Journal of Peking University (Health Sciences) ›› 2026, Vol. 58 ›› Issue (1): 220-224. doi: 10.19723/j.issn.1671-167X.2026.01.030

Previous Articles     Next Articles

Florid cemento-osseous dysplasia: A case report

Yue WANG1, Yuhong LIANG2,*()   

  1. 1. Department of Stomatology, Peking University International Hospital, Beijing 102206, China
    2. Department of Oral Emergency, Peking University School and Hospital of Stomatology & National Center for Stomatology & National Clinical Research Center for Oral Diseases & National Engineering Research Center of Oral Biomaterials and Digital Medical Devices & Beijing Key Laboratory of Digital Stomatology & NHC Key Laboratory of Digital Stomatology & NMPA Key Laboratory for Dental Materials, Beijing 100081, China
  • Received:2025-09-25 Online:2026-02-18 Published:2025-11-28
  • Contact: Yuhong LIANG

RICH HTML

  

Abstract:

Cemento-osseous dysplasia (COD) is an uncommon, non-neoplastic benign fibro-osseous lesion of the jaws, characterized by cementum-like tissue deposition. It primarily affects middle-aged women of African and East Asian descent. Generally asymptomatic, this condition is frequently identified incidentally through radiographs showing radiopacities with radiolucent rims. This report presented a case of florid cemento-osseous dysplasia (FLCOD) in a 45-year-old Asian female. The patient exhibited secondary caries extending to the pulp chamber on the left mandibular first molar, showed no signs of pulpitis or periapical pathosis. Adjacent tooth (the left mandibular third molar) and contralateral molars (the right mandibular molars) responded normally to pulp vitality testing, with no swelling, sinus tracts, or mobility observed. Cone beam computed tomography (CBCT) revealed multifocal lesions with amorphous radiopacities and thin radiolucent rims without root resorption or cortical perforation in the periapical regions of bilateral mandibular molars. These findings reflected characteristic radiographic features of FLCOD, aligning with the World Health Organization (WHO) 2022 classification criteria. Significantly, three radiographic stages of COD were concurrently demonstrated through multifocal lesions involving six mandibular molars, providing a representative model of its natural progression. The initial osteolytic stage in teeth 38, 46, and 48 manifested as well-defined periapical radiolucencies with sclerotic borders; the intermediate stage in 36 and 37 featured punctate or nodular radiopacities within periapical radiolucency; while the mature terminal stage in 47 presented a homogeneous radiopaque mass bordered by a thin radiolucent rim. The diagnostic process prioritized exclusion of chronic apical periodontitis through confirmed pulp vitality and absence of infection. Cemento-ossifying fibroma (COsF) was dismissed based on solitary presentation and cortical expansion. Familial gigantiform cementoma (FGC) was differentiated by early diffuse jaw expansion and extensive involvement beyond COD. Cementoblastoma exclusion relied on pathognomonic features, specifically root resorption or compromised pulp vitality. Given the asymptomatic, non-progressive behavior of the FLCOD lesions, annual surveillance was implemented, with intervention limited to the restorative failure in tooth 36. At 12-month follow-up, the FLCOD lesions showed clinical-radiographic stability without secondary infection or progression. This case reflected the classic presentation of FLCOD as incidental, multifocal mandibular posterior radiopacities bordered by radiolucent rims. CBCT proved instrumental in delineating the lesions, providing diagnostic evidence. Long-term surveillance remains the cornerstone of management for COD. Invasive procedures are not recommended in cases with asymptomatic non-progressive behavior to prevent surgical complications.

Key words: Florid cemento-osseous dysplasia, Cone-beam computed tomography, Differential diagnosis, Mandibular molars

CLC Number: 

  • R782.1

Figure 1

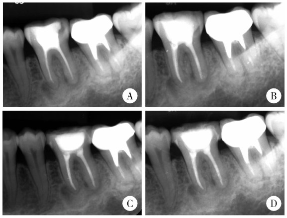
Preoperative and postoperative periapical radiographs of the mandibular left first molar (36) A, preoperative periapical radiolucency showing well-defined radiopaque mass with radiolucent border; B, postoperative radiograph of completed root filling; C and D, 3-month and 6-month follow-up X-ray."

Figure 2

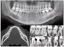
CBCT images of the patient at initial presentation Three radiographic stages of COD concurrently shown in multifocal lesions across six mandibular molars: osteolytic stage (38/46/48), cementoblastic stage (36/37), mature stage (47). The red arrow indicates the COD lesion. COD, cemento-osseous dysplasia; CBCT, cone beam computed tomographic."

