北京大学学报(医学版) ›› 2025, Vol. 57 ›› Issue (2): 217-226. doi: 10.19723/j.issn.1671-167X.2025.02.001

• 论著 •    下一篇

人脂肪间充质干细胞外泌体对去势小鼠骨质疏松的预防

盛春辉, 张晓, 吕珑薇*(), 周永胜*()   

  1. 北京大学口腔医学院·口腔医院修复科,国家口腔医学中心,国家口腔疾病临床医学研究中心,口腔生物材料和数字诊疗装备国家工程研究中心,国家卫生健康委口腔数字医学重点实验室,北京 100081
  • 收稿日期:2021-11-18 出版日期:2025-04-18 发布日期:2025-04-12
  • 通讯作者: 吕珑薇,周永胜 E-mail:lvlw@bjmu.edu.cn;kqzhouysh@hsc.pku.edu.cn
  • 基金资助:
    北京市自然科学基金(7192228)

Exosome derived from human adipose-derived mesenchymal stem cells prevented bone loss induced by estrogen deficiency

Chunhui SHENG, Xiao ZHANG, Longwei LV*(), Yongsheng ZHOU*()   

  1. Department of Prosthodontics, Peking University School and Hospital of Stomatology & National Center for Stomatology & National Clinical Research Center for Oral Diseases & National Engineering Research Center of Oral Biomaterials and Digi-tal Medical Devices & National Health Commission Key Laboratory of Digital Stomatology, Beijing 100081, China
  • Received:2021-11-18 Online:2025-04-18 Published:2025-04-12
  • Contact: Longwei LV, Yongsheng ZHOU E-mail:lvlw@bjmu.edu.cn;kqzhouysh@hsc.pku.edu.cn
  • Supported by:
    the Beijing Natural Science Foundation(7192228)

RICH HTML

  

摘要:

