北京大学学报(医学版) ›› 2025, Vol. 57 ›› Issue (2): 408-410. doi: 10.19723/j.issn.1671-167X.2025.02.031

• 短篇论著 • 上一篇    

动脉输尿管瘘3例

姜瑞, 兰孝达, 张喆楠, 肖云翔, 吴士良, 何志嵩, 李学松, 韩文科, 张骞, 孟一森△()   

  • 收稿日期:2022-03-31 出版日期:2025-04-18 发布日期:2025-04-12
  • 通讯作者: 孟一森 E-mail:mgyss@qq.com
  • 作者简介:第一联系人:

    * These authors contributed equaly to this work

  • Received:2022-03-31 Online:2025-04-18 Published:2025-04-12

RICH HTML

  

关键词: 动脉输尿管瘘, 血尿, 动脉造影

中图分类号: 

  • R693.5

表1

3例患者基本信息与治疗情况"

Parameters Case 1 Case 2 Case 3
Gender Male Female Female
Age/years 86 57 74
Previous surgical history Radical cystectomy + cutaneous terminal ureterostomy Radical hysterectomy for cervical cancer + cutaneous terminal ureterostomy Radical cystectomy + cutaneous terminal ureterostomy
Interval between surgery and arterio-ureteral fistula/years 2 5 4
Computerized tomography None High density of renal pelvis and calyces, the right external iliac artery is not clearly demarcated from the right ureter No obvious abnormality
Arteriography None No visible hemorrhagic spot Visible hemorrhagic spot
Treatment Conservative treatment An exploratory laparotomy was performed, and no obvious bleeding source was identified +iliac artery stent implantation Ureteral embolism + iliac artery stent implantation
Follow-up Fatal outcome No recurrence of bleeding No recurrence of bleeding

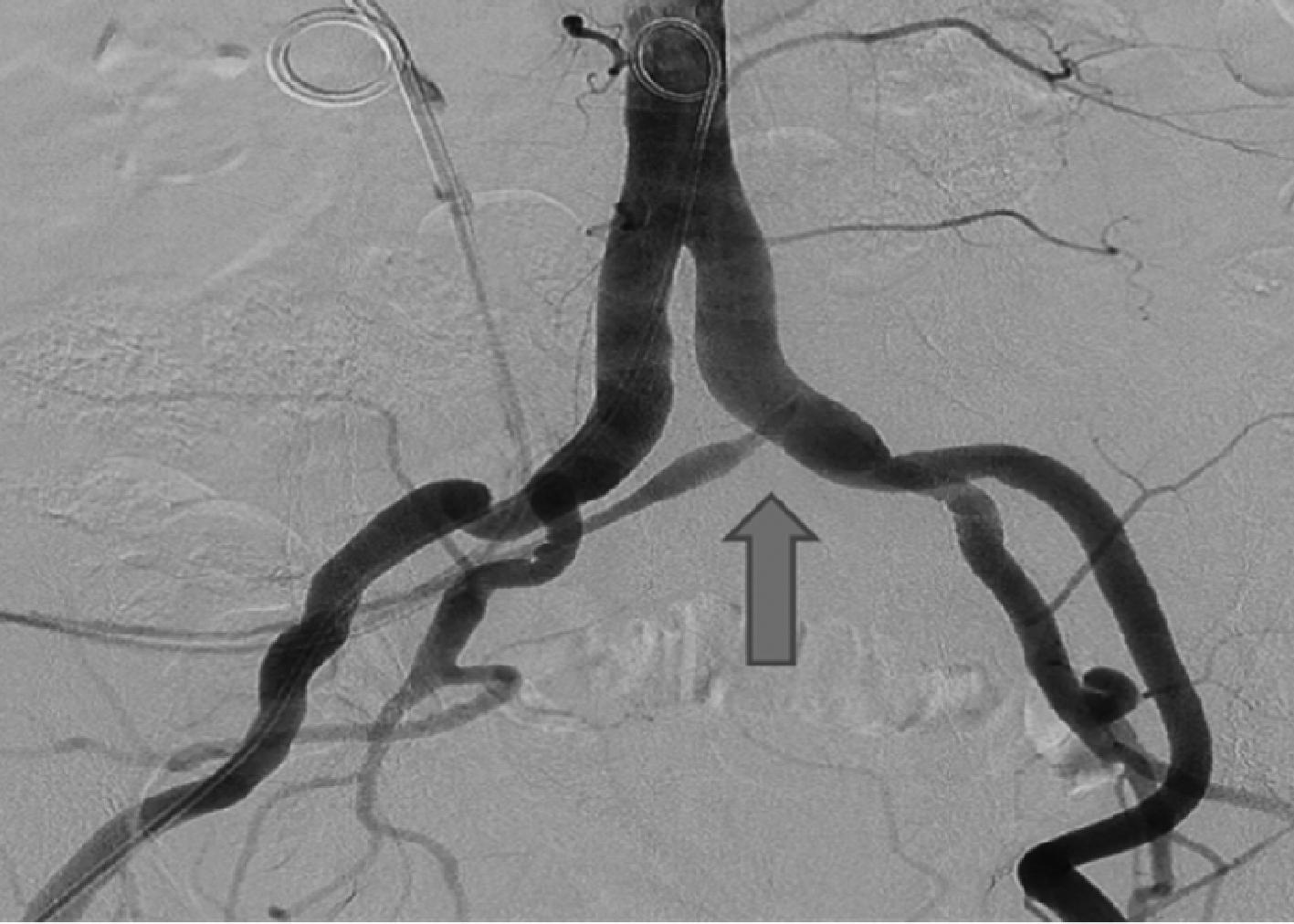
图1

髂总动脉输尿管瘘的血管造影"

1 Kamphorst K , Lock T , van den Bergh RCN , et al. Arterio-ureteral fistula: Systematic review of 445 patients[J]. J Urol, 2022, 207 (1): 35- 43.
doi: 10.1097/JU.0000000000002241
2 Pillai AK , Anderson ME , Reddick MA , et al. Ureteroarterial fistula: Diagnosis and management[J]. AJR Am J Roentgenol, 2015, 204 (5): 592- 598.
doi: 10.2214/AJR.14.13405
3 Heers H , Netsch C , Wilhelm K , et al. Diagnosis, treatment, and outcome of arterioureteral fistula: The urologist's perspective[J]. J Endourol, 2018, 32 (3): 245- 251.
doi: 10.1089/end.2017.0819
4 刘建和, 李炯明, 闫永吉, 等. 创伤性髂动脉假性动脉瘤输尿管瘘一例报告及文献复习[J]. 中华泌尿外科杂志, 2005, 26 (2): 107- 109.
doi: 10.3760/j:issn:1000-6702.2005.02.011
5 Dicostanzo GA , Kalman PG , Trachtenberg J . Erosion of the ureter by ileofemoral arterial prosthesis[J]. J Vasc Surg, 1988, 8 (2): 190- 192.
doi: 10.1016/0741-5214(88)90410-7
6 Aarvold A , Wales L , Papadakos N , et al. Arterio-ureteric fistula following iliac angioplasty[J]. Cardiovasc Intervent Radiol, 2008, 31 (4): 821- 823.
doi: 10.1007/s00270-008-9321-9
7 Augustin AM , Torre GD , Kocot A , et al. Endovascular therapy of arterioureteral fistulas[J]. Vasa, 2021, 50 (3): 193- 201.
doi: 10.1024/0301-1526/a000922
8 陆超, 花豹, 顾欣, 等. 长期留置输尿管支架后出现输尿管动脉瘘二例报告[J]. 中华泌尿外科杂志, 2021, 42 (10): 786- 787.
doi: 10.3760/cma.j.cn112330-20201208-0080
[1] 张志刚,刘新民. 急性肾梗死的临床特征:单中心52例临床分析[J]. 北京大学学报(医学版), 2019, 51(5): 863-869.
[2] 赵灿,胡京敏,郭丹杰. 血浆D二聚体临界值联合Wells量表对可疑肺栓塞的除外价值[J]. 北京大学学报(医学版), 2018, 50(5): 828-832.
[3] 于路平,赵卫红,刘士军,李清,徐涛. 先天性肾动静脉瘘伴肾动脉多支畸形病例分析[J]. 北京大学学报(医学版), 2018, 50(4): 722-728.
[4] 张立, 蔡钦林, 党耕町, 刘忠军. Frankel-A型急性颈脊髓损伤后继发的低钠血症[J]. 北京大学学报(医学版), 2000, 32(4): 369-373.
Viewed
Full text


Abstract

Cited

  Shared   
  Discussed   
No Suggested Reading articles found!