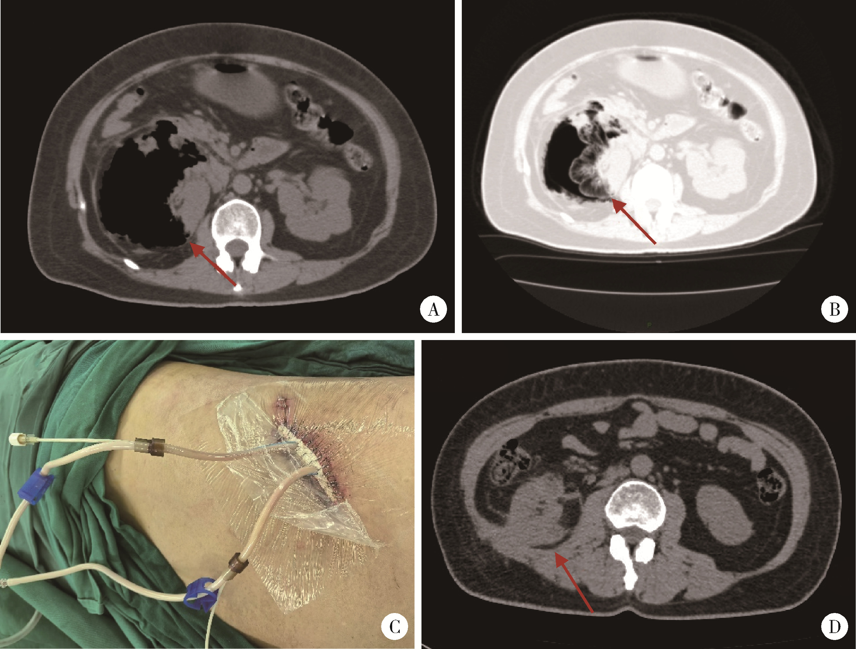
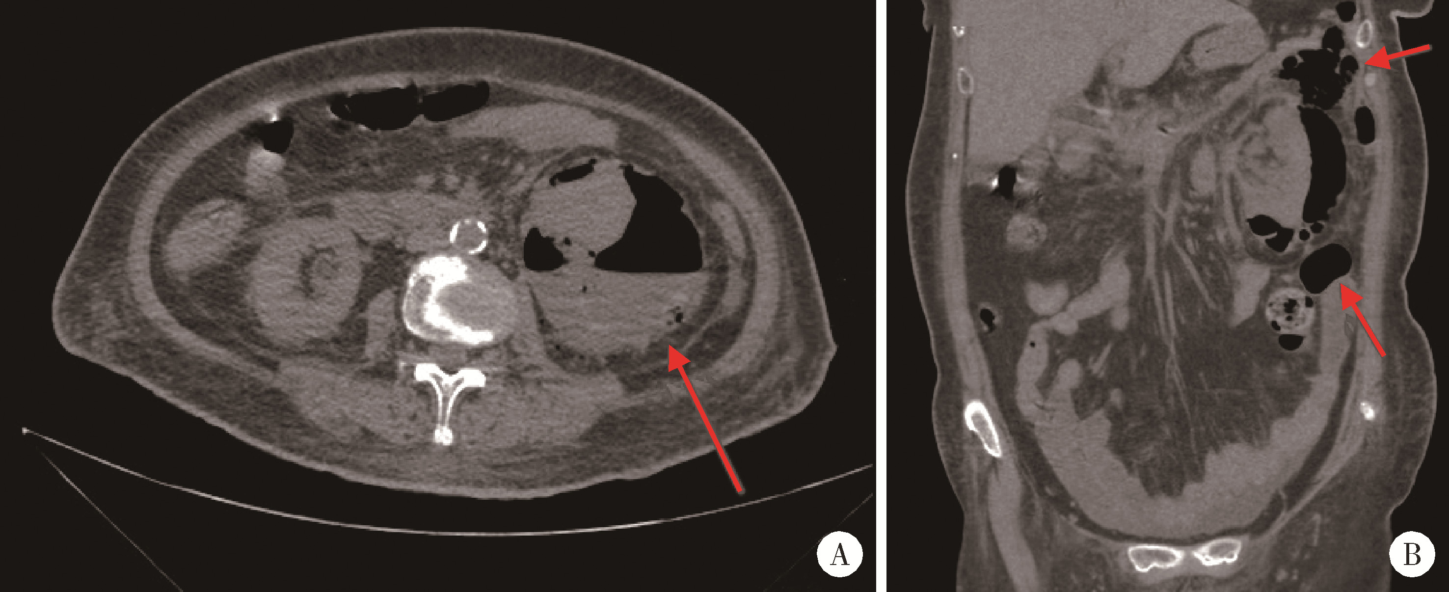
| 1 |
Rahoui M , Ouanes Y , Chaker K , et al. Predictive factors for fai-lure of conservative management in patients with emphysematous pyelonephritis[J]. Ann Med Surg (Lond), 2022, 78, 103930.
|
| 2 |
Desai R , Batura D . A systematic review and meta-analysis of risk factors and treatment choices in emphysematous pyelonephritis[J]. Int Urol Nephrol, 2022, 54 (4): 717- 736.
|
| 3 |
Al-Salimi I , Al-Bu Saidi S , George K , et al. Disparities observed in the use of percutaneous drainage techniques[J]. Sultan Qaboos Univ Med J, 2022, 22 (1): 113- 116.
|
| 4 |
Irfaan AM , Shaikh NA , Jamshaid A , et al. Emphysematous pyelonephritis: A single center review[J]. Pak J Med Sci, 2020, 36 (Suppl 1): S83- S86.
|
| 5 |
Huang JJ , Tseng CC . Emphysematous pyelonephritis: Clinicoradiological classification, management, prognosis, and pathogenesis[J]. Arch Intern Med, 2000, 160 (6): 797- 805.
|
| 6 |
Wang HD , Zhu XF , Xu X , et al. Emphysematous pyelonephritis treated with vacuum sealing drainage[J]. Chin Med J (Engl), 2017, 130 (2): 247- 248.
|
| 7 |
Wu SY , Yang SS , Chang SJ , et al. Emphysematous pyelonephritis: Classification, management, and prognosis[J]. Tzu Chi Med J, 2022, 34 (3): 297- 302.
|
| 8 |
Aggarwal D , Mandal S , Parmar K , et al. Predictors of mortality and nephrectomy in emphysematous pyelonephritis: A tertiary care centre study[J]. Ann R Coll Surg Engl, 2023, 105 (4): 323- 330.
|
| 9 |
Ma LP , Zhou N , Fu Y , et al. Emphysematous pyelonephritis: Six case reports and review of literature[J]. World J Clin Cases, 2022, 10 (10): 3268- 3277.
|
| 10 |
Fukunaga S , Naito Y , Hoshino Y , et al. Indications for percutaneous drainage in patients with Huang class 3B emphysematous pyelonephritis: A case report and literature review[J]. Intern Med, 2023, 62 (19): 2871- 2876.
|
| 11 |
Ubee SS , McGlynn L , Fordham M . Emphysematous pyelonephritis[J]. BJU Int, 2011, 107 (9): 1474- 1478.
|
| 12 |
Olvera-Posada D , Garcia-Mora A , Culebro-Garcia C , et al. Prognostic factors in emphysematous pyelonephritis[J]. Actas Urol Esp, 2013, 37 (4): 228- 232.
|
| 13 |
Wan YL , Lee TY , Bullard MJ , et al. Acute gas-producing bacterial renal infection: Correlation between imaging findings and clinical outcome[J]. Radiology, 1996, 198 (2): 433- 438.
|
| 14 |
Shokeir AA , El-Azab M , Mohsen T , et al. Emphysematous pyelonephritis: A 15-year experience with 20 cases[J]. Urology, 1997, 49 (3): 343- 346.
|
| 15 |
Ngo XT , Nguyen TT , Dobbs RW , et al. Prevalence and risk factors of mortality in emphysematous pyelonephritis patients: A meta-analysis[J]. World J Surg, 2022, 46 (10): 2377- 2388.
|