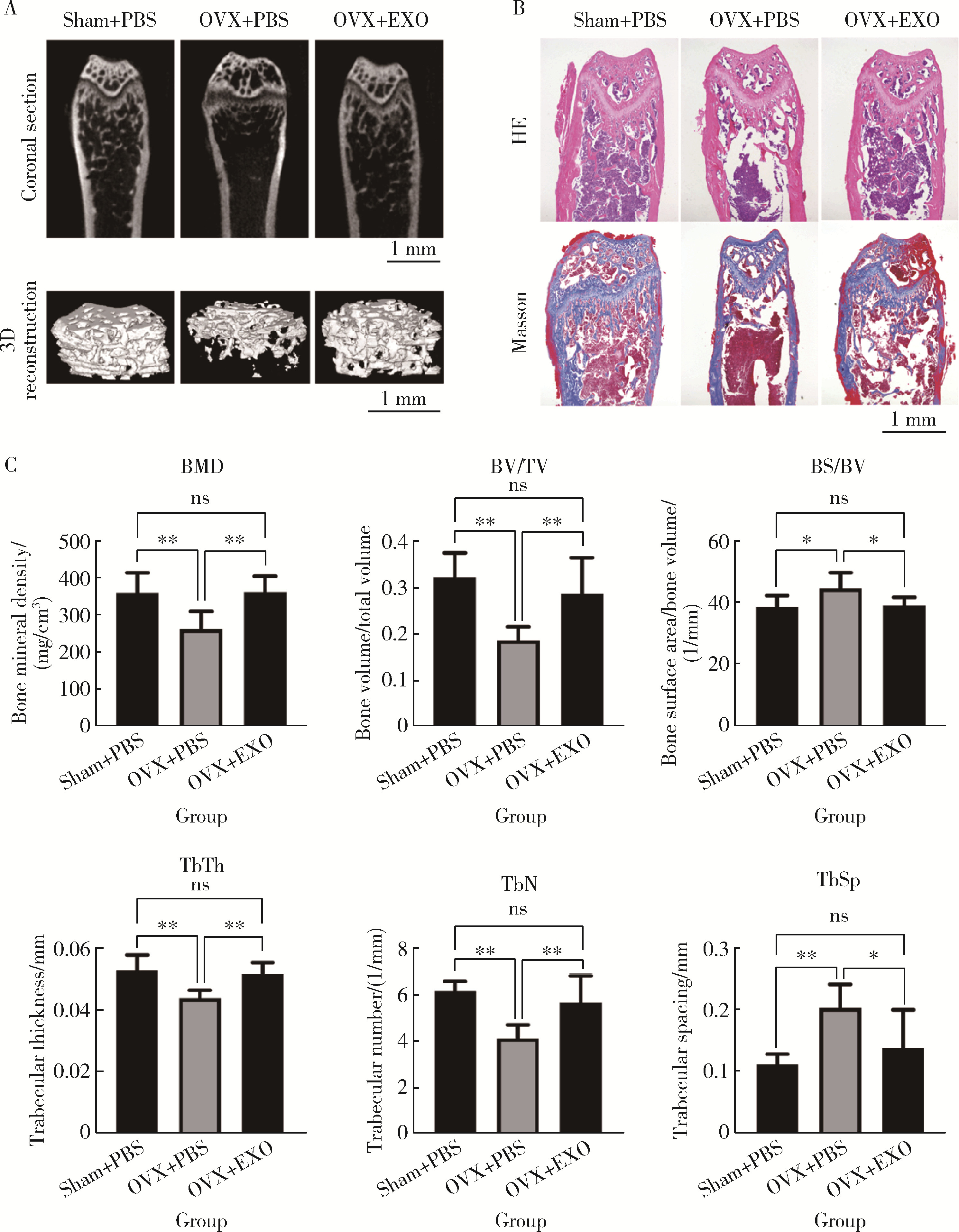
目的: 研究人脂肪间充质干细胞(human adipose-derived mesenchymal stem cells,hASCs)外泌体对骨质疏松小鼠骨髓间充质干细胞(bone marrow mesenchymal stem cells,BMSCs)成骨分化的影响,以及对雌激素缺乏引起的骨质疏松的预防效果。方法: 采用超速离心法提取hASCs分泌的外泌体,然后提取骨质疏松小鼠BMSCs,并将这些细胞暴露于含有hASCs外泌体的成骨诱导培养基中作为实验组,同时使用不含hASCs外泌体的成骨诱导培养基对BMSCs进行成骨诱导作为对照组,通过碱性磷酸酶(alkaline phosphatase, ALP)染色和定量分析以及实时荧光定量聚合酶链反应(quantitative reverse transcription polymerase chain reaction,qPCR)检测评估hASCs外泌体对BMSCs成骨分化的影响。将标记有荧光信号的hASCs外泌体通过尾静脉注射入小鼠体内,观察外泌体的体内分布情况。切除小鼠双侧卵巢构建小鼠雌激素缺乏模型,术后两周将小鼠分为3组:实验组为雌激素缺乏小鼠接受hASCs外泌体注射;阴性对照组为雌激素缺乏小鼠接受磷酸缓冲盐溶液(phosphate buffered saline,PBS)注射;阳性对照组为假手术(Sham)小鼠接受PBS注射,每3天注射1次,共注射8次后收集小鼠股骨,拍摄显微CT(micro computed tomography,micro-CT),计算骨密度并进行骨形态学分析。结果: 使用超速离心法成功提取hASCs外泌体。hASCs外泌体使骨质疏松小鼠BMSCs的ALP染色加深,ALP活性增强,成骨相关基因表达上调。注射hASCs外泌体的雌激素缺乏小鼠较注射PBS的雌激素缺乏小鼠股骨骨小梁更为致密,骨密度增大,并且与Sham组相比并未出现明显的骨密度降低。结论: hASCs外泌体不仅能在体外促进骨质疏松小鼠BMSCs的成骨分化,还能在体内有效预防去势小鼠骨质疏松的发生,这些发现为hASCs外泌体作为一种新型的生物治疗手段在骨质疏松症的预防中的应用提供了科学依据。

关键词: 间充质干细胞, 成骨分化, 外泌体, 骨质疏松

Abstract:

Objective: To investigate the effect of human adipose-derived mesenchymal stem cells (hASCs) exosomes on osteogenic differentiation of bone marrow mesenchymal stem cells (BMSCs) extracted from osteoporotic mice, and to evaluate the effect of hASCs exosomes on preventing bone loss induced by estrogen deficiency. Methods: hASCs exosomes were extracted by ultracentrifugation. The osteoporotic mice were established by bilateral ovariectomy (OVX). BMSCs were isolated from osteo-porotic mice and cultured for further analysis. In the experimental group, these BMSCs were exposed to an osteogenic induction medium supplemented with hASCs exosomes to evaluate their potential effects on osteogenesis. In contrast, the control group was treated with the same osteogenic induction medium, but without the addition of hASCs exosomes, to serve as a baseline comparison for the study. To comprehensively assess the osteogenic differentiation of BMSCs influenced by hASCs exosomes, alkaline phosphatase (ALP) staining, ALP activity quantitative analysis and quantitative reverse transcription polymerase chain reaction (qPCR) were performed. These evaluations provided critical insights into the role of hASCs exosomes in promoting osteoblast differentiation and bone formation in osteoporotic conditions. The fluorescence labeled hASCs exosomes were injected via the tail vein to observe the biodistribution of exosomes. Two weeks after OVX, the mice were divided into three groups: The experimental group consisted of estrogen-deficient mice receiving hASCs exosome injections; the negative control group consisted of estrogen-deficient mice receiving phosphate-buffered saline (PBS) injections; and the positive control group consisted of mice that underwent Sham surgery and received PBS injections.The injections were administered once every 3 days, for a total of 8 injections. Afterward, the femurs were collected from the mice, and micro-computed tomography (micro-CT) was performed to measure bone mineral density and conduct bone morphometric analysis. Results: hASCs exosomes were successfully extracted using ultracentrifugation. After the induction by hASCs exosomes, ALP staining and ALP activity in the BMSCs extracted from osteoporotic mice were significantly enhanced, the expression of osteogenesis related genes in BMSCs were significantly up-regulated. More trabecular bone and higher bone mineral density were observed in estrogen-deficient mice injected with hASCs exosomes compared with estrogen-deficient mice injected with PBS, and there was no significant decrease in bone mineral density compared with the Sham operation group. Conclusion: hASCs exosomes promoted the osteogenic differentiation of BMSCs extracted from osteoporotic mice. hASCs exosomes prevented bone loss induced by estrogen deficiency.

Key words: Mesenchymal stem cells, Osteogenic differentiation, Exosomes, Osteoporosis

中图分类号: 

  • R787

表1

qPCR引物序列"

Primers Forward (5′-3′) Reverse (5′-3′)
Gapdh TCACTCAAGATTGTCAGCAA AGATCCACGACGGACACATT
Alp TGACCTTCTCTCCTCCATCC CTTCCTGGGAGTCTCATCCT
Runx2 TAAGAAGAGCCAGGCAGGTG TGGCAGGTACGTGTGGTAGT
Ocn TGCTTGTGACGAGCTATCAG GAGGACAGGGAGGATCAAGT

图1

hASCs外泌体鉴定"

图2

hASCs外泌体促进mBMSCs成骨分化"

图3

外泌体在小鼠体内的分布"

图4

hASCs外泌体预防OVX引起的骨质疏松"

1 Brown C . Osteoporosis: Staying strong[J]. Nature, 2017, 550 (7674): 15- 17.
doi: 10.1038/nature.2017.22694
2 中华医学会骨质疏松和骨矿盐疾病分会. 中国骨质疏松症流行病学调查及"健康骨骼"专项行动结果发布[J]. 中华骨质疏松和骨矿盐疾病杂志, 2019, 12 (4): 317- 318.
doi: 10.3969/j.issn.1674-2591.2019.04.001
3 Kerschan-Schindl K . Prevention and rehabilitation of osteoporosis[J]. Wien Med Wochenschr, 2016, 166 (1/2): 22- 27.
4 Harvey NC , McCloskey E , Kanis JA , et al. Bisphosphonates in osteoporosis: NICE and easy?[J]. Lancet, 2017, 390 (10109): 2243- 2244.
5 Rossouw JE , Anderson GL , Prentice RL , et al. Risks and benefits of estrogen plus progestin in healthy postmenopausal women: Principal results from the Women' s Health Initiative randomized controlled trial[J]. JAMA, 2002, 288 (3): 321- 333.
doi: 10.1001/jama.288.3.321
6 Phetfong J , Sanvoranart T , Nartprayut K , et al. Osteoporosis: The current status of mesenchymal stem cell-based therapy[J]. Cell Mol Biol Lett, 2016, 21, 12.
doi: 10.1186/s11658-016-0013-1
7 Berkowitz AL , Miller MB , Mir SA , et al. Glioproliferative lesion of the spinal cord as a complication of "stem-cell tourism"[J]. N Engl J Med, 2016, 375 (2): 196- 198.
doi: 10.1056/NEJMc1600188
8 Sadat-Ali M , Al-Dakheel DA , Al-Mousa SA , et al. Stem-cell therapy for ovariectomy-induced osteoporosis in rats: A comparison of three treatment modalities[J]. Stem Cells Cloning, 2019, 12, 17- 25.
9 Liew LC , Katsuda T , Gailhouste L , et al. Mesenchymal stem cell-derived extracellular vesicles: A glimmