Journal of Peking University (Health Sciences) ›› 2026, Vol. 58 ›› Issue (1): 107-114. doi: 10.19723/j.issn.1671-167X.2026.01.014

Previous Articles     Next Articles

Surgical treatment outcomes of different stages of maxillary medication-related osteonecrosis of the jaw

Ebrahimi Farin1, Zhiqiang FENG2, Ebrahimi Faraz3, Weihua HAN4, Ziyang YU4, Kuankuan JIA1, Jingang AN1,*()   

  1. 1. Department of Oral and Maxillofacial Surgery, Peking University School and Hospital of Stomatology & National Center for Stomatology & National Clinical Research Center for Oral Diseases & National Engineering Research Center of Oral Biomaterials and Digital Medical Devices, Beijing 100081, China
    2. Department of Stomatology, Hebei Medical University Third Hospital, Shijiazhuang 050051, China
    3. Department of Prosthodontics, Peking University School and Hospital of Stomatology, Beijing 100081, China
    4. Department of Stomatology, Academy of Medical Sciences & Peking Union Medical College, Peking Union Medical College Hospital, Beijing 100730, China
  • Received:2025-10-04 Online:2026-02-18 Published:2025-12-12
  • Contact: Jingang AN

RICH HTML

  

Abstract:

Objective: To evaluate the surgical outcomes of maxillary medication-related osteonecrosis of the jaw (MRONJ) at different disease stages and to analyze the comparative efficacy of different surgical techniques on the prognosis of stage Ⅲ patients. Methods: A detailed retrospective analysis was conducted on the clinical data of 136 patients with maxillary MRONJ who underwent surgical treatment in the Department of Oral and Maxillofacial Surgery of Peking University School and Hospital of Stomatology from April 2014 to February 2024. All patients were rigorously classified according to the 2022 American Association of Oral and Maxillofacial Surgeons (AAOMS) staging criteria: Stage Ⅰ (n=8), stage Ⅱ (n=30), and stage Ⅲ (n=98). The surgical interventions included local lesion resection with primary direct closure, buccal fat pad packing, and iodoform gauze packing. The patients were systematically followed up for a period of 1 year postoperatively to comprehensively assess several key outcome measures: Complete mucosal healing, resolution of pain, effective infection control, and radiological improvement of maxillary sinus inflammation based on serial computed tomography scans. Statistical analysis was performed using SPSS version 20.0. Continuous variables were expressed as mean±standard deviation and compared using the t-test, while categorical variables were expressed as numbers and percentages and compared using the χ2 test or Fisher' s exact test as appropriate. A P-value < 0.05 was considered statistically significant for all analyses. Results: The overall short-term (3 months) cure rate was 91.2% (124/136), which improved to a long-term (1 year) cure rate of 94.9% (129/136). A stage-stratified analysis revealed excellent long-term cure rates: 100.0% (8/8) for stage Ⅰ, 96.7% (29/30) for stage Ⅱ, and 93.9% (92/98) for stage Ⅲ, with no statistically significant difference in outcomes across the different stages (P=0.611). Among the 98 stage Ⅲ patients, 34 were treated with buccal fat pad transfer (BFPT group) and 64 with iodine strip packing (ISP group), with no significant differences in baseline demographic or clinical characteristics between the two groups, ensuring comparability. The BFPT group demonstrated a statistically significant superior performance in achieving oroantral fistula closure both at the short-term (79.4% vs. 23.4%, P < 0.001) and long-term (85.3% vs. 54.7%, P=0.002) follow-up assessments. In contrast, the ISP group showed a markedly greater degree of improvement in maxillary sinus inflammation, as quantified by a standardized radiographic scoring system, with significantly greater reductions in inflammation scores at both the 3-month (P=0.029) and 12-month (P=0.014) follow-up intervals. Conclusion: Surgical management of maxillary MRONJ results in high rates of success with a favorable complication profile. For advanced (stage Ⅲ) disease, the choice of surgical technique entails a strategic trade-off: The buccal fat pad procedure is more conducive to achieving reliable soft tissue closure and oroantral fistula resolution, whereas iodoform gauze packing provides superior management and resolution of concomitant maxillary sinusitis. Consequently, the selection of surgical technique should be individualized, based on a careful consideration of the patient's specific anatomical defect, the extent of sinus involvement, and their overall clinical condition.

Key words: Osteonecrosis, Maxilla, Surgical procedures, operative, Treatment outcome, Disease progression

CLC Number: 

  • R782

Figure 1

A 45-year-old female with stage Ⅰ MRONJ in the right maxilla A and B, CT scan revealing ill-defined margins of the necrotic bone in the alveolar process (red arrow); C and D, postoperative CT scans demonstrating the alveolar process (red arrow); E and F, follow-up CT scans demonstrating normal bone architecture without abnormalities one year postoperatively (red arrow). MRONJ, medication-related osteonecrosis of the jaw."

Figure 2

A 75-year-old female with stage Ⅱ MRONJ in the right maxilla A, preoperative clinical view showing exposed necrotic bone at the alveolar process; B, axial CT scan revealing ill-defined margins of the necrotic bone in the alveolar process; C, coronal CT scan demonstrating inflammatory changes with mucosal thickening at the floor of the maxillary sinus; D, intraoperative view following mucoperiosteal flap reflection, exposing the necrotic lesion; E, extraction of the involved tooth and complete removal of the necrotic bone; F, aproximation and suturing of the wound for tight closure; G, postoperative view at 3 months shows a well-healed mucosal site with no evidence of dehiscence or fistula; H and I, follow-up CT scans showing normal bone architecture without abnormalities. MRONJ, medication-related osteonecrosis of the jaw."

Figure 3

A 56-year-old female with stage Ⅲ MRONJ in the left maxilla using buccal fat pad A, oral fistula observed in the left posterior maxilla; B, coronal CT scan revealing ill-defined osteolytic lesion in the left maxilla with associated radiographic signs of maxillary sinusitis; C, 3D CT image reconstruction confirming the poorly demarcated bony lesion; D, intraoperative view after soft tissue incision, exposure, and resection of the necrotic bone, resulting in an oroantral communication; E, mobilization and transposition of the buccal fat pad to obliterate the defect, followed by tight wound closure; F, postoperative coronal CT scan showing the buccal fat pad positioned to seal the oroantral communication; G, clinical view at 3 months postoperatively demonstrating complete mucosal healing; H and I, follow-up CT images showing normalized bone architecture and resolution of maxillary sinus inflammation. MRONJ, medication-related osteonecrosis of the jaw."

Figure 4

A 71-year-old male with stage Ⅲ MRONJ in the right maxilla using iodine strip packing A, 3D CT image reconstruction scan showing a large area of necrotic bone in the right maxilla; B, coronal CT scan demonstrating sequestrum separation and maxillary sinusitis; C and D, postoperative CT images after a period of iodine strip packing, shows normalized bone architecture and resolution of the maxillary sinus inflammation; E, clinical view at 1 year postoperatively demonstrating complete mucosal healing. MRONJ, medication-related osteonecrosis of the jaw."

Table 1

Therapeutic efficacy evaluation criteria in this study"

Outcome Wound condition Pain Infection Image findings
Healing Healed, no bone exposure No pain No signs of inflammation or infection Normal trabeculation, no sequestrum, clear maxillary sinus
Recurrence No improvement or worsened No improvement or worsened No improvement Presence of sequestrum or osteolytic changes, signs of maxillary sinusitis

Table 2

Postoperative maxillary sinusitis improvement by stages in maxillary MRONJ"

