Journal of Peking University (Health Sciences) ›› 2025, Vol. 57 ›› Issue (6): 1061-1066. doi: 10.19723/j.issn.1671-167X.2025.06.007

Previous Articles     Next Articles

Clinical features and prognosis of sarcoidosis with ocular lesions as the initial manifestation

Jiajing PENG, Li CUI*()   

  1. Department of Rheumatology and Immunology, Beijing Tongren Hospital, Capital Medical University, Beijing 100730, China
  • Received:2025-10-17 Online:2025-12-18 Published:2025-10-28
  • Contact: Li CUI

RICH HTML

  

Abstract:

Objective: To evaluate the clinical features of sarcoidosis with ocular lesions as the initial manifestation and to analyze its treatment and prognostic outcomes. Methods: A retrospective study was conducted to evaluate the clinical data of sarcoidosis patients from July 2010 to July 2025 in the Department of Rheumatology and Immunology, Beijing Tongren Hospital. Results: Among the 23 patients, the male-to-female ratio was 1 ∶ 2.3, with a mean age of (45.1±14.1) years, a median disease duration of 0.5 (0.25, 1.50) years, and a median diagnosis time of 0.5 (0.20, 1.00) years. Fourteen patients presented with ocular lesions as the initial manifestations, while 9 patients had non-ocular lesions (such as respiratory system involvement or joint swelling/pain) as the initial manifestations. The most common ocular lesions were non-infectious uveitis and orbital masses. Orbital masses were most commonly encountered as lacrimal gland enlargement. Other ocular lesions included optic neuritis and optic perineuritis. The median follow-up time was 21.21 (5.00, 147.29) months. Following treatment, all the patients achieved significant clinical improvement, of whom 3 patients with non-infectious uveitis and 1 with optic perineuritis showed improved visual acuity and overall visual function. During the follow-up period, 2 patients with sarcoidosis experienced disease recurrence. After their treatment regimens were reinitiated, both patients achieved remission with a favorable prognosis. Compared with the patients with non-ocular-onset as the initial manifestation, the patients with ocular-onset as the initial manifestation had a significantly longer diagnosis time, and the difference was statistically significant (P =0.025). The C-reactive protein (CRP) level was 1.90 (0.50, 4.62) mg/L in the ocular-onset group and 11.70 (0.90, 31.45) mg/L in the non-ocular-onset group, and the difference was statistically significant (P =0.042). The erythrocyte sedimentation rate (ESR) was 14.00 (8.50, 24.00) mm/h in the ocular-onset group and 26.00 (15.50, 47.00) mm/h in the non-ocular-onset group, and the difference was statistically significant (P =0.033). The ocular-onset group had significantly lower levels of both CRP and ESR compared with the non-ocular-onset group. Conclusion: Sarcoidosis with ocular-onset as the initial manifestation poses diagnostic challenges, as routine inflammatory markers have limited utility in suggesting the disease and thus it is easily overlooked. Therefore, enhancing clinicians' ability to recognize these ocular-onset features is crucial for achieving early diagnosis and enabling timely intervention.

Key words: Sarcoidosis, Non-infectious uveitis, Lacrimal gland enlargement

CLC Number: 

  • R593.2

Figure 1

Fundus fluorescein angiography of bilateral non-infectious uveitis in sarcoidosis Fundus fluorescein angiography reveals bilateral peripheral capillary leakage. A, right eye; B, left eye."

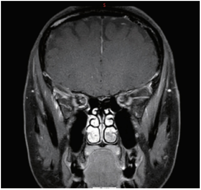
Figure 2

Orbital magnetic resonance imaging of lacrimal gland enlargement in sarcoidosis Orbital magnetic resonance imaging demonstrates bilateral lacrimal gland enlargement with anterior displacement, exhibiting mildly hypointense signal on T1-weighted imaging (A) and hyperintense signal on T2-weighted imaging (B), with marked enhancement post-contrast administration (C)."

Figure 3

Orbital magnetic resonance imaging of optic perineuritis in sarcoidosis Orbital magnetic resonance imaging shows enhancement of the sheath in the posterior intraorbital segment and intracanalicular segment of the left optic nerve."

Table 1

Clinical characteristics in sarcoidosis patients with ocular-onset or non-ocular-onset as the initial manifestation"

Items Ocular-onset (n=14) Non-ocular-onset (n=9) P value
Female, n(%) 7 (50) 9 (100) 0.019
Age/years, $\bar x \pm s$ 45.00±15.84 45.22±11.71 0.972
Age of onset/years, $\bar x \pm s$ 42.54±15.22 44.68±11.57 0.722
CRP/(mg/L), M (P25P75) 1.90 (0.50, 4.62) 11.70 (0.90, 31.45) 0.042
ESR/(mm/h), M (P25P75) 14.00 (8.50, 24.00) 26.00 (15.50, 47.00) 0.033
ACE/(U/L), $\bar x \pm s$ 37.36±18.33 44.33±24.95 0.448
IgG/(mg/dL), $\bar x \pm s$ 1 196.48±249.65 1 283.44±395.03 0.544
IgA/(mg/dL), $\bar x \pm s$ 218.69±107.86 275.86±127.95 0.281
IgM/(mg/dL), $\bar x \pm s$ 103.64±43.97 135.76±56.38 0.158
Complement C3/(mg/dL), $\bar x \pm s$ 110.08±31.11 134.39±25.73 0.077
Complement C4/(mg/dL), $\bar x \pm s$ 27.34±11.23 31.02±7.46 0.412
Duration/years, M (P25P75) 1.00 (0.36, 4.25) 0.50 (0.23, 0.75) 0.092
Time to diagnosis/years, M (P25P75) 1.00 (0.36, 1.50) 0.20 (0.10, 0.75) 0.025
Follow-up time/months, M (P25P75) 24.23 (2.78, 148.42) 12.54 (10.15, 122.34) 0.801
1
Arkema EV , Cozier YC . Sarcoidosis epidemiology: Recent estimates of incidence, prevalence and risk factors[J]. Curr Opin Pulm Med, 2020, 26 (5): 527- 534.

doi: 10.1097/MCP.0000000000000715
2
Iannuzzi MC , Rybicki BA , Teirstein AS . Sarcoidosis[J]. N Engl J Med, 2007, 357 (21): 2153- 2165.

doi: 10.1056/NEJMra071714
3
中华医学会呼吸病学分会间质性肺疾病学组, 中国医师协会呼吸医师分会间质性肺疾病工作委员会. 中国肺结节病诊断和治疗专家共识[J]. 中华结核和呼吸杂志, 2019, 42 (9): 685- 693.
4
Besnier ME . Synovites fongueuses (scrofulo-tuberculeuses) symétriques des extrémités supérieures[J]. Ann Dermatol Syphiligr (Paris), 1889, 10, 333- 336.
5
Rybicki BA , Major M , Popovich J Jr , et al. Racial differences in sarcoidosis incidence: A 5-year study in a health maintenance organization[J]. Am J Epidemiol, 1997, 145 (3): 234- 241.

doi: 10.1093/oxfordjournals.aje.a009096
6
Haimovic A , Sanchez M , Judson MA , et al. Sarcoidosis: A comprehensive review and update for the dermatologist: Part Ⅰ. Cutaneous disease[J]. J Am Acad Dermatol, 2012, 66 (5): 699.e1- 699.18; quiz 717-778.

doi: 10.1016/j.jaad.2011.11.965
7
Adrianto I , Lin CP , Hale JJ , et al. Genome-wide association study of African and European Americans implicates multiple shared and ethnic specific loci in sarcoidosis susceptibility[J]. PLoS One, 2012, 7 (8): e43907.

doi: 10.1371/journal.pone.0043907
8
Meguro A , Ishihara M , Petrek M , et al. Genetic control of CCL24, POR, and IL23R contributes to the pathogenesis of sarcoidosis[J]. Commun Biol, 2020, 3 (1): 465.

doi: 10.1038/s42003-020-01185-9
9
Li QH , Zhang Y , Zhao MM , et al. Simultaneous amplification and testing method for Mycobacterium tuberculosis rRNA to differentiate sputum-negative tuberculosis from sarcoidosis[J]. Am J Physiol Lung Cell Mol Physiol, 2019, 316 (3): L519- L524.

doi: 10.1152/ajplung.00172.2018
10
Lee H , Eom M , Kim SH , et al. Identification of Mycobacterium tuberculosis and non-Tuberculous mycobacteria from Cutaneous sarcoidosis lesions by reverse blot hybridization assay[J]. J Dermatol, 2019, 46 (10): 917- 921.

doi: 10.1111/1346-8138.15042
11
Negi M , Takemura T , Guzman J , et al. Localization of pro-pionibacterium acnes in granulomas supports a possible etiologic link between sarcoidosis and the bacterium[J]. Mod Pathol, 2012, 25 (9): 1284- 1297.

doi: 10.1038/modpathol.2012.80
12
Ishige I , Usui Y , Takemura T , et al. Quantitative PCR of mycobacterial and propionibacterial DNA in lymph nodes of Japanese patients with sarcoidosis[J]. Lancet, 1999, 354 (9173): 120- 123.

doi: 10.1016/S0140-6736(98)12310-3
13
Eishi Y . Etiologic link between sarcoidosis and Propionibacterium acnes[J]. Respir Investig, 2013, 51 (2): 56- 68.

doi: 10.1016/j.resinv.2013.01.001
14
He D , Tao T , Peng X , et al. Prevalence and clinical characteristics of ocular sarcoidosis among non-infectious uveitis in a Chinese tertiary ophthalmic center: A retrospective observational study[J]. BMC Ophthalmol, 2025, 25 (1): 386.

doi: 10.1186/s12886-025-04165-x
15
Herbort CP , Rao NA , Mochizuki M . International criteria for the diagnosis of ocular sarcoidosis: Results of the first International Workshop on Ocular Sarcoidosis (IWOS)[J]. Ocul Immunol Inflamm, 2009, 17 (3): 160- 169.

doi: 10.1080/09273940902818861
16
Mochizuki M , Smith JR , Takase H , et al. Revised criteria of International Workshop on Ocular Sarcoidosis (IWOS) for the diagnosis of ocular sarcoidosis[J]. Br J Ophthalmol, 2019, 103 (10): 1418- 1422.

doi: 10.1136/bjophthalmol-2018-313356
17
Reich JM . Corticosteroid therapy and relapse in sarcoidosis[J]. Chest, 1998, 113 (2): 559- 560.
[1] Yuan LIU, Guixiu SHI. Change from Sjögren syndrome to Sjögren disease [J]. Journal of Peking University (Health Sciences), 2025, 57(6): 1015-1017.
[2] Yirui LIAN, Jingxuan LIU, Liang ZHAO, Jing ZHAO, Sitian ZANG, Yuhui LI. Rheumatic disease spectrum and immunological profile of anti-PM/Scl antibodies in idiopathic inflammatory myopathies [J]. Journal of Peking University (Health Sciences), 2025, 57(6): 1018-1023.
[3] Tao WU, Jianzi LIN, Yafeng ZHU, Jianda MA, Peiwen JIA, Lijuan YANG, jie PAN, Yaowei ZOU, Ying YANG, Ye LU, Lie DAI. Serum inter-alpha-trypsin inhibitor heavy chain H3 is identified as a potential biomarker for myopenia in patients with rheumatoid arthritis using proteomic profiling [J]. Journal of Peking University (Health Sciences), 2025, 57(6): 1024-1031.
[4] Wenhao LIN, Yang XIE, Fangqing WANG, Shuying WANG, Xiangjun LIU, Fanlei HU, Yuan JIA. Single-cell RNA sequencing of B cells reveals molecular typing in Sjögren syndrome [J]. Journal of Peking University (Health Sciences), 2025, 57(6): 1032-1041.
[5] Zhao XIANG, Li YANG, Jing YANG. Untargeted metabolomics reveals differential serum metabolites and metabolic pathways in patients with primary Sjögren syndrome and thrombocytopenia [J]. Journal of Peking University (Health Sciences), 2025, 57(6): 1042-1050.
[6] Yayun ZHAO, Mengfan NI, Xue LI, Bei WANG, Gong CHENG, Jing HE, Yuebo JIN. Clinical efficacy and safety of rituximab in treating renal injury in primary Sjögren syndrome [J]. Journal of Peking University (Health Sciences), 2025, 57(6): 1051-1060.
[7] Yajing GAO, Zhengfang LI, Mengsi MA, Lijun WU. Role of the SII and SIRI in risk prediction, disease activity assessment, and prog-nostic evaluation of Behçet disease uveitis [J]. Journal of Peking University (Health Sciences), 2025, 57(6): 1067-1073.
[8] Xiaolin WANG, Shaoyi GUO, Dazhao CHEN, Xijie WEN, Yong HUA, Liang ZHANG, Qin ZHANG. A follow-up study on total hip arthroplasty in patients with systemic lupus erythematosus combined with osteonecrosis of femoral head [J]. Journal of Peking University (Health Sciences), 2025, 57(6): 1081-1088.
[9] Xinfeng WU, Siliang MAN, Dazhao CHEN, Yong HUA, Xijie WEN, Yingyue DING, Liang ZHANG, Xiujuan HOU. A long-term review for radiographic parameters of hips in axial spondyloarthritis patients with end-stage hip involvement: A 24-year trend analysis from a single high-volume tertiary center [J]. Journal of Peking University (Health Sciences), 2025, 57(6): 1089-1095.
[10] Jingwen LAN, Zhe CHEN, Yongjing CHENG, Like ZHAO. Clinical characteristics, efficacy and safety of antifibrotic agents in elderly patients with connective tissue disease-associated interstitial lung disease [J]. Journal of Peking University (Health Sciences), 2025, 57(6): 1101-1106.
[11] Yanyan LI, Xiangjun LIU, Gongming LI, Chun LI, Yuan JIA. Clinic behavior and therapeutic status of patients with antiphospholipid syndrome [J]. Journal of Peking University (Health Sciences), 2025, 57(6): 1107-1112.
[12] Chun WEI, Yue YANG, Xinju ZHAO, Xu LIU, Yuan JIA. Systemic lupus erythematosus complicated by autoimmune nodopathy: A case report [J]. Journal of Peking University (Health Sciences), 2025, 57(6): 1174-1179.
[13] Qi DONG, Jing HE, Yuan JIA, Haihong YAO, Xia ZHANG. VEXAS syndrome mimicking relapsing polychondritis: A case report [J]. Journal of Peking University (Health Sciences), 2025, 57(6): 1180-1183.
[14] Kai ZHAO, Fu'ai LU, Yongfu WANG. Central nervous system infection mimicking neuropsychiatric systemic lupus erythematosus: A case report [J]. Journal of Peking University (Health Sciences), 2025, 57(6): 1188-1192.
[15] Xuebing LYU, Xuanhua YU, Weizhen ZHANG, Changquan LIU, Huhan LIN, Shanting ZENG, Huijuan HUANG, Yueping WU. Rheumatoid arthritis complicated with necrotizing fasciitis: A case report [J]. Journal of Peking University (Health Sciences), 2025, 57(6): 1198-1202.
Viewed
Full text


Abstract

Cited

  Shared   
  Discussed   
No Suggested Reading articles found!