前牙美学修复的整体策略及细节剖析
责任编辑: 任英慧
收稿日期: 2021-09-21
| 基金资助: |
|
Corresponding authors:
Received: 2021-09-21
| Fund supported: |
|
本文引用格式
刘云松, 周倜, 叶红强.
口腔修复治疗除了关注生理功能的恢复,还承载着患者的美学需求[1]。牙齿外观是决定颜面部吸引力的重要特征,在社交形象中起着关键作用[2]。随着社会经济的发展,人们对于前牙美观的要求越来越高,修复美学效果达不到患者的期望,也往往会影响医患关系[3],尤其当今社会上还存在一些不规范的“美牙”服务,就更需要专业的口腔工作者给予规范的引导[4]。本文基于多年口腔美学修复的临床、教学和科研工作,总结了一些前牙美学修复的经验和教训,例如:前牙美学修复有几个关键的美学参数,需要口腔修复医生记忆、理解和运用[5];复杂前牙美学修复是一个系统工程,需要多学科的协作等[6]。为保证最终的美学效果,前牙美学修复需要在初始阶段先进行以美学为导向的全局设计,并在治疗过程中关注细节、精准实施,以提高前牙美学修复的成功率。
1 前牙美学修复的整体策略
图1
图1
前牙美学修复的整体策略
Figure 1
The overall strategy of aesthetic restoration of anterior teeth
1.1 美学分析
前牙美学修复的目标是解决患者的美学问题,尽量达到患者的美学期望。美学分析是美学修复的第一步,其具体目的是发现患者前牙美学的问题[7]。
美学分析需要在患者初诊时记录患者初始的美学状态,方法包括数码摄影(口腔及面部照片),取研究模型,获取数字化扫描数据(牙列及面部三维扫描)等,然后进行牙齿、牙龈和面部的形态、比例等参数分析,通过比较患者个性参数与标准美学参数之间的差异,发现并记录患者的美学缺陷。下文对各种资料的采集要点进行阐述,并指出一些重要细节。
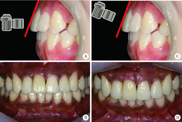
图2
图2
前牙美学分析照片拍摄时要注意拍摄角度
Figure 2
Attention should be paid to the shooting angle when taking photos of anterior teeth for aesthetic analysis
A, the shooting angle is not perpendicular to the tooth surface; B, the photo cannot reflect the actual width-to-length ratio of the crown and the incisal edge curvature; C, the shooting angle is perpendicular to the tooth surface; D, the photo can reflect the actual width-to-length ratio of the crown and the incisal edge curvature.
美学照片一般使用单反相机配合微距镜头、微距闪光灯拍摄,若无专业摄影器材,也可以考虑使用便携式口腔摄影系统(如智能手机搭配Smile Lite MDP)拍摄[10]。在便携式摄影系统中需要对放大倍率、色温条件等参数进行设定,尽量减少图片的畸变和色差。
如果要进行三维的美学分析,需要留存患者的研究模型,传统方式为制取硅橡胶或藻酸盐印模后灌注石膏模型。随着数字化技术在口腔医学领域的发展,也可以将来自口内扫描仪的三维牙列数据和来自面部扫描仪的面部三维数据配准和复合[11],对前牙美学修复效果进行三维分析与设计,从而可以排除拍摄角度的影响,有利于医生从全方位、多角度进行美学分析。
在照片、研究模型和数字化三维数据的基础上,医生可以对各项美学参数进行测量,并与标准参数进行对照分析,找出患者存在的美学问题。一些重要的美学参数将在本文第二部分进行详细阐述。
1.2 美学设计
美学设计的方法可以大体分为二维美学设计和三维美学设计两种形式[14]。
三维美学设计可以实现修复效果的三维预测,并减少二维美学设计在设计与实现中的信息传递偏差,治疗设计可直接转化为诊断模型,并通过数字化制作技术将治疗设计转移至最终修复体上,实现“所见即所得”的治疗效果[11]。
目前的美学设计主要为二维和三维的形式,然而患者的表情是动态的,二维、三维的设计无法呈现出患者在各种表情状态下的美学效果。基于这个问题,本课题组探索了四维美学设计方法,能够展示动态表情下的美学设计效果,更利于与患者的沟通,也更有助于指导最终修复体的制作和保证美学修复的效果[16]。
1.3 美学沟通
前两个环节中,医生可根据客观的美学因素进行美学分析与设计,然而审美是因人而异的,患者的主观感受非常重要。在美学沟通的环节中,具体目的是与患者确认方案,在确认方案的过程中参考患者的意见,才能达到令患者满意的效果。
在美学沟通阶段,医生可应用上一步美学设计环节中的原始图像、二维模拟图像、蜡型或数字三维模型与患者进行沟通,以可视化的方式告知患者存在的美学问题,需要采取的改善方案,以及最终能够达到的美学效果。沟通过程中需要了解患者的期望,获得患者对治疗方案的理解和认同,增加医患之间的相互信任[17]。需要的时候还可以应用诊断饰面(mock up)等方法[7],将美学设计的结果翻制到患者的口内,沟通效果更为直观。医生可以在技师手工制作的蜡型或者三维打印的数字化诊断模型上制作硅橡胶阴模,向阴模内注入暂时修复树脂材料,翻制到患者口内形成诊断饰面,也可以直接通过三维打印或切削制作[18]诊断饰面。必要时,诊断饰面还可以让患者戴用一段时间,以获得患者家人和朋友的认可。
美学沟通中需要关注患者的反馈,请患者参与到诊疗方案的完善过程中,在此阶段,医生需客观描述美学修复的预期结果,不要过度承诺,防止最终美学修复效果无法达到患者期望而引起医患不和谐[3]。
1.4 美学实现
2 前牙美学修复相关的重要美学参数
美学分析和美学设计过程中,相关的前牙美学参数有很多,其中最重要的几个方面分别是:静息时上中切牙的切缘位置、微笑时上前牙的切缘连线、上中切牙牙冠的宽长比、上前牙正面观的宽度比、上前牙的龈缘位置。通过采集静息、微笑时的口唇照片及拉钩辅助下的全牙列照片,可以对以上参数进行分析。
2.1 静息时上中切牙的切缘位置
图3
图3
前牙美学修复相关的重要美学参数
Figure 3
Important aesthetic parameters related to aesthetic restoration of anterior teeth
A, exposure of upper central incisors at rest; B, the ideal smile arc has the maxillary incisal edge curvature parallel to the curvature of the lower lip; C, changing the distal-incisal angle of the central and lateral incisors can adjust the incisal edge curvature; D, the width-to-length ratio of the maxillary central incisors; E, the ratios of the mesiodistal widths of the maxillary central incisors, lateral incisors and canines in the front view; F, the position of the gingival margin of the upper anterior teeth.
2.2 微笑时上前牙切缘连线
2.3 上中切牙牙冠的宽长比
2.4 上前牙正面观的宽度比
上前牙正面观的宽度比有两个比例可以参考,分别是黄金分割比例(上中切牙 ∶侧切牙 ∶尖牙=1.618 ∶1.000 ∶0.618)[30]和Preston比例(上中切牙 ∶侧切牙 ∶尖牙=1.51 ∶1.00 ∶0.84)(图3E)[31]。一项关于中国人前牙美学参数的网络调查研究发现,中国人对Preston比例的选择率更高[32]。关于Preston比例的原始文献中将该比例表述为:正面观上颌中切牙与侧切牙的宽度比为1.51 ∶1.00,侧切牙与尖牙的宽度比为 1.19 ∶1.00[31],为了让这个比例更容易记忆和应用,本课题组参考黄金分割比例的表述方法,将Preston比例表述为1.51 ∶1.00 ∶0.84。
2.5 上前牙的龈缘位置
3 前牙美学修复的多学科合作
对于复杂的前牙美学修复病例,术前的美学分析、设计是非常关键的,医生需要根据患者的检查、诊断,判断是否能够通过修复单一学科解决美学问题。前牙美学缺陷包括牙体硬组织缺损,牙齿颜色、形态、排列不良,牙间隙,个别牙缺失,牙龈美学不良等[7],其中,牙齿形态缺陷、个别牙缺失、部分颜色缺陷及少量牙间隙等问题可通过修复单一学科治疗获得较为理想的治疗效果。然而,当患者存在咬合关系异常、牙齿排列不齐、牙间隙较大等问题时,往往需要通过正畸-修复联合治疗完成美学重建[34]。对于伴有牙周软组织形态不良的患者,常有临床冠宽长比不良、牙龈曲线不协调、龈缘位置不对称、露龈笑等问题,需要牙周-修复联合治疗以获得理想的美学修复效果。对于存在多个学科相关问题的患者,还需要多学科联合治疗才能达到良好的美学效果[34,35](图4)。
图4
图4
前牙美学修复多学科合作的决策流程
Figure 4
Decision-making process for multidisciplinary aesthetic treatment
4 讨论与展望
前牙美学修复是一项既要从宏观角度全局设计,又要从微观角度关注和把握细节的工作。在各个环节中,美学分析和设计既是美学修复的起点,也决定了美学修复的终点,此环节对于未来目标的精准预测是治疗成功的前提。目前针对数字化美学设计的研究中,对正面美学效果的预测已经可以达到较为理想的效果,然而对侧貌美学效果的预测仍需要进一步研究探索。本课题组的研究表明,前牙唇舌向的突度改变在2 mm之内,对侧貌的影响并不显著,更大范围的牙列及颌骨改变对侧貌产生的影响还需要进一步的研究。
总之,前牙美学修复是一类复杂的口腔治疗项目,其效果依赖于规范的整体设计和精准的细节操作,对口腔修复医生的理论和实际操作水平有很高的要求。随着数字化技术的不断进步,未来人工智能和机器学习可望有效辅助医生完成美学分析、美学设计的过程,提升美学沟通和美学实现的效率,让更多的患者受益。
参考文献
Patients' satisfaction with dental esthetics
[J].Esthetics has become an important issue in modern society, as it seems to define one's character. In the past, functional demands were the main consideration in dental treatment. Today, with the decrease in caries prevalence, the focus has shifted toward dental esthetics. The authors conducted a study to evaluate the factors influencing patients' satisfaction with their dental appearance and with the results of esthetic treatment.The authors surveyed a population of 407 adults (mean age, 21 years). They distributed a questionnaire regarding satisfaction with current dental esthetics and previous esthetic treatments.Of the 407 subjects, 152 (37.3 percent) were dissatisfied with their dental appearance. Tooth color was the primary reason for dissatisfaction (133 [89.3 percent] of 149 subjects), followed by poor tooth alignment (36 [23.7 percent] of 152 subjects), although 110 (27 percent) of the 407 subjects had received orthodontic treatment. The authors found no correlation between patients' satisfaction with their dental appearance and having undergone any procedure to whiten their teeth. Nevertheless, 134 (88.2 percent) of the dissatisfied subjects reported that they would like to undergo this procedure.Tooth color was a major factor with regard to dental esthetics. Most subjects were interested in improving their appearance and whitening their teeth.When planning treatment, dentists should take into consideration esthetic objectives in addition to function, structure and biology. This requires the clinician to rely on several disciplines in dentistry to deliver the highest level of dental care, which should lead to a higher level of patient satisfaction.
Factors influencing patient satisfaction with dental appearance and treatments they desire to improve aesthetics
[J].DOI:10.1186/1472-6831-11-6 URL [本文引用: 1]
Ethical marketing in “aesthetic” (“esthetic”) or “cosmetic dentistry”. Part 1
[J].Prior to undertaking any elective,'cosmetic' dental procedures, it is vital for the treating dentist to discuss the merits and drawbacks of all viable options. It is important that the patient understands what the consequences and limitations of treatment are likely to be, and what the potential failures could entail later in his/her life. Informed consent should be obtained (preferably in writing) and the clinical notes and records should be clearly documented, with accurate and concise details provided of all the investigations carried out, and their findings, as well as including details of the various discussions that have taken place. Dentists need to be aware of the existence of heightened expectations in this group of patients and be cautious about accepting patients who have unrealistic 'cosmetic' expectations. Where possible, cosmetic or aesthetic dental treatment should be provided which is minimally destructive and, in the long-term, be in the 'best interests' of the patient. Important matters such as the gaining of informed consent and maintaining meticulous, contemporaneous dental records will also be emphasized. It is hoped that the article will provide clear definitions of some commonly used terms such as 'ethical marketing', 'ethics', and 'values', which are often used in association with the marketing, planning and undertaking of supposedly 'cosmetic' dental procedures. The important role of less invasive alternative treatment options will also be emphasized.The aims of this article are to consider the common pitfalls that may arise when contemplating the marketing and provision of invasive,'cosmetic, dental restorations and to discuss how best to avoid a dento-legal claim where such treatment plans may not fulfil the patient's desired outcome.
10 commandments of smile esthetics
[J].
DOI:10.1590/2176-9451.19.4.136-157.sar
PMID:25279532
[本文引用: 3]
The search for esthetic treatment has persisted in the routine of dental professionals. Following this trend, dental patients have sought treatment with the primary aim of improving smile esthetics. The aim of this article is to present a protocol to assess patient's smile: The 10 Commandments of smile esthetics.
Digital smile design and mock-up technique for esthetic treatment planning with porcelain laminate veneers
[J].DOI:10.4103/JCD.JCD_172_18 URL [本文引用: 1]
Virtual smile design systems: A current review
[J].In the age of digital dentistry, virtual treatment planning is becoming an increasingly important element of dental practice. Thanks to new technological advances in the computer- assisted design and computer-assisted manufacturing (CAD/CAM) of dental restorations, predictable interdisciplinary treatment using the backward planning approach appears useful and feasible. Today, a virtual smile design can be used as the basis for creating an esthetic virtual setup of the desired final result. The virtual setup, in turn, is used to plan further treatment steps in an interdisciplinary team approach, and communicate the results to the patient. The smile design concept and the esthetic analyses required for it are described in this article. We include not only a step-by-step description of the virtual smile design workflow, but also describe and compare the several available smile design options and systems. Subsequently, a brief discussion of the advantages and limitations of virtual smile design is followed by a section on different ways to integrate a two-dimensional (2D) smile design into the digital three-dimensional (3D) workflow. New technological developments are also described, such as the integration of smile designs in digital face scans, and 3D diagnostic follow-up using intraoral scanners.
Digital smile design: An innovative tool in aesthetic dentistry
[J].
DOI:10.1016/j.jobcr.2020.04.010
PMID:32373450
[本文引用: 1]
A fundamental objective of an aesthetic treatment is the patient's satisfaction and that the outcome of the treatment should meet the patient's expectation of enhancing his/her facial aesthetics and smile. A patient constantly doubting the end result of the treatment, which is an irreversible procedure, can be motivated and educated through Digital Smile Designing (DSD) technique. DSD is a technical tool which is used to design and modify the smile of patients digitally and help them to visualize it beforehand by creating and presenting a digital mockup of their new smile design before the treatment physically starts. It helps in visual communication and involvement of the patients in their own smile design process, thus ensuring predictable treatment outcome and increasing case acceptance. This article reviews the aspects of digital smile designing in aesthetic dental practice pertaining to its use, advantages, limitations and future prospects.© 2020 Craniofacial Research Foundation. Published by Elsevier B.V. All rights reserved.
Four-dimensional digital prediction of the esthetic outcome and digital implementation for rehabilitation in the esthetic zone
[J].DOI:10.1016/j.prosdent.2019.04.007 URL [本文引用: 1]
Fully digital workflow, integrating dental scan, smile design and CAD-CAM: Case report
[J].
DOI:10.1186/s12903-018-0597-0
PMID:30086753
[本文引用: 1]
Background: This report is a presentation of a clinical case that follows a full digital workflow.Case presentation: A 47-year old man presented with pain in the TMJ (temporomandibular joint) and whose aesthetic concern was having a chipped maxillary central incisor veneer. The concern was solved following a fully digital workflow: it was applied the digital smile design protocol, as well as CAD-CAM monolithic lithium disilicate ceramic veneers and crowns (following a minimal invasive preparation approach). The aim of this rehabilitation was to solve a loss of vertical dimension, subsequent aesthetics and temporomandibular joint disorders.Conclusion: Thanks to the evolution of technology in dentistry, it is possible to do a full digital case and solve problems such as loss of vertical dimension successfully. Nevertheless, more clinical studies are needed to obtain consistent results about the digital work flow compared to the conventional technique in loss of vertical dimension cases.
The step further smile virtual planning: Milled versus prototyped mock-ups for the evaluation of the designed smile characteristics
[J].DOI:10.1186/s12903-020-01145-z URL [本文引用: 1]
A digitally guided dual technique for both gingival and bone resection during crown lengthening surgery
[J].DOI:10.1016/j.prosdent.2017.04.018 URL [本文引用: 1]
A review of virtual planning software for guided implant surgery: Data import and visualization, drill guide design and manufacturing
[J].DOI:10.1186/s12903-020-01208-1 URL [本文引用: 1]
The visible portion of anterior teeth at rest
[J].DOI:10.5005/jcdp-5-1-53 URL [本文引用: 2]
Changes in the aging upper lip: A photomorphometric and MRI-based study (on a quest to find the right rejuvenation approach)
[J].DOI:10.1016/j.bjps.2008.06.001 URL [本文引用: 1]
Interdisciplinary management of anterior dental esthetics
[J].DOI:10.14219/jada.archive.2006.0140 URL [本文引用: 2]
The kinetics of anterior tooth display
[J].
DOI:10.1016/s0022-3913(78)80179-6
PMID:349139
[本文引用: 1]
A survey has been presented that correlates measurements of upper lip type, sex, race, and age of dentulous patients with the amount of exposure of the maxillary and mandibular anterior teeth with the lips gently parted and in the resting position. Perhaps the most interesting finding was the gradual reduction in the amount of maxillary central incisor exposure with an increase in age, accompanied by a gradual increase in the mandibular tooth exposure. The importance of the amount of mandibular teeth seen in complete dentures has not been sufficiently emphasized in previous literature.
The principles of visual perception and their clinical application to denture esthetics
[J].
End points and assessments in esthetic dental treatment
[J].DOI:10.1016/j.jpor.2015.05.002 URL [本文引用: 2]
Assessment of dental appearance following changes in incisor proportions
[J].This study aimed to evaluate the assessment of attractiveness of standardized changes in incisor proportions. Two original photographs, showing the maxillary anterior teeth in the frame of a smile, were computer-manipulated. From the so-produced symmetrical 'golden standard' images, two sets were constructed. Each set contained one golden standard image and seven images with different standardized changes concerning (i) width-to-length ratios of the central incisors (60-96%) and (ii) tooth-to-tooth proportions between the widths of lateral and central incisors (43-87%). The judges, consisting of three groups of individuals (24 dentists, 24 medical students, and 179 patients), ranked each photo set for attractiveness on a visual analogue scale. The width-to-length ratios were assessed as most attractive within a range of 75-85% (medical students, patients) or 75-80% (dentists), respectively. The tooth-to-tooth proportions showed the best results concerning attractive appearance within a range of 50-74% (medical students, patients) or 56-68% (dentists), respectively. No significant differences between the participant groups were found except for some extreme variations. It was concluded that a most attractive 'golden range' could be identified for both the width-to-length ratios and the tooth-to-tooth proportions of the maxillary incisors.
Dental esthetics and the golden proportion
[J].A system of esthetic predictions is described that has been used since antiquity. The naturalness of the system is emphasized by showing examples from nature and how artists and designers use it. The application of this system to dental esthetics is facilitated by the description and inclusion of a dental grid for the anterior esthetic segment.
The golden proportion revisited
[J].
Some esthetic factors in a smile
[J].A survey of the characteristics of an open smile was conducted with 454 full-face photographs of randomly selected dental and dental hygiene students. Findings show that an average smile exhibits approximately the full length of the maxillary anterior teeth, has the incisal curve of the teeth parallel to the inner curvature of the lower lip, has the incisal curve of the maxillary anterior teeth touching slightly or missing slightly the lower lip, and displays the six upper anterior teeth and premolars. Consideration of the characteristics may be useful in improving the esthetics of restorations.
/
| 〈 |
|
〉 |