Maxillary sinusitis Stage Ⅰ (n=8) Stage Ⅱ (n=30) Stage Ⅲ (n=98)
Pre-surgery 3 moths post-surgery 1 year post-surgery Pre-surgery 3 months post-surgery 1 year post-surgery Pre-surgery 3 months post-surgery 1 year post-surgery
Normal 8 8 8 27 29 29 4 17 38
Mild 3 1 2 34 41
Moderate 1 13 42 16
Severe 79 5 3

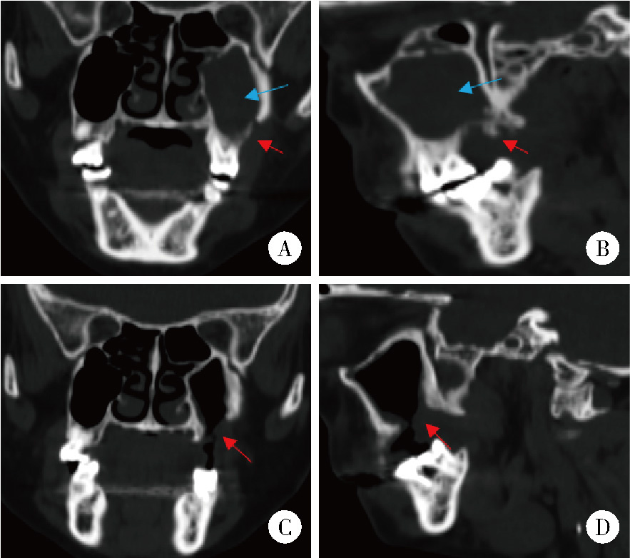
Figure 5

A 57-year-old female with stage Ⅲ MRONJ in the right maxilla using iodine strip packing A and B, CT scans reveal sequestrum separation (red arrow) and maxillary sinusitis (blue arrow); C and D, one-year postoperative CT scans demonstrate that while a small fistula (red arrow) still remains present, the maxillary sinus inflammation has resolved. MRONJ, medication-related osteonecrosis of the jaw."

Table 3

Comparison of short term and long term treatment efficacy between the two groups of stage Ⅲ maxillary MRONJ patients"

Items Short term (3 months) Long term (1 year)
ISP (n=64) BFPT (n=34) P value ISP (n=64) BFPT (n=34) P value
Clinical efficacy, n (%) 0.656 0.415
  Recovery 60 (93.8) 32 (94.1) 61 (95.3) 31 (91.2)
  Recurrence 4 (6.2) 2 (5.9) 3 (4.7) 3 (8.8)
Pain, n (%) 0.656 0.415
  No 60 (93.8) 32 (94.1) 61 (95.3) 31 (91.2)
  Yes 4 (6.3) 2 (5.9) 3 (4.7) 3 (8.8)
Soft tissue swelling, n (%) 0.570 0.415
  No 61 (95.3) 32 (94.1) 61 (95.3) 31 (91.2)
  Yes 3 (4.7) 2 (5.9) 3 (4.7) 3 (8.8)
Sequestrum, n (%) 0.576 0.415
  No 63 (98.4) 33 (97.1) 61 (95.3) 31 (91.2)
  Yes 1 (1.6) 1 (2.9) 3 (4.7) 3 (8.8)
Oral antral fistula, n (%) < 0.001*** 0.002**
  No 15 (23.4) 27 (79.4) 35 (54.7) 29 (85.3)
  Yes 49 (76.6) 7 (20.6) 29 (45.3) 5 (14.7)
Maxillary sinusitis score, ${\bar x}$±s 0.029* 0.014*
  Pre-surgery 2.80±0.59 2.53±0.85 2.80±0.59 2.53±0.85
  Post-surgery 1.33±0.77 1.41±0.91 0.78±0.78 0.94±0.84
  Degree of improvement 1.47±0.81 1.12±0.83 2.02±0.86 1.59±1.00
1
Dunphy L , Salzano G , Gerber B , et al. Medication-related osteonecrosis (MRONJ) of the mandible and maxilla[J]. BMJ Case Rep, 2020, 13 (1): e224455.

doi: 10.1136/bcr-2018-224455
2
Giudice A , Barone S , Diodati F , et al. Can surgical management improve resolution of medication-related osteonecrosis of the jaw at early stages? A prospective cohort study[J]. J Oral Maxillofac Surg, 2020, 78 (11): 1986- 1999.

doi: 10.1016/j.joms.2020.05.037
3
Beth-Tasdogan NH , Mayer B , Hussein H , et al. Interventions for managing medication-related osteonecrosis of the jaw[J]. Cochrane Database Syst Rev, 2022, 7 (7): CD012432.
4
Aljohani S , Troeltzsch M , Hafner S , et al. Surgical treatment of medication-related osteonecrosis of the upper jaw: Case series[J]. Oral Dis, 2019, 25 (2): 497- 507.

doi: 10.1111/odi.12992
5
Park JH , Alfafara AM , Park YL , et al. Medication-related osteonecrosis of the maxilla: Prognosis of oral surgery combined with endoscopic sinus surgery[J]. Oral Dis, 2021, 27 (4): 962- 969.

doi: 10.1111/odi.13615
6
Okuyama K , Hayashida S , Rokutanda S , et al. Surgical strategy for medication-related osteonecrosis of the jaw (MRONJ) on maxilla: A multicenter retrospective study[J]. J Dent Sci, 2021, 16 (3): 885- 890.

doi: 10.1016/j.jds.2020.12.007
7
Otsuru M , Hayashida S , Morishita K , et al. Retrospective analysis of treatment outcomes of maxillary sinusitis associated with medication-related osteonecrosis of the jaw[J]. Int J Environ Res Public Health, 2022, 19 (12): 7430.

doi: 10.3390/ijerph19127430
8
田美, 王丹妮, 罗舒艳, 等. 上颌骨药物相关性颌骨坏死的手术治疗效果初探[J]. 中华口腔医学杂志, 2021, 56 (5): 447- 451.
9
何悦, 陈珩, 安金刚, 等. 药物相关性颌骨坏死临床诊疗专家共识[J]. 中国口腔颌面外科杂志, 2023, 21 (4): 313- 325.
10
Rak KM , Newell JD 2nd , Yakes WF , et al. Paranasal sinuses on MR images of the brain: Significance of mucosal thickening[J]. AJR Am J Roentgenol, 1991, 156 (2): 381- 384.

doi: 10.2214/ajr.156.2.1898819
11
Ren S , Zhao H , Liu J , et al. Significance of maxillary sinus mucosal thickening in patients with periodontal disease[J]. Int Dent J, 2015, 65 (6): 303- 310.

doi: 10.1111/idj.12186
12
Ruggiero SL , Dodson TB , Aghaloo T , et al. American association of oral and maxillofacial surgeons' position paper on medication-related osteonecrosis of the jaws-2022 update[J]. J Oral Maxillofac Surg, 2022, 80 (5): 920- 943.

doi: 10.1016/j.joms.2022.02.008
13
Otto S , Ristow O , Pache C , et al. Fluorescence-guided surgery for the treatment of medication-related osteonecrosis of the jaw: A prospective cohort study[J]. J Craniomaxillofac Surg, 2016, 44 (8): 1073- 1080.

doi: 10.1016/j.jcms.2016.05.018
14
Klingelhöffer C , Zeman F , Meier J , et al. Evaluation of surgical outcome and influencing risk factors in patients with medication-related osteonecrosis of the jaws[J]. J Craniomaxillofac Surg, 2016, 44 (10): 1694- 1699.

doi: 10.1016/j.jcms.2016.08.001
15
Cheng JW , Hsiao KY , Chen MY , et al. Free buccal fat pad graft for the bone defect filling of medication-related osteonecrosis of the jaws: A novel surgical approach[J]. J Dent Sci, 2024, 19 (3): 1846- 1849.

