Journal of Peking University (Health Sciences) ›› 2026, Vol. 58 ›› Issue (2): 380-387. doi: 10.19723/j.issn.1671-167X.2026.02.024

Previous Articles     Next Articles

Establishment of rabbit model of benign circumferential esophageal stricture

Lingyu MENG, Yonghui HUANG*(), Xiu'e YAN, Yingchun WANG   

  1. Department of Gastroenterology, Peking University Third Hospital, Beijing 100191, China
  • Received:2023-11-12 Online:2026-04-18 Published:2025-11-10
  • Contact: Yonghui HUANG
  • Supported by:
    the National Natural Science Foundation of China(82070653); Beijing Natural Science Foundation(7222207); Capital's Funds for Health Improvement and Research(2022-2Z-40914)

RICH HTML

  

Abstract:

Objective: To explore the method of establishing benign esophageal stricture in rabbits by using argon plasma coagulation under endoscopy, and to provide a convenient and stable animal model for subsequent research on the prevention of esophageal stricture. Methods: Twenty-two male New Zealand rabbits were randomly divided into three groups after completing esophageal radiography under X-ray. The blank control group (n=4) only received endoscopic examination. In the experimental group Ⅰ (n=9) and experimental group Ⅱ (n=9), argon knife was performed on the esophagus at 30 W and 50 W power, respectively, under endoscopy. Endoscopy was performed 1, 2, and 4 weeks after the operation to observe the changes in the esophagus, and the body weight and mental state were recorded. Four weeks after the operation, esophageal radiography under X-ray was performed to measure the inner diameter of the esophageal stricture and calculate the stricture index. All the experimental animals were sacrificed and esophageal specimens were obtained for histopathological examination and detection of hydroxyproline content in esophageal tissue. Results: In the blank control group, the body weight significantly increased 4 weeks after the operation compared with that before the operation [(4.13±0.25) kg vs. (3.10±0.39) kg, P < 0.05], and there was no significant change in the esophageal inner diameter [(12.89±0.83) mm vs. (12.83±1.07) mm, P>0.05]. In the experimental group Ⅰ, there was no significant change in the body weight and esophageal inner diameter 4 weeks after the operation compared with that before the operation [(2.91±0.28) kg vs. (2.91±0.54) kg; (11.19±0.97) mm vs. (12.06±0.32) mm; P>0.05]. In the experimental group Ⅱ, the body weight and esophageal inner diameter significantly decreased 4 weeks after the operation compared with that before the operation [(2.02±0.31) kg vs. (3.51±0.37) kg; (10.49±1.76) mm vs. (12.58±1.11) mm; P < 0.05]. The esophageal stricture index 4 weeks after the operation was significantly higher in the experimental group Ⅱ than in the experimental group Ⅰ (1.242±0.148 vs. 1.083±0.104, P < 0.05). The histopathological score and hydroxyproline content in the experimental group Ⅰ [2.55±0.52, (182.90±72.75) μg/g] and experimental group Ⅱ [4.55±0.52, (210.81±54.28) μg/g] were significantly higher than those in the blank control group [0, (91.37±29.74) μg/g] (P < 0.05). Conclusion: The induction of esophageal stricture in male New Zealand rabbits using 50 W argon knife under endoscopic guidance is a feasible, depth-controllable, and reproducible method. This animal model provides a reliable platform for the development and evaluation of novel therapeutic strategies for esophageal stricture.

Key words: Esophageal stenosis, Animal models, Argon plasma coagulation, Esophagoscopy

CLC Number: 

  • R571.1

Table 1

Lesion damage scoring criteria"

Damage category Lesion degree Score
Submucosal collagen deposition No submucosal collagen deposition 0
Mild (collagen deposition in submucosa < twice the thickness of muscularis mucosae) 1
Severe (collagen deposition in submucosa>twice the thickness of muscularis mucosae) 2
Mucosal muscularis injury No 0
Yes 1
Muscularis propria injury and collagen deposition No 0
Mild (collagen deposition around smooth muscle fibers) 1
Severe (in addition to the above changes, some smooth muscle fibers are replaced by collagen) 2

Table 2

Weight in each group before and after the operation"

Group Before the operation 1 week after the operation 2 weeks after the operation 4 weeks after the operation
n Weight/kg n Weight/kg n Weight/kg n Weight/kg
Blank control group 4 3.10±0.39 4 3.25±0.34 4 3.48±0.33 4 4.13±0.25*
Experimental group Ⅰ 9 2.91±0.54 9 2.52±0.59 8 2.72±0.54 8 2.91±0.28
Experimental group Ⅱ 9 3.51±0.37 9 2.90±0.35 8 2.62±0.37 7 2.02±0.31*

Figure 1

Comparison of intraoperative and postoperative esophageal endoscopic images in each group"

Figure 2

Esophagography at 4 weeks after operation in each group A, blank control group; B, experimental group Ⅰ; C, experimental group Ⅱ. The arrows show the sites of esophageal stenosis."

Table 3

Esophageal inner diameter by angiography and the stricture index"

Group Esophageal inner diameter/mm Stricture index
Preoperative 4 weeks after operation
Blank control group 12.83±1.07 12.89±0.83 0.995±0.028
Experimental group Ⅰ 12.06±0.32 11.19±0.97 1.083±0.104
Experimental group Ⅱ 12.58±1.11 10.49±1.76* 1.242±0.148#△

Figure 3

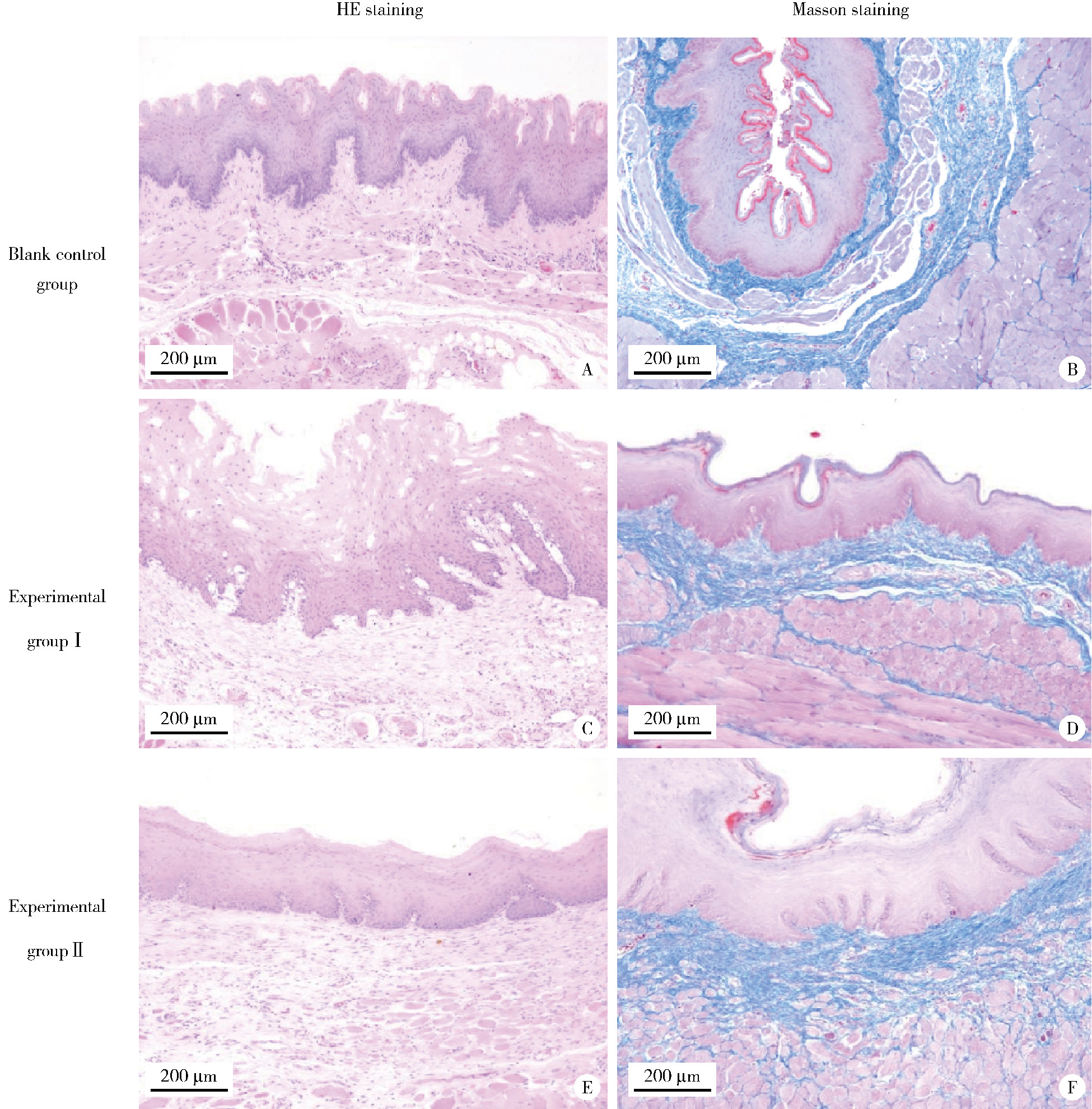
Pathological HE staining and Masson staining results of each group A, C and E are the hematoxylin eosin (HE) staining results of blank control group, experimental group Ⅰ and experimental group Ⅱ, repecitively; B, D and F are the Masson staining results of blank control group, experimental group Ⅰ and experimental group Ⅱ, repecitively."

Table 4

Esophageal histopathological score and hydroxyproline content in each group"

Group Pathology score Hydroxyproline/(μg/g)
Blank control group (n=4) 0 91.37±29.74
Experimental group Ⅰ (n=9) 2.55±0.52* 182.90±72.75*
Experimental group Ⅱ (n=9) 4.55±0.52*# 210.81±54.28*
1
Ferlay J , Soerjomataram I , Dikshit R , et al. Cancer incidence and mortality worldwide: Sources, methods and major patterns in GLOBOCAN 2012[J]. Int J Cancer, 2015, 136 (5): E359- E386.
2
Yamashina T , Ishihara R , Nagai K , et al. Long-term outcome and metastatic risk after endoscopic resection of superficial esophageal squamous cell carcinoma[J]. Am J Gastroenterol, 2013, 108 (4): 544- 551.

doi: 10.1038/ajg.2013.8
3
Motoori M , Yano M , Ishihara R , et al. Comparison between radical esophagectomy and definitive chemoradiotherapy in patients with clinical T1bN0M0 esophageal cancer[J]. Ann Surg Oncol, 2012, 19 (7): 2135- 2141.

doi: 10.1245/s10434-012-2231-8
4
Oyama T , Tomori A , Hotta K , et al. Endoscopic submucosal dissection of early esophageal cancer[J]. Clin Gastroenterol Hepatol, 2005, 3 (7 Suppl 1): S67- S70.
5
Katada C , Muto M , Manabe T , et al. Esophageal stenosis after endoscopic mucosal resection of superficial esophageal lesions[J]. Gastrointest Endosc, 2003, 57 (2): 165- 169.

doi: 10.1067/mge.2003.73
6
Hashimoto S , Kobayashi M , Takeuchi M , et al. The efficacy of endoscopic triamcinolone injection for the prevention of esophageal stricture after endoscopic submucosal dissection[J]. Gastrointest Endosc, 2011, 74 (6): 1389- 1393.

doi: 10.1016/j.gie.2011.07.070
7
Ezoe Y , Muto M , Horimatsu T , et al. Efficacy of preventive endoscopic balloon dilation for esophageal stricture after endoscopic resection[J]. J Clin Gastroenterol, 2011, 45 (3): 222- 227.

doi: 10.1097/MCG.0b013e3181f39f4e
8
Hanaoka N , Ishihara R , Takeuchi Y , et al. Intralesional steroid injection to prevent stricture after endoscopic submucosal dissection for esophageal cancer: A controlled prospective study[J]. Endoscopy, 2012, 44 (11): 1007- 1011.

doi: 10.1055/s-0032-1310107
9
Wu R , Fu M , Tao HM , et al. Benign esophageal stricture model construction and mechanism exploration[J]. Sci Rep, 2023, 13, 11769.

doi: 10.1038/s41598-023-38575-y
10
Grooteman KV , Wong Kee Song LM , Vleggaar FP , et al. Non-adherence to the rule of 3 does not increase the risk of adverse events in esophageal dilation[J]. Gastrointest Endosc, 2017, 85 (2): 332- 337.

doi: 10.1016/j.gie.2016.07.062
11
Yamaguchi N , Isomoto H , Nakayama T , et al. Usefulness of oral prednisolone in the treatment of esophageal stricture after endoscopic submucosal dissection for superficial esophageal squamous cell carcinoma[J]. Gastrointest Endosc, 2011, 73 (6): 1115- 1121.

doi: 10.1016/j.gie.2011.02.005
12
Iizuka T , Kikuchi D , Yamada A , et al. Polyglycolic acid sheet application to prevent esophageal stricture after endoscopic sub-mucosal dissection for esophageal squamous cell carcinoma[J]. Endoscopy, 2015, 47 (4): 341- 344.
13
Ohki T , Yamato M , Ota M , et al. Prevention of esophageal stricture after endoscopic submucosal dissection using tissue-engineered cell sheets[J]. Gastroenterology, 2012, 143 (3): 582- 588.

doi: 10.1053/j.gastro.2012.04.050
14
Saito Y , Tanaka T , Andoh A , et al. Novel biodegradable stents for benign esophageal strictures following endoscopic submucosal dissection[J]. Dig Dis Sci, 2008, 53 (2): 330- 333.

doi: 10.1007/s10620-007-9873-6
15
Nonaka K , Miyazawa M , Ban S , et al. Different healing process of esophageal large mucosal defects by endoscopic mucosal dissection between with and without steroid injection in an animal model[J]. BMC Gastroenterol, 2013, 13, 72.

doi: 10.1186/1471-230X-13-72
16
Guven A , Demirbag S , Uysal B , et al. Effect of 3-amino benzamide, a poly(adenosine diphosphate-ribose) polymerase inhibitor, in experimental caustic esophageal burn[J]. J Pediatr Surg, 2008, 43 (8): 1474- 1479.

doi: 10.1016/j.jpedsurg.2007.10.001
17
Berthet B , di Costanzo J , Arnaud C , et al. Influence of epidermal growth factor and interferon gamma on healing of oesophageal corrosive burns in the rat[J]. Br J Surg, 1994, 81 (3): 395- 398.

doi: 10.1002/bjs.1800810325
18
Goto A , Okamoto T , Ogawa R , et al. Intralesional steroid infusion using a spray tube to prevent stenosis after endoscopic submucosal dissection of esophageal cancer[J]. Clin Endosc, 2022, 55 (4): 520- 524.

doi: 10.5946/ce.2021.262
19
Nie D , Yan X , Huang Y . Efficacy of hydrocortisone sodium succinate and aluminum phosphate gel for stricture prevention after ≥3/4 circumferential endoscopic submucosal dissection[J]. J Int Med Res, 2020, 48 (4): 300060519894122.

doi: 10.1177/0300060519894122
20
Hong C , Zhuang H , Cai B , et al. β-elemene attenuates fibrosis after esophageal endoscopic submucosal dissection via modulating the HIF-1α/HK2/p38-MAPK signaling axis[J]. ACS Biomater Sci Eng, 2021, 7 (7): 3399- 3408.

doi: 10.1021/acsbiomaterials.1c00047
21
Hwang JC , Jin B , Kim JH , et al. Esophageal stricture induced by an ultraslim upper endoscope in a novel rabbit model of corrosive injury[J]. Scand J Gastroenterol, 2014, 49 (1): 30- 34.
22
Perry Y , Epperly MW , Fernando HC , et al. Photodynamic therapy induced esophageal stricture—an animal model: From mouse to pig[J]. J Surg Res, 2005, 123 (1): 67- 74.

doi: 10.1016/j.jss.2004.05.006
23
Türkyilmaz Z , Sönmez K , Karabulut R , et al. Mitomycin C decreases the rate of stricture formation in caustic esophageal burns in rats[J]. Surgery, 2009, 145 (2): 219- 225.

doi: 10.1016/j.surg.2008.10.007
24
Honda M , Hori Y , Nakada A , et al. Use of adipose tissue-derived stromal cells for prevention of esophageal stricture after circum-ferential EMR in a canine model[J]. Gastrointest Endosc, 2011, 73 (4): 777- 784.

doi: 10.1016/j.gie.2010.11.008
25
Takagi R , Yamato M , Kanai N , et al. Cell sheet technology for regeneration of esophageal mucosa[J]. World J Gastroenterol, 2012, 18 (37): 5145- 5150.
26
孟科. 内镜下注射A型肉毒毒素对兔食管良性狭窄影响的研究[D]. 北京: 军医进修学院, 2012.
27
Yang K , Li X , Zhou B , et al. Sodium hydroxide-induced esophageal stricture via an endoscopic injection needle: A novel rabbit model of corrosive injury[J]. J Interv Med, 2018, 1 (1): 5- 8.
28
Liu BR , Liu D , Yang W , et al. Mucosal loss as a critical factor in esophageal stricture formation after mucosal resection: A pilot experiment in a porcine model[J]. Surg Endosc, 2020, 34 (2): 551- 556.

doi: 10.1007/s00464-019-06793-z
29
国家消化系统疾病临床医学研究中心(上海), 中华医学会消化内镜学分会, 中国医师协会内镜医师分会消化内镜专业委员会, 等. 消化内镜高频电技术临床应用专家共识(2020, 上海)[J]. 中华消化内镜杂志, 2020, 37 (7): 457- 465.
[1] Qiushi QIN, Rui LI, Yanxi ZHOU, Yue ZHANG, Ming HAN, Liuluan ZHU. Protective effect of knock-down the expression of Blimp1 gene on early liver injury in CCl4-induced mouse model of liver fibrosis [J]. Journal of Peking University (Health Sciences), 2025, 57(4): 727-734.
[2] Ling-wei MENG,Xue LI,Sheng-han GAO,Yue LI,Rui-tao CAO,Yi ZHANG,Shao-xia PAN. Comparison of three methods for establishing rat peri-implantitis model [J]. Journal of Peking University (Health Sciences), 2023, 55(1): 22-29.
[3] WANG Gui-hong,ZUO Ting,LI Ran,ZUO Zheng-cai. Effect of rebamipide on the acute gouty arthritis in rats induced by monosodium urate crystals [J]. Journal of Peking University (Health Sciences), 2021, 53(4): 716-720.
Viewed
Full text


Abstract

Cited

  Shared   
  Discussed   
No Suggested Reading articles found!