Journal of Peking University (Health Sciences) ›› 2025, Vol. 57 ›› Issue (6): 1193-1197. doi: 10.19723/j.issn.1671-167X.2025.06.027

Previous Articles     Next Articles

Diabetic Charcot neuroarthropathy initially misdiagnosed as rheumatoid arthritis and gout: A case report

Jingyan GU1, Xinyi LI2, Jinxia ZHAO2, Rong MU2,*()   

  1. 1. Department of Dermatology, Peking University Third Hospital, Beijing 100191, China
    2. Department of Rheumatology and Immunology, Peking University Third Hospital, Beijing 100191, China
  • Received:2025-08-14 Online:2025-12-18 Published:2025-10-22
  • Contact: Rong MU

RICH HTML

  

Abstract:

Charcot neuroarthropathy (CN) is a rare but severely disabling complication most commonly seen in patients with longstanding diabetic peripheral neuropathy. CN is characterized by progressive destruction, dislocation, and deformity of the foot and ankle joints, often accompanied by altered biomechanics, chronic ulceration, secondary infection, and, in advanced cases, a high risk of amputation or even mortality. The early clinical presentation of CN is frequently atypical, with mild or painless swelling, warmth, and erythema due to underlying sensory deficits, which can easily lead to misdiagnosis as other rheumatic or autoimmune joint disorders such as rheumatoid arthritis and gout. In this report, we present the case of a 60-year-old woman with a 12-year history of type 2 diabetes mellitus who developed persistent swelling and pain in her left ankle for eight months, along with progressive numbness in her left foot for six months. Her initial laboratory and imaging findings suggested a diagnosis of rheumatoid arthritis combined with gout, resulting in the administration of anti-rheumatic and uric acid-lowering therapies, which proved ineffective. Further diagnostic workup, including advanced imaging modalities, neuroelec-trophysiological testing, and synovial biopsy, ultimately confirmed the diagnosis of diabetic Charcot neuroarthropathy, revealing severe joint dislocation, bone fragmentation, and extensive osteolysis. The patient received comprehensive management, including strict glycemic control, anti-osteoporosis treatment, neurotrophic support, and ultimately underwent left ankle multi-joint fusion surgery. During postoperative follow-up, the patient demonstrated significant improvement in limb function, with no recurrence of ulcers or infection. This case highlights the importance of considering CN in diabetic patients with unilateral, painless joint swelling, deformity, and sensory disturbance. Accurate differential diagnosis from rheu-matic and autoimmune diseases, early recognition, and standardized intervention are crucial to prevent irreversible deformity and reduce the risk of amputation, ultimately improving patient outcomes. Early multidisciplinary management and individualized treatment strategies play a key role in optimizing prognosis for patients with diabetic CN.

Key words: Charcot neuroarthropathy, Charcot foot, Diabetes mellitus, Diagnosis, Treatment

CLC Number: 

  • R587.2

Figure 1

Bilateral ankle joints of the patient A, standing position, the left ankle shows deformity with an altered weight-bearing pattern; B, supine position, the left ankle is swollen."

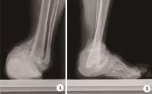
Figure 2

Weight-bearing ankle radiograph A, anteroposterior view; B, lateral view. Weight-bearing ankle radiograph shows malalignment of the left ankle joint with severe bony destruction of both the medial and lateral malleoli, as well as intra-articular loose bodies."

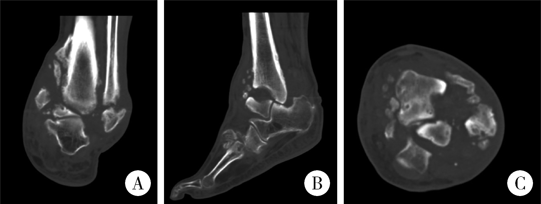
Figure 3

Computed tomography image of the left ankle A, coronal plane; B, sagittal plane; C, axial plane. Computed tomography reveals extensive osteolysis, sclerotic changes, and severe joint destruction of the left ankle."

Figure 4

Contrast-enhanced magnetic resonance imaging of the left ankle A, coronal plane; B, sagittal plane; C, axial plane. Contrast-enhanced magnetic resonance imaging demonstrates periarticular soft-tissue edema surrounding the left ankle."

Figure 5

Postoperative radiograph of the left ankle after multi-joint arthrodesis A, lateral view; B, anteroposterior view."