Figure 3

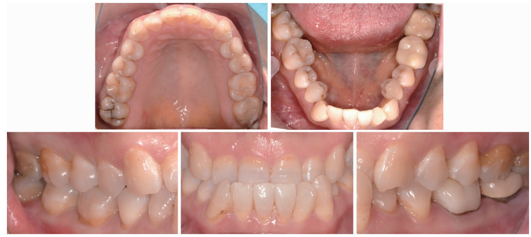
Intraoral images at 1-year follow-up"

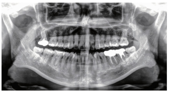
Figure 4

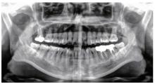
Panoramic radiograph at 1-year follow-up"

Table 1

Pathological and radiographic features of the three stages of cemento-osseous dysplasia"

Disease stage Pathological manifestations Radiographic manifestations
Osteolytic stage Replacement of normal bone by cellular fibrous tissue without calcification Well-demarcated periapical radiolucency with sclerotic borders
Cementoblastic stage Progressive deposition of cementum-like droplets and woven bone within the fibrous stroma Punctate or flocculent radiopacities within a radiolucent halo
Mature stage Densely mineralized masses with peripheral fibrous encapsulation Homogeneous radiopacities bordered by thin radiolucent rims
1
Pereira DL , Pires FR , Lopes MA , et al. Clinical, demographic, and radiographic analysis of 82 patients affected by florid osseous dysplasia: An international collaborative study[J]. Oral Surg Oral Med Oral Pathol Oral Radiol, 2016, 122 (2): 250- 257.

doi: 10.1016/j.oooo.2016.04.013
2
WHO Classification of Tumours Editorial Board . Head and neck tumours[M]. 5th ed Lyon (France): IARC Press, 2022: 389- 390.
3
史册, 李志民, 孙宏晨. 纤维-骨肿瘤及结构不良的临床病理特征与鉴别诊断[J]. 中华口腔医学杂志, 2023, 58 (2): 124- 130.
4
Pick E , Schäfer T , Al-Haj Husain A , et al. Clinical, radiological, and pathological diagnosis of fibro-osseous lesions of the oral and maxillofacial region: A retrospective study[J]. Diagnostics, 2022, 12 (2): 238.

doi: 10.3390/diagnostics12020238
5
Cotti E . Advanced techniques for detecting lesions in bone[J]. Dent Clin North Am, 2010, 54 (2): 215- 235.

doi: 10.1016/j.cden.2009.12.007
6
Gumru B , Akkitap MP , Deveci S , et al. A retrospective cone beam computed tomography analysis of cemento-osseous dysplasia[J]. J Dent Sci, 2021, 16 (4): 1154- 1161.

doi: 10.1016/j.jds.2021.03.009
7
Titinchi F , Alturki N , Morkel J , et al. Cemento-osseous dysplasia: A multi-centre analysis of surgical management[J]. Oral Maxillofac Surg, 2025, 29 (1): 96.

doi: 10.1007/s10006-025-01394-8
8
Haefliger S , Turek D , Andrei V , et al. Cemento-osseous dysplasia is caused by RAS-MAPK activation[J]. Pathology, 2023, 55 (3): 324- 328.

doi: 10.1016/j.pathol.2022.10.006
9
Aiuto R , Gucciardino F , Rapetti R , et al. Management of symptomatic florid cemento-osseous dysplasia: Literature review and a case report[J]. J Clin Exp Dent, 2018, 10 (3): e291- e295.
10
Olgac V , Sinanoglu A , Selvi F , et al. A clinicopathologic analysis of 135 cases of cemento-osseous dysplasia: To operate or not to operate?[J]. J Stomatol Oral Maxillofac Surg, 2021, 122 (3): 278- 282.

doi: 10.1016/j.jormas.2020.06.002
11
Decolibus K , Shahrabi-Farahani S , Brar A , et al. Cemento-osseous dysplasia of the jaw: Demographic and clinical analysis of 191 new cases[J]. Dent J, 2023, 11 (5): 138.

doi: 10.3390/dj11050138
12
Gabay M , DiPede L , Fornatora M , et al. Treatment indications for symptomatic versus asymptomatic florid cemento-osseous dysplasia in adult patients: A systematic review[J]. Oral Surg Oral Med Oral Pathol Oral Radiol, 2024, 138 (6): 686- 701.

doi: 10.1016/j.oooo.2024.06.011
13
Ali D , Figeac F , Caci A , et al. High-fat diet-induced obesity augments the deleterious effects of estrogen deficiency on bone: Evidence from ovariectomized mice[J]. Aging Cell, 2022, 21 (12): e13726.

doi: 10.1111/acel.13726
14
Wang Y , LaMonte MJ , Hovey KM , et al. Association of serum 17β-estradiol concentration, hormone therapy, and alveolar crest height in postmenopausal women[J]. J Periodontol, 2015, 86 (4): 595- 605.

doi: 10.1902/jop.2015.140533
15
Sarmento DJ , Monteiro BV , de Medeiros AM , et al. Severe florid cemento-osseous dysplasia: A case report treated conservatively and literature review[J]. Oral Maxillofac Surg, 2013, 17 (1): 43- 46.

doi: 10.1007/s10006-012-0314-0
16
Robinson HB . Osseous dysplasia: Reaction of bone to injury[J]. J Oral Surg, 1956, 14 (1): 3- 14.
17
El-Naggar AK , Chan JKC , Grandis JR , et al. WHO classification of head and neck tumours[M]. 4th ed Lyon (France): IARC Press, 2017: 254.
[1] Xiaodi XIAO, Youchen XIA, Jianying LIU, Peng FU. Left sided sternocleidomastoid interosseous intravascular papillary endothelial hyperplasia: A case report [J]. Journal of Peking University (Health Sciences), 2025, 57(5): 1002-1004.
[2] Jie LIU, Mingwei MA, Qing'an WANG, Ming SHI, Jinpeng YIN, Zhanping WANG, Jingtao SHEN, Xianshu GAO. Comparison of setup errors between two immobilization methods in prostate cancer radiotherapy based on cone-beam computed tomography [J]. Journal of Peking University (Health Sciences), 2025, 57(4): 692-697.
[3] Yutong SHI, Yiping WEI, Wenjie HU, Tao XU, Haoyun ZHANG. Evaluation of micro crestal flap-alveolar ridge preservation following extraction of mandibular molars with severe periodontitis [J]. Journal of Peking University (Health Sciences), 2025, 57(1): 33-41.
[4] Hua ZHONG, Yuan LI, Liling XU, Mingxin BAI, Yin SU. Application of 18F-FDG PET/CT in rheumatic diseases [J]. Journal of Peking University (Health Sciences), 2024, 56(5): 853-859.
[5] Shishi BO,Chengzhi GAO. Tooth segmentation and identification on cone-beam computed tomography with convolutional neural network based on spatial embedding information [J]. Journal of Peking University (Health Sciences), 2024, 56(4): 735-740.
[6] Xiaotong LING,Liuyang QU,Danni ZHENG,Jing YANG,Xuebing YAN,Denggao LIU,Yan GAO. Three-dimensional radiographic features of calcifying odontogenic cyst and calcifying epithelial odontogenic tumor [J]. Journal of Peking University (Health Sciences), 2024, 56(1): 131-137.
[7] Deng-hui DUAN,Hom-Lay WANG,En-bo WANG. Role of collagen membrane in modified guided bone regeneration surgery using buccal punch flap approach: A retrospective and radiographical cohort study [J]. Journal of Peking University (Health Sciences), 2023, 55(6): 1097-1104.
[8] Jin-hua ZHANG,Jie PAN,Zhi-peng SUN,Xiao WANG. Effect of various intracanal materials on the diagnostic accuracy of cone-beam computed tomography in vertical root fractures [J]. Journal of Peking University (Health Sciences), 2023, 55(2): 333-338.
[9] Xue-mei HA,Yong-zheng YAO,Li-hua SUN,Chun-yang XIN,Yan XIONG. Solid placental transmogrification of the lung: A case report and literature review [J]. Journal of Peking University (Health Sciences), 2023, 55(2): 357-361.
[10] Jia-xue YE,Yu-hong LIANG. A prevalence survey of cone-beam computed tomography use among endodontic practitioners [J]. Journal of Peking University (Health Sciences), 2023, 55(1): 114-119.
[11] Meng-qiao PAN,Jian LIU,Li XU,Xiao XU,Jian-xia HOU,Xiao-tong LI,Xiao-xia WANG. A long-term evaluation of periodontal phenotypes before and after the periodontal-orthodontic-orthognathic combined treatment of lower anterior teeth in patients with skeletal Angle class Ⅲ malocclusion [J]. Journal of Peking University (Health Sciences), 2023, 55(1): 52-61.
[12] Yu FU,Xin-nong HU,Sheng-jie CUI,Jie SHI. Decompensation effectiveness and alveolar bone remodeling analysis of mandibular anterior teeth after preoperative orthodontic treatment in high-angle patients with skeletal class Ⅱ malocclusion [J]. Journal of Peking University (Health Sciences), 2023, 55(1): 62-69.
[13] Juan GAO,Hang-miao LV,Hui-min MA,Yi-jiao ZHAO,Xiao-tong LI. Evaluation of root resorption after surgical orthodontic treatment of skeletal Class Ⅲ malocclusion by three-dimensional volumetric measurement with cone-beam CT [J]. Journal of Peking University (Health Sciences), 2022, 54(4): 719-726.
[14] LIU Wei-tao,WANG Yi-ran,WANG Xue-dong,ZHOU Yan-heng. A cone-beam computed tomography evaluation of three-dimensional changes of circummaxillary sutures following maxillary protraction with alternate rapid palatal expansions and constrictions [J]. Journal of Peking University (Health Sciences), 2022, 54(2): 346-355.
[15] Gang YANG,Wen-jie HU,Jie CAO,Deng-gao LIU. Three-dimensional morphology analysis of the supraosseous gingival profile of periodontally healthy maxillary anterior teeth [J]. Journal of Peking University (Health Sciences), 2021, 53(5): 990-994.
Viewed
Full text


Abstract

Cited

  Shared   
  Discussed   
No Suggested Reading articles found!