doi: 10.1016/j.jds.2024.03.006
16
Giovannacci I , Meleti M , Corradi D , et al. Clinical differences in autofluorescence between viable and nonvital bone: A case report with histopathologic evaluation performed on medication-related osteonecrosis of the jaws[J]. J Oral Maxillofac Surg, 2017, 75 (6): 1216- 1222.

doi: 10.1016/j.joms.2016.12.011
17
Vanpoecke J , Verstraete L , Smeets M , et al. Medication-related osteonecrosis of the jaw (MRONJ) stage Ⅲ: Conservative and conservative surgical approaches versus an aggressive surgical intervention: A systematic review[J]. J Craniomaxillofac Surg, 2020, 48 (4): 435- 443.

doi: 10.1016/j.jcms.2020.02.017
18
Hsu KJ , Hsiao SY , Chen PH , et al. Investigation of the effectiveness of surgical treatment on maxillary medication-related osteonecrosis of the jaw: A literature review[J]. J Clin Med, 2021, 10 (19): 4480.

doi: 10.3390/jcm10194480
19
Di Lorenzo S , Trapassi A , Corradino B , et al. Histology of the oral mucosa in patients with BRONJ at Ⅲ stage: A microscopic study proves the unsuitability of local mucosal flaps[J]. J Clin Med Res, 2013, 5 (1): 22- 25.
20
Lemound J , Muecke T , Zeller AN , et al. Nasolabial flap improves healing in medication-related osteonecrosis of the jaw[J]. J Oral Maxillofac Surg, 2018, 76 (4): 877- 885.

doi: 10.1016/j.joms.2017.09.021
21
Nelke K , Morawska A , Błaszczyk B , et al. Anatomical and surgical implications of the usage of bichat fat pad in oroantral communication, maxillary, palatal, and related surgeries-narrative review[J]. J Clin Med, 2023, 12 (15): 4909.

doi: 10.3390/jcm12154909
22
Bereczki-Temistocle DL , Gurzu S , Jung I , et al. Selecting the best surgical treatment methods in oro-antral communications[J]. Int J Environ Res Public Health, 2022, 19 (21): 14543.

doi: 10.3390/ijerph192114543
23
Jose A , Rawat A , Nagori SA , et al. Outcomes of sequestrectomy and buccal fat pad reconstruction in the management of medication-related osteonecrosis of the jaws[J]. Oral Maxillofac Surg, 2022, 26 (1): 147- 153.

doi: 10.1007/s10006-021-00973-9
24
Ristow O , Rückschloẞ T , Bodem J , et al. Double-layer closure techniques after bone surgery of medication-related osteonecrosis of the jaw: A single center cohort study[J]. J Craniomaxillofac Surg, 2018, 46 (5): 815- 824.

doi: 10.1016/j.jcms.2018.03.005
[1] Lianfei PAN, Wenjing LI, Ruiyang WANG, Jian JIAO, Zhanqiang CAO, Li GAO, Dong SHI. Short-term efficacy and influencing factors of systemic antibiotics as an adjunct to mechanical periodontal therapy for stages Ⅲ/Ⅳ periodontitis [J]. Journal of Peking University (Health Sciences), 2026, 58(1): 30-36.
[2] Ziyang YU, Houzuo GUO, Xi JIANG, Weihua HAN, Ye LIN. Imaging study of osteogenesis in maxillary sinus segment of zygomatic implants [J]. Journal of Peking University (Health Sciences), 2025, 57(5): 967-974.
[3] Yuanyuan YANG, Shanshan ZHANG, Guangyan YU, Huijun YANG, Hongyu YANG. Clinical outcomes of partial sialoadenectomy for the treatment of benign tumors in the submandibular gland [J]. Journal of Peking University (Health Sciences), 2025, 57(2): 334-339.
[4] Ju YANG, Yue LIU, Chunna QU, Jianbin SUN, Tianying LI, Lianjie SHI. Bisphosphonates-related osteonecrosis of the jaw: A case report [J]. Journal of Peking University (Health Sciences), 2025, 57(2): 388-392.
[5] Yifan KANG, Yanjun GE, Xiaoming LV, Shang XIE, Xiaofeng SHAN, Zhigang CAI. One-stage mandibular reconstruction combining iliac flap with immediate implant-based denture [J]. Journal of Peking University (Health Sciences), 2025, 57(1): 78-84.
[6] Wenjing LI,Baozhou ZHANG,Heng LI,Liangpeng LAI,Hui DU,Ning SUN,Xiaofeng GONG,Ying LI,Yan WANG,Yong WU. Tibiotalocalcaneal arthrodesis for end-stage ankle and hindfoot arthropathy: Short- and mid-term clinical outcomes [J]. Journal of Peking University (Health Sciences), 2024, 56(2): 299-306.
[7] Ying ZHOU,Ning ZHAO,Hongyuan HUANG,Qingxiang LI,Chuanbin GUO,Yuxing GUO. Left mandibular osteonecrosis following herpes zoster of the third branch of left trigeminal nerve: A case report [J]. Journal of Peking University (Health Sciences), 2024, 56(2): 366-370.
[8] Chen CHEN,Yuhong LIANG. Root canal therapy of maxillary molars with atypical canals: A report of three cases [J]. Journal of Peking University (Health Sciences), 2024, 56(1): 190-195.
[9] Ying ZHOU,Ning ZHAO,Hongyuan HUANG,Qingxiang LI,Chuanbin GUO,Yuxing GUO. Application of double-layer soft tissue suture closure technique in the surgical treatment of patients with mandible medication-related osteonecrosis of the jaw of early and medium stages [J]. Journal of Peking University (Health Sciences), 2024, 56(1): 51-56.
[10] Sui LI,Wenjie MA,Shimin WANG,Qian DING,Yao SUN,Lei ZHANG. Trueness of different digital design methods for incisal guidance of maxillary anterior implant-supported single crowns [J]. Journal of Peking University (Health Sciences), 2024, 56(1): 81-87.
[11] Xue ZOU,Xiao-juan BAI,Li-qing ZHANG. Effectiveness of tofacitinib combined with iguratimod in the treatment of difficult-to-treat moderate-to-severe rheumatoid arthritis [J]. Journal of Peking University (Health Sciences), 2023, 55(6): 1013-1021.
[12] Min QIU,You-long ZONG,Bin-shuai WANG,Bin YANG,Chu-xiao XU,Zheng-hui SUN,Min LU,Lei ZHAO,Jian LU,Cheng LIU,Xiao-jun TIAN,Lu-lin MA. Treatment outcome of laparoscopic partial nephrectomy in patients with renal tumors of moderate to high complexity [J]. Journal of Peking University (Health Sciences), 2023, 55(5): 833-837.
[13] Ying HUANG,Zhi-yuan WU,Xing-hong ZHOU,Zhi-gang CAI,Jie ZHANG. Category of facial symmetry perception after maxillary reconstruction using anterolateral thigh flap [J]. Journal of Peking University (Health Sciences), 2023, 55(4): 708-715.
[14] Lei WANG,Tian-dong HAN,Wei-xing JIANG,Jun LI,Dao-xin ZHANG,Ye TIAN. Comparison of safety and effectiveness of active migration technique and in situ lithotripsy technique in the treatment of 1-2 cm upper ureteral calculi by flexible ure-teroscopy [J]. Journal of Peking University (Health Sciences), 2023, 55(3): 553-557.
[15] Yu-xing GUO,Jian-yun ZHANG,Dian-can WANG,Chuan-bin GUO. Analysis of pathological characteristics of medication-related osteonecrosis of the jaw and discussion of clinical treatment strategies based on the pathological analysis results [J]. Journal of Peking University (Health Sciences), 2022, 54(6): 1190-1195.
Viewed
Full text


Abstract

Cited

  Shared   
  Discussed   
No Suggested Reading articles found!