1
Dardari D . An overview of Charcot's neuroarthropathy[J]. J Clin Transl Endocrinol, 2020, 22, 100239.
2
Tsatsaris G , Rajamand Ekberg N , Fall T , et al. Prevalence of Charcot foot in subjects with diabetes: A nationwide cohort study[J]. Diabetes Care, 2023, 46 (12)
3
Bansod H , Wanjari A , Dumbhare O . A review on relationship between Charcot neuroarthropathy and diabetic patients[J]. Cureus, 2023, 15 (12)
4
Greco T , Mascio A , Comisi C , et al. RANKL-RANK-OPG pathway in Charcot diabetic foot: Pathophysiology and clinical-therapeutic implications[J]. Int J Mol Sci, 2023, 24 (3): 3014.

doi: 10.3390/ijms24033014
5
Dardari D , Van GH , M'Bemba J , et al. Rapid glycemic regulation in poorly controlled patients living with diabetes, a new associated factor in the pathophysiology of Charcot's acute neuroarthropathy[J]. PLoS One, 2020, 15 (5): e0233168.

doi: 10.1371/journal.pone.0233168
6
Busch-Westbroek TE , Delpeut K , Balm R , et al. Effect of single dose of RANKL antibody treatment on acute Charcot neuro-osteoarthropathy of the foot[J]. Diabetes Care, 2018, 41 (3): e21- e22.

doi: 10.2337/dc17-1517
7
Neumann T , Lodes S , Kästner B , et al. Osteocalcin, adipokines and their associations with glucose metabolism in type 1 diabetes[J]. Bone, 2016, 82, 50- 55.

doi: 10.1016/j.bone.2015.04.017
8
Bell DSH , Jerkins T . Diabetic Charcot neuroarthropathy: A threat to both limb and life[J]. Diabetes Obes Metab, 2025, 27 (1): 35- 39.

doi: 10.1111/dom.15994
9
Dodd A , Daniels TR . Charcot neuroarthropathy of the foot and ankle[J]. J Bone Joint Surg Am, 2018, 100 (8): 696- 711.

doi: 10.2106/JBJS.17.00785
10
Cecchini S , Gatti C , Fornarelli D , et al. Magnetic resonance imaging and 99Tc WBC-SPECT/CT scanning in differential diagnosis between osteomyelitis and Charcot neuroarthropathy: A case series[J]. Tomography, 2024, 10 (8): 1312- 1319.

doi: 10.3390/tomography10080098
11
Atmaca A , Ketenci A , Sahin I , et al. Expert opinion on screening, diagnosis and management of diabetic peripheral neuropathy: A multidisciplinary approach[J]. Front Endocrinol, 2024, 15, 1380929.

doi: 10.3389/fendo.2024.1380929
12
Wukich DK , Schaper NC , Gooday C , et al. Guidelines on the diagnosis and treatment of active Charcot neuro-osteoarthropathy in persons with diabetes mellitus (IWGDF 2023)[J]. Diabetes Metab Res Rev, 2024, 40 (3): e3646.

doi: 10.1002/dmrr.3646
13
Griffiths DA , Kaminski MR . Duration of total contact casting for resolution of acute Charcot foot: A retrospective cohort study[J]. J Foot Ankle Res, 2021, 14 (1): 44.

doi: 10.1186/s13047-021-00477-5
14
Jude EB , Selby PL , Burgess J , et al. Bisphosphonates in the treatment of Charcot neuroarthropathy: A double-blind randomised controlled trial[J]. Diabetologia, 2001, 44 (11): 2032- 2037.

doi: 10.1007/s001250100008
15
Sølling AS , Tsourdi E , Harsløf T , et al. Denosumab discontinuation[J]. Curr Osteoporos Rep, 2023, 21 (1): 95- 103.

doi: 10.1007/s11914-022-00771-6
16
Hurst M , Shin L . Charcot neuroarthropathy: Surgical and conservative treatment approaches[J]. Semin Vasc Surg, 2025, 38 (1): 74- 84.

doi: 10.1053/j.semvascsurg.2025.01.004
17
Galhoum AE , Trivedi V , Askar M , et al. Management of ankle Charcot neuroarthropathy: A systematic review[J]. J Clin Med, 2021, 10 (24): 5923.

