.5±4.6) mm. The cases included 1 541 cases with submandibular gland (SMG) stones (85.0%), 267 cases with parotid gland (PG) stones (14.7%), and 4 cases affecting both SMG and PG. The SMG stones were mostly located in the extra-glandular main duct (50.2%), followed by the hilum (41.5%), and only 8.2% of them were in the intra-glandular area. The majority of PG stones (75.2%) were in the extra-glandular main duct. The average diameter of SMG stones was significantly larger than that of PG stones [(6.9±4.8) mm vs. (4.5±2.5) mm]. The average age of SMG patients was younger than that of PG patients [(38.0±15.0) years vs. (48.0±16.0) years]. There was no significant difference in recurrence rate between PG and SMG stones (3.4% vs. 2.1%). The recurrence intervals ranged from 2 months to 10 years, with an average of (33.8±31.4) months. In 21 patients (1.2%), the stones originated from foreign body calcification, which accounted for 0.6% (9/1 541) of SMG cases and 4.5% (12/267) of PG cases. Conclusion: Among the cases analyzed, sialolithiasis was the most common in middle-aged individuals, with no significant gender difference. Unilateral gland involvement was the most frequent, and 2/3 of the cases had a single stone. Significant differences were observed in the location, size, and patient age between SMG and PG stones. The recurrence rate of sialolithiasis was relatively low. Stones originated from foreign body calcification was occasionally seen. Understanding of these demographic and clinical characteristics provided a basis for clarifying the pathogenesis of sialolithiasis and optimizing the diagnostic and therapeutic strategies.

Key words: Salivary gland calculi, Parotid gland, Submandibular gland, Imaging characteristics

CLC Number: 

  • R781.75

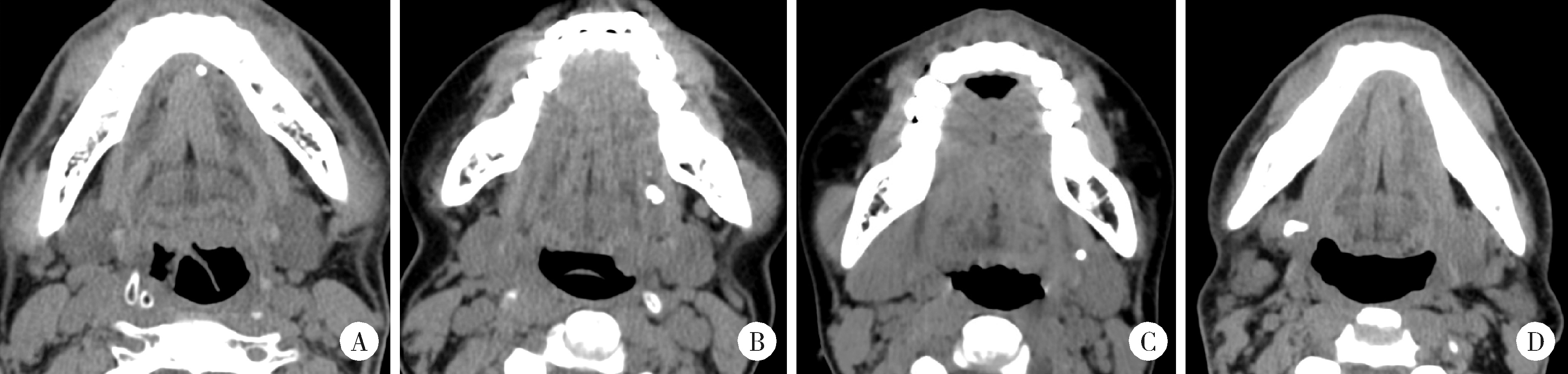
Figure 1

Axial images of spiral CT showing the calculi in the parotid duct system A, calculus in the anterior segment of the left parotid duct; B, calculus in the middle segment of the right parotid duct; C, calculus at the hilum region of the right parotid duct; D, intraglandular calculus of the left parotid gland."

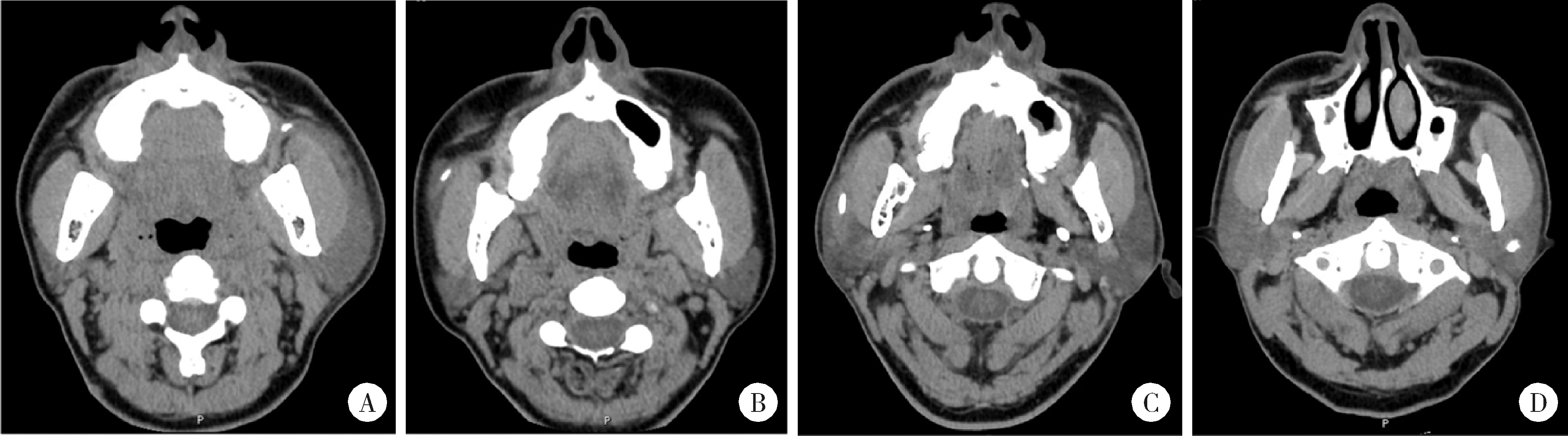
Figure 2

Axial images of spiral CT showing the calculi of the submandibular gland A, calculus in the anterior segment of the left submandibular gland duct; B, calculus in the middle segment of the left submandibular gland duct; C, calculus at the hilum region of the left submandibular gland; D, intraglandular calculus of the right submandibular gland."

Table 1

Clinical features of 1 808 patients with sialolithiasis"

Items Total (n=1 808)a Type of affected glandsP value
SMG PG
Number 1 808 1 541 267
Gender, n (%) 0.628
  Male 854 (47.2) 732 (47.5) 122 (45.7)
  Female 954 (52.8) 809 (52.5) 145 (54.3)
Age/years, $\bar x \pm s$ 39.0±15.0 38.0±15.0 48.0±16.0 <0.001
Duration of symptoms/month, M (P25, P75) 6.0 (1.0, 24.0) 6.0 (1.0, 24.0) 4.3 (1.0, 24.0) 0.302
Unilateral/Bilateral, n (%) 0.327
  Left 844 (46.7) 724 (47.0) 120 (44.9)
  Right 935 (51.7) 795 (51.6) 140 (52.4)
  Bilateral 29 (1.6) 22 (1.4) 7 (2.6)
Quantity, n (%) 0.062
  Single 1 162 (64.3) 974 (63.2) 188 (70.4)
  Multiple 621 (34.3) 545 (35.4) 76 (28.4)
  Recurrent 25 (1.4) 22 (1.4) 3 (1.1)
Location, n (%) <0.001
  Anterior duct 581 (32.1) 460 (29.8) 121 (45.3)
  Mid duct 394 (21.8) 315 (20.4) 79 (29.6)
  Glandular hilum 669 (37.0) 639 (41.5) 30 (11.2)
  Intraparenchymal 164 (9.1) 127 (8.2) 37 (13.9)
Mean maximum diameter/mm, $\bar x \pm s$ 6.5±4.6 6.9±4.8 4.5±2.5 <0.001
Long-to-short diameter ratio, $\bar x \pm s$ 1.6±1.0 1.6±0.9 1.7±1.1 0.007

Figure 3

Age distribution of 1 812 patients with sialolithiasis"

Figure 4

Distribution of the maximum diameters of the main calculi in 1 808 patients Lustmann classification: Ⅰ, 1-5 mm; Ⅱ, 6-10 mm; Ⅲ, 11-15 mm; Ⅳ, >15 mm. SMG, submandibular gland; PG, parotid gland."

Figure 5

Size of stones at different locations within the duct systems of submandibular and parotid glands (n=1 808) SMG, submandibular gland; PG, parotid gland."

1
Laforgia PD , Favia GF , Chiaravalle N , et al. Clinico-statistical, morphologic and microstructural analysis of 400 cases of sialolithiasis[J]. Minerva Stomatol, 1989, 38 (12): 1329- 1336.
2
Lustmann J , Regev E , Melamed Y . Sialolithiasis: A survey on 245 patients and a review of the literature[J]. Int J Oral Maxillofac Surg, 1990, 19 (3): 135- 138.

doi: 10.1016/S0901-5027(05)80127-4
3
Escudier MP , McGurk M . Symptomatic sialoadenitis and sialoli-thiasis in the English population, an estimate of the cost of hospital treatment[J]. Br Dent J, 1999, 186 (9): 463- 466.

doi: 10.1038/sj.bdj.4800141a
4
Nahlieli O , Eliav E , Hasson O , et al. Pediatric sialolithiasis[J]. Oral Surg Oral Med Oral Pathol Oral Radiol Endod, 2000, 90 (6): 709- 712.

doi: 10.1067/moe.2000.109075a
5
Williams MF . Sialolithiasis[J]. Otolaryngol Clin N Am, 1999, 32 (5): 819- 834.

doi: 10.1016/S0030-6665(05)70175-4
6
Kraaij S , Karagozoglu KH , Forouzanfar T , et al. Salivary stones: Symptoms, aetiology, biochemical composition and treatment[J]. Br Dent J, 2014, 217 (11): E23.

doi: 10.1038/sj.bdj.2014.1054
7
Zheng DN , Zhao YN , Zhang LQ , et al. Comparison of two transcutaneous approaches for the removal of impacted parotid stones[J]. Int J Oral Maxillofac Surg, 2023, 52 (6): 663- 669.

doi: 10.1016/j.ijom.2022.10.007
8
Zhao YN , Zheng DN , Qu LY , et al. Removal of intraglandular calculi in Wharton ' s duct: Clinical outcome and treatment algorithm[J]. Int J Oral Maxillofac Surg, 2024, 53 (5): 382- 388.

doi: 10.1016/j.ijom.2023.12.001
9
Levy DM , Remine WH , Devine KD . Salivary gland calculi. Pain, swelling associated with eating[J]. JAMA, 1962, 181, 1115- 1119.

doi: 10.1001/jama.1962.03050390017005
10
van den Akker HP , Busemann-Sokole E . Submandibular gland function following transoral sialolithectomy[J]. Oral Surg Oral Med Oral Pathol, 1983, 56 (4): 351- 356.

doi: 10.1016/0030-4220(83)90341-9
11
Sigismund PE , Zenk J , Koch M , et al. Nearly 3, 000 salivary stones: Some clinical and epidemiologic aspects[J]. Laryngoscope, 2015, 125 (8): 1879- 1882.

doi: 10.1002/lary.25377
12
Stimec B , Nikolic S , Rakocevic Z , et al. Symmetry of the submandibular glands in humans: A postmortem study assessing the linear morphometric parameters[J]. Oral Surg Oral Med Oral Pathol Oral Radiol Endod, 2006, 102 (3): 391- 394.

doi: 10.1016/j.tripleo.2005.10.063
13
McGurk M , Escudier MP , Brown JE . Modern management of salivary calculi[J]. Br J Surg, 2005, 92 (1): 107- 112.

doi: 10.1002/bjs.4789
14
Zenk J , Constantinidis J , Kydles S , et al. Clinical and diagnostic findings of sialolithiasis[J]. HNO, 1999, 47 (11): 963- 969.

doi: 10.1007/s001060050476
15
Zenk J , Koch M , Klintworth N , et al. Sialendoscopy in the diagnosis and treatment of sialolithiasis: A study on more than 1000 patients[J]. Otolaryngol Head Neck Surg, 2012, 147 (5): 858- 863.

doi: 10.1177/0194599812452837
16
Harrison JD . Causes, natural history, and incidence of salivary stones and obstructions[J]. Otolaryngol Clin North Am, 2009, 42 (6): 927- 947.

doi: 10.1016/j.otc.2009.08.012
17
McGurk M , Escudier MP , Brown E . Modern management of obstructive salivary gland disease[J]. Ann R Australas Coll Dent Surg, 2004, 17, 45- 50.
18
Resende EA , Gomes NR , Abreu LG , et al. The applicability of ultrasound in the diagnosis of inflammatory and obstructive diseases of the major salivary glands: A scoping review[J]. Dentomaxillofac Radiol, 2022, 51 (4): 20210361.

doi: 10.1259/dmfr.20210361
19
伊里夏提·卡米力. 颌下腺导管腺门结石形成的解剖学因素研究[D]. 乌鲁木齐: 新疆医科大学, 2014.
20
Sánchez Barrueco A , López-Acevedo Cornejo MV , Alcalá Rueda I , et al. Sialolithiasis: Mineralogical composition, crystalline structure, calculus site, and epidemiological features[J]. Br J Oral Maxillofac Surg, 2022, 60 (10): 1385- 1390.

doi: 10.1016/j.bjoms.2022.08.005
21
Teymoortash A , Buck P , Jepsen H , et al. Sialolith crystals localized intraglandularly and in the Wharton ' s duct of the human submandibular gland: An X-ray diffraction analysis[J]. Arch Oral Biol, 2003, 48 (3): 233- 236.

doi: 10.1016/S0003-9969(02)00211-X
22
Aldelaimi AA , Enezei HH , Aldelaimi TN , et al. Salivary gland diseases: A retrospective clinicopathological study of 159 cases[J]. Cureus, 2022, 14 (9): e29589.
23
Raksin SZ , Gould SM , Williams AC . Submandibular duct sialolith of unusual size and shape[J]. J Oral Surg, 1975, 33 (2): 142- 145.
24
Gupta A , Rattan D , Gupta R . Giant sialoliths of submandibular gland duct: Report of two cases with unusual shape[J]. Contemp Clin Dent, 2013, 4 (1): 78- 80.

doi: 10.4103/0976-237X.111599
25
Harrill JA , King JS Jr , Boyce WH . Structure and composition of salivary calculi[J]. Trans Am Laryngol Rhinol Otol Soc, 1959, 1959, 496- 507.
26
Capaccio P , Torretta S , Ottaviani F , et al. Modern management of obstructive salivary diseases[J]. Acta Otorhinolaryngol Ital, 2007, 27 (4): 161- 172.
27
Marchal F , Kurt AM , Dulguerov P , et al. Retrograde theory in sialolithiasis formation[J]. Arch Otolaryngol Head Neck Surg, 2001, 127 (1): 66- 68.

doi: 10.1001/archotol.127.1.66
28
Gill AS , Kieliszak CR , Joshi AS . Sialendoscopy as a management tool in patients with foreign body impaction of the salivary gland[J]. Am J Otolaryngol, 2016, 37 (4): 369- 371.

doi: 10.1016/j.amjoto.2016.02.008
29
Xie L , Zheng L , Yu C , et al. Foreign body induced sialolithiasis treated by sialoendoscopic intervention[J]. J Craniofac Surg, 2014, 25 (4): 1372- 1375.

doi: 10.1097/SCS.0000000000000851
30
Fabie JE , Kompelli AR , Naylor TM , et al. Gland-preserving surgery for salivary stones and the utility of sialendoscopes[J]. Head Neck, 2019, 41 (5): 1320- 1327.

doi: 10.1002/hed.25560
[1] Yuanyuan YANG, Shanshan ZHANG, Guangyan YU, Huijun YANG, Hongyu YANG. Clinical outcomes of partial sialoadenectomy for the treatment of benign tumors in the submandibular gland [J]. Journal of Peking University (Health Sciences), 2025, 57(2): 334-339.
[2] Deng-gao LIU,Dan-ni ZHENG,Ya-ning ZHAO,Ya-qiong ZHANG,Xin YE,Li-qi ZHANG,Xiao-yan XIE,Lei ZHANG,Zu-yan ZHANG,Guang-yan YU. Recent progress in the treatment of intractable sialolithiasis [J]. Journal of Peking University (Health Sciences), 2023, 55(1): 8-12.
[3] Guang-yan YU,Jia-zeng SU,Deng-gao LIU,Li-ling WU,Xin CONG. Establishment and application of new techniques for submandibular gland preservation [J]. Journal of Peking University (Health Sciences), 2022, 54(5): 842-845.
[4] CHEN Chao-lun,SU Jia-zeng,YU Guang-yan. Effects of acid stimulation on saliva flow rate and compositions of human parotid and submandibular glands [J]. Journal of Peking University (Health Sciences), 2022, 54(1): 89-94.
[5] YU Guang-yan,LIU Deng-gao,LI Wei,HONG Xia,ZHANG Yan-yan,ZHU Wen-xuan,ZHANG Ke-fu,LI Xiao,LI Zhan-guo,LIU Yan-ying,CHEN Yan,GAO Yan,SU Jia-zeng. Studies on newly recognized chronic sialadenitis [J]. Journal of Peking University (Health Sciences), 2022, 54(1): 13-17.
[6] ZHU Yi-ying,MIN Sai-nan,YU Guang-yan. Effect of topical injection of cyclosporine A on saliva secretion and inflammation in the submandibular gland of non-obese diabetic mice [J]. Journal of Peking University (Health Sciences), 2021, 53(4): 750-757.
[7] WANG Yi-ping,CAI Zhi-gang,PENG Xin,ZHANG Jie,SUN Zhi-peng,LI Wei,ZHANG Lei,YU Guang-yan. Measurement of the weight and volume of submandibular gland in vitro [J]. Journal of Peking University (Health Sciences), 2021, 53(1): 126-132.
[8] Xin CONG,Sai-nan MIN,Li-ling WU,Zhi-gang CAI,Guang-yan YU. Role and mechanism of muscarinic acetylcholine receptor in the regulation of submandibular gland secretion [J]. Journal of Peking University(Health Sciences), 2019, 51(3): 390-396.
[9] Qian SU,Xin PENG,Chuan-xiang ZHOU,Guang-yan YU. Clinicopathological features and possible prognostic factors in parotid lymphomas [J]. Journal of Peking University(Health Sciences), 2019, 51(1): 35-42.
[10] Guang-ya YU,Xia HONG,Wei LI,Yan-yan ZHANG,Yan GAO,Yan CHEN,Zu-yan ZHANG,Xiao-yan XIE,Zhan-guo LI,Yan-ying LIU,Jia-zeng SU,Wen-xuan ZHU,Zhi-peng SUN. Clinicopathological characteristics and diagnosis of IgG4-related sialadenitis [J]. Journal of Peking University(Health Sciences), 2019, 51(1): 1-3.
[11] ZHANG Ya-qiong, YE Xin, LIU Deng-gao, ZHAO Ya-ning, XIE Xiao-yan, YU Guang-yan. Endoscopy-assisted sialodochoplasty for the treatment of severe sialoduct stenosis [J]. Journal of Peking University(Health Sciences), 2018, 50(1): 160-164.
[12] YU Guang-yan, WU Li-ling, CAI Zhi-gang, LV Lan, CONG Xin. A 20-year study on microvascular autologous transplantation of submandibular gland for treatment of severe dry eye [J]. Journal of Peking University(Health Sciences), 2018, 50(1): 1-4.
[13] CONG Xin, ZHANG Yan, YU Guang-Yan, WU Li-Ling.  Activation of transient receptor potential vanilloid subtype 1 serves as a novel pathway to modulate secretion in submandibular gland [J]. Journal of Peking University(Health Sciences), 2015, 47(1): 8-12.
[14] LI Wei, SUN Zhi-Peng, LIU Xiao-Jing, YU Guang-Yan. Volume measurements of human parotid and submandibular glands [J]. Journal of Peking University(Health Sciences), 2014, 46(2): 288-293.
Viewed
Full text


Abstract

Cited

  Shared   
  Discussed   
No Suggested Reading articles found!