Journal of Peking University (Health Sciences) ›› 2025, Vol. 57 ›› Issue (2): 388-392. doi: 10.19723/j.issn.1671-167X.2025.02.026

Previous Articles     Next Articles

Bisphosphonates-related osteonecrosis of the jaw: A case report

Ju YANG1,2, Yue LIU3, Chunna QU4, Jianbin SUN5, Tianying LI6, Lianjie SHI2,7,△()   

  1. 1. Department of Rheumatology and Immunology, Suining Central Hospital, Suining 629099, Sichuan, China
    2. Department of Rheumatology and Immunology, Peking University International Hospital, Beijing 102206, China
    3. Department of Maxillofacial Surgery, Peking University International Hospital, Beijing 102206, China
    4. Department of Stomatology, Peking University International Hospital, Beijing 102206, China
    5. Department of Endocrinology, Peking University International Hospital, Beijing 102206, China
    6. Department of Pathology, Peking University International Hospital, Beijing 102206, China
    7. Department of Rheumatology and Immunology, Peking University Shougang Hospital, Beijing 100144, China
  • Received:2022-04-22 Online:2025-04-18 Published:2025-04-12
  • Contact: Lianjie SHI E-mail:shilianjie1999@163.com
  • Supported by:
    Peking University International Hospital Research Funds(YN2020ZD01)

RICH HTML

  

Abstract:

Osteonecrosis of the mandible is also called avascular necrosis of the jaw, and it is a rare complication of bisphosphonates. It is characterized with pain, swelling, exposure of bone, local infection and pathologic fractures of the jaw. With the widespread usage of bisphosphonates in bone metastasis of malignant tumors and osteoporosis, this rare complication has received more attention in recent years. Here, we reported a case of bisphosphonates-related osteonecrosis of the jaw (BRONJ) caused by intravenous zoledronic acid for osteoporosis. A 62-year-old female patient with 7-year history of Sjögren's syndrome and 3-year history of osteoporosis developed BRONJ after 3-year treatment of zoledronic acid. Two months before she went to the Peking University International Hospital, she visited the dentist for periodontal purulent secretion and extracted one tooth from the right mandible. However, the condition was not improved and she felt persistent pain and swelling in the right mandible. Hence, she received repeated root curettage, but there was no improvement. Finally, she was diagnosed with osteonecrosis of the mandible based on the digital volume tomography scan, which showed right mandibular osteonecrosis bone destruction. She underwent surgical debridement of the necrotic bone and administered intravenous antibio-tics at the Peking University International Hospital. Histopathological analysis of the bone biopsy further confirmed the diagnosis of BRONJ. Her condition was improved successfully during a 3-year follow-up. Osteonecrosis of the mandible become more common with the increased use of bisphosphonates. Recent study has reported that osteonecrosis of the mandible is more likely to occur in patients with Sjögren's syndrome. In addition, age, long-term and irregular administration of glucocorticoids, irregular oral examination and treatment also might be the risk factors in the pathogenesis of osteonecrosis of the mandible. For the elder osteoporosis patients who would receive or had received bisphosphonate-related drugs, oral health status and the disease states associated with necrosis of the mandible such as Sjögren's syndrome should be comprehensively measured and fully evaluated during the whole process. Furthermore, to better understand and prevent or reduce the occurrence of this complication, we reviewed the patho-genesis, diagnosis, treatment, and prevention of BRONJ.

Key words: Bisphosphonate-associated osteonecrosis of the jaw, Osteoporosis, Zoledronic acid

CLC Number: 

  • R782.32

Figure 1

Preoperative and postoperative X-ray findings of mandibular osteonecrosis A, the preoperative X-ray showed right mandibular osteonecrosis bone destruction (arrow); B, the X-ray findings of the jaw after operation (arrow)."

Figure 2

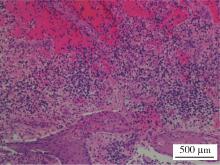
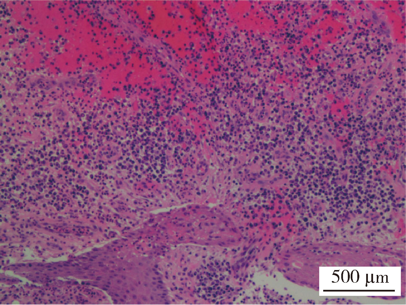
Pathological image of postoperative mandibular mucosal tissue and a small amount of bone tissue (HE ×200) Hematoxylin-eosin (HE) staining showed that the submucosal was infiltrated with lymphocyte, plasmacyte and neutrophils. In addition, fibrous tissue proliferation and granulation tissue formation were found."

1 Fleisch H . Biphosphonate as a therapeutic drug: Experimental studies and clinical application[J]. Ther Umsch, 1985, 42 (6): 366- 375.
2 Haraguchi R , Kitazawa R , Mori K , et al. sFRP4-dependent Wnt signal modulation is critical for bone remodeling during postnatal development and age-related bone loss[J]. Sci Rep, 2016, 6, 25198.
doi: 10.1038/srep25198
3 Marx RE . Pamidronate (Aredia) and zoledronate (Zometa) induced avascular necrosis of the jaws: A growing epidemic[J]. J Oral Maxillofac Surg, 2003, 61 (9): 1115- 1117.
doi: 10.1016/S0278-2391(03)00720-1
4 Everts-Graber J , Lehmann D , Burkard JP , et al. Risk of osteo-necrosis of the jaw under denosumab compared to bisphosphonates in patients with osteoporosis[J]. J Bone Miner Res, 2021, 37 (2): 340- 348.
5 朱洁云, 高敏, 宋秋韵, 等. 中国老年人骨质疏松症患病率的Meta分析[J]. 中国全科医学, 2022, 25 (3): 346- 353.
6 Black DM , Rosen CJ . Clinical practice. Postmenopausal psteoporosis[J]. N Engl J Med, 2016, 374 (3): 254- 262.
doi: 10.1056/NEJMcp1513724
7 Kuo PI , Lin TM , Chang YS , et al. Primary Sjogren syndrome increases the risk of bisphosphonate-related osteonecrosis of the jaw[J]. Sci Rep, 2021, 11 (1): 1612.
doi: 10.1038/s41598-020-80622-5
8 Allen MR , Burr DB . Mandible matrix necrosis in beagle dogs after 3 years of daily oral bisphosphonate treatment[J]. J Oral Maxillofac Surg, 2008, 66 (5): 987- 994.
doi: 10.1016/j.joms.2008.01.038
9 郎淼杰, 周稚辉, 毛静静, 等. 唑来膦酸对血管内皮细胞损伤的影响[J]. 中华口腔医学杂志, 2015, 50 (7): 399- 402.
10 Taniguchi N , Osaki M , Onuma K , et al. Bisphosphonate-induced reactive oxygen species inhibit proliferation and migration of oral fibroblasts: A pathogenesis of bisphosphonate-related osteonecrosis of the jaw[J]. J Periodontol, 2020, 91 (7): 947- 955.
doi: 10.1002/JPER.19-0385
11 Marx RE , Cillo JE Jr , Ulloa JJ . Oral bisphosphonate-induced osteonecrosis: Risk factors, prediction of risk using serum CTX testing, prevention, and treatment[J]. J Oral Maxillofac Surg, 2007, 65 (12): 2397- 2410.
doi: 10.1016/j.joms.2007.08.003
12 Koneski F , Popovic-Monevska D , Gjorgoski I , et al. In vivo effects of geranylgeraniol on the development of bisphosphonate-related osteonecrosis of the jaws[J]. J Craniomaxillofac Surg, 2018, 46 (2): 230- 236.
13 Kizub DA , Miao J , Schubert MM , et al. Risk factors for bisphosphonate-associated osteonecrosis of the jaw in the prospective randomized trial of adjuvant bisphosphonates for early-stage breast cancer (SWOG 0307)[J]. Support Care Cancer, 2021, 29 (5): 2509- 2517.
14 Ruggiero SL , Dodson TB , Assael LA , et al. American Association of Oral and Maxillofacial Surgeons position paper on bisphosphonate-related osteonecrosis of the jaw: 2009 update[J]. Aust Endod J, 2009, 35 (3): 119- 130.
15 吴平凡, 李羽, 雷振革, 等. 种植体引起双膦酸盐相关性下颌骨坏死1例[J]. 华西口腔医学杂志, 2020, 38 (4): 460- 463.
16 Adler RA , El-Hajj Fuleihan G , Bauer DC , et al. Managing osteoporosis in patients on long-term bisphosphonate treatment: Report of a task force of the American Society for Bone and Mineral Research[J]. J Bone Miner Res, 2016, 31 (1): 16- 35.
17 He L , Sun X , Liu Z , et al. Pathogenesis and multidisciplinary management of medication-related osteonecrosis of the jaw[J]. Int J Oral Sci, 2020, 12 (1): 30.
18 Yu W , Su J . The effects of different doses of teriparatide on bisphosphonate-related osteonecrosis of the jaw in mice[J]. Oral Dis, 2020, 26 (3): 609- 620.
19 Ruggiero SL , Dodson TB , Fantasia J , et al. American Association of Oral and Maxillofacial Surgeons position paper on medication-related osteonecrosis of the jaw: 2014 update[J]. J Oral Maxillofac Surg, 2014, 72 (10): 1938- 1956.
20 中华医学会骨质疏松和骨矿盐疾病分会. 原发性骨质疏松症诊疗指南(2017)[J]. 中华骨质疏松和骨矿盐疾病杂志, 2017, 10 (5): 413- 443.
21 Watts NB , Diab DL . Long-term use of bisphosphonates in osteoporosis[J]. J Clin Endocrinol Metab, 2010, 95 (4): 1555- 1565.
[1] Chunhui SHENG, Xiao ZHANG, Longwei LV, Yongsheng ZHOU. Exosome derived from human adipose-derived mesenchymal stem cells prevented bone loss induced by estrogen deficiency [J]. Journal of Peking University (Health Sciences), 2025, 57(2): 217-226.
[2] Xinzhu BAI,Jinhui HE,Songsong LU,Chun LI,Yilin WANG,Jian XIONG. Vertebral fractures combined with prolonged activated partial prothrombin time: A case report [J]. Journal of Peking University (Health Sciences), 2024, 56(2): 371-374.
[3] Da-wei WANG,Hua-dong WANG,Li LI,Xin YIN,Wei HUANG,Ji-dong GUO,Ya-feng YANG,Yi-hao LIU,Yang ZHENG. Efficacy analysis of autologous facet joint bone block in lumbar interbody fusion of osteoporosis patients [J]. Journal of Peking University (Health Sciences), 2023, 55(5): 899-909.
[4] Jie ZHU,Jian-hong LI,Ting-ting YUAN,Lu He,Yu-hong LIANG. Relationship between periodontitis and osteoporosis in postmenopausal women [J]. Journal of Peking University(Health Sciences), 2019, 51(6): 1115-1118.
[5] Peng WANG,Hua WU,Ying CHE,Dong-wei FAN,Jue LIU,Li-yuan TAO. Evaluation of screening accuracy on osteoporosis self-assessment tool for Asians and its cut-off value in healthy physical examination population [J]. Journal of Peking University(Health Sciences), 2019, 51(6): 1085-1090.
[6] SHANG Lan-pu, TIAN Yun, LIU Xiao-guang. Clinical comparison of polymethylmethacrylate and bone cement in the treatment of osteoporotic vertebral compression fractures: a retrospective study [J]. Journal of Peking University(Health Sciences), 2017, 49(2): 267-273.
[7] SUN Hao-lin, LI Chun-de△, LI Xu-wen, YI Xiao-dong, LIU Hong, LU Hai-lin, LI Hong, YU Zheng-rong, WANG Yu. Polymethylmethacrylate augmentation of bone cement injectable cannulated pedicle screws was used to treat degenerative lumbar scoliosis with osteoporosis [J]. Journal of Peking University(Health Sciences), 2017, 49(2): 256-261.
[8] SUN Hao-lin, LI Chun-de, YANG Ze-chuan, YI Xiao-dong, LIU Hong, LU Hai-lin, LI Hong, WANG Yu. Polymethylmethacrylate augmentation of bone cement-injectable cannulated pedicle screws for the treatment of degenerative lumbar diseases with osteoporosis [J]. Journal of Peking University(Health Sciences), 2016, 48(6): 1019-1025.
[9] WANG He, HU Zhao-heng, CHEN Ling2, PAN Yu3. Influence of history of oral bisphosphonates on the incidence rate of fever after intravenous injection of zoledronic acid in patients with osteoporosis [J]. Journal of Peking University(Health Sciences), 2016, 48(4): 680-682.
[10] LI Ning, LIU Hao-nan, GONG Xiao-feng, ZHU Shi-wen, WU Xin-bao, HE Liang. Epidemiological analysis of hospitalized patients with femoral neck fracture in a first-class hospital of Beijing [J]. Journal of Peking University(Health Sciences), 2016, 48(2): 292-296.
[11] SUN Hao-Lin, LI Chun-De, ZHU Jia-Lin, YI Xiao-Dong, LIU Hong, LU Hai-Lin, LI Hong, YU Zheng-Rong, WANG Yu. Clinical research of percutaneous vertebroplasty or percutaneous kyphoplasty for treating osteoporotic vertebral compression fractures induced by glucocorticosteroid [J]. Journal of Peking University(Health Sciences), 2015, 47(2): 242-247.
[12] HUANG Tian-Ji, KOU Yu-Hui, YIN Xiao-Feng, XIONG Jian, ZHANG Pei-Xun, ZHANG Dian-Ying, FU Zhong-Guo, XUE Feng, JIANG Bao-Guo. Clinical characteristics and risk factors of newly developed vertebral fractures after vertebral augmentation [J]. Journal of Peking University(Health Sciences), 2015, 47(2): 237-241.
Viewed
Full text


Abstract

Cited

  Shared   
  Discussed   
No Suggested Reading articles found!