doi: 10.3390/jcm10245923
[1] Xiaodi XIAO, Youchen XIA, Jianying LIU, Peng FU. Left sided sternocleidomastoid interosseous intravascular papillary endothelial hyperplasia: A case report [J]. Journal of Peking University (Health Sciences), 2025, 57(5): 1002-1004.
[2] Shang XIE, Luming WANG, Xinyuan ZHANG, Qiushi FENG, Yangyang XIA, Ziwei DAI, Xiaofeng SHAN, Zhigang CAI. Construction and application of oral squamous cell carcinoma organoid bank [J]. Journal of Peking University (Health Sciences), 2025, 57(5): 847-851.
[3] Pei CAO, Qingxian LUAN. Periodontitis and systemic diseases: Thinking and explorations [J]. Journal of Peking University (Health Sciences), 2025, 57(5): 852-858.
[4] Xiangyu SUN, Chao YUAN, Xinzhu ZHOU, Jing DIAO, Shuguo ZHENG. Application of salivary micro-ecosystem in early prevention and control of oral and systemic diseases [J]. Journal of Peking University (Health Sciences), 2025, 57(5): 859-863.
[5] Ziyan CHEN, Xiaoyue ZHANG, Yiwu GU, Chun CHANG. Type 2 diabetes patients use E-health to manage disease willingness and influence mechanisms [J]. Journal of Peking University (Health Sciences), 2025, 57(3): 522-528.
[6] Yuanyuan YANG, Shanshan ZHANG, Guangyan YU, Huijun YANG, Hongyu YANG. Clinical outcomes of partial sialoadenectomy for the treatment of benign tumors in the submandibular gland [J]. Journal of Peking University (Health Sciences), 2025, 57(2): 334-339.
[7] Zhao CHEN, Yongkang QIU, Lei KANG. Classical Sweet syndrome with multiple organ lesions by 18F-FDG PET/CT: A case report [J]. Journal of Peking University (Health Sciences), 2025, 57(2): 403-407.
[8] Guangyan YU, Xin PENG, Min GAO, Peng YE, Na GE, Mengqi JIA, Bingyu LI, Zunan TANG, Leihao HU, Wenbo ZHANG. Research progress in diagnosis and treatment of salivary gland tumors [J]. Journal of Peking University (Health Sciences), 2025, 57(1): 1-6.
[9] Wenxin CHEN, Xiaomei HOU. Cyclic fatigue resistance of nickel-titanium files made by Gold heat treatment in simulated S-shaped root canals at different temperatures [J]. Journal of Peking University (Health Sciences), 2025, 57(1): 136-141.
[10] Yuanyuan FANG, Fan XU, Jie LEI, Hao ZHANG, Wenyu ZHANG, Yu SUN, Hongxin WU, Kaiyuan FU, Weiyu MAO. Development and validation of a clinical automatic diagnosis system based on diagnostic criteria for temporomandibular disorders [J]. Journal of Peking University (Health Sciences), 2025, 57(1): 192-201.
[11] Jingqian LI, Zilu ZHU, Jian JIAO, Jie SHI. Clinical efficacy of clear aligner treatment for pathologically migrated teeth in the anterior region of patients with severe periodontitis [J]. Journal of Peking University (Health Sciences), 2025, 57(1): 51-56.
[12] Yifan KANG, Yanjun GE, Xiaoming LV, Shang XIE, Xiaofeng SHAN, Zhigang CAI. One-stage mandibular reconstruction combining iliac flap with immediate implant-based denture [J]. Journal of Peking University (Health Sciences), 2025, 57(1): 78-84.
[13] Ying HAN, Pu ZHAO, Hongwei LIU. Microneedle combined with photodynamic therapy in the treatment of oral leukoplakia [J]. Journal of Peking University (Health Sciences), 2025, 57(1): 91-96.
[14] Jialu CHE, Zichen LIU, Kun LI, Chen ZHANG, Nanying CHE. Clinical value of automated EasyNAT system for the diagnosis of tuberculosis in paraffin-embedded tissues [J]. Journal of Peking University (Health Sciences), 2024, 56(6): 1047-1051.
[15] Yaqing MAO, Zhen CHEN, Yao YU, Wenbo ZHANG, Yang LIU, Xin PENG. Impact of type 2 diabetes mellitus on the prognosis of patients with oral squamous cell carcinoma [J]. Journal of Peking University (Health Sciences), 2024, 56(6): 1089-1096.
Viewed
Full text


Abstract

Cited

  Shared   
  Discussed   
No Suggested Reading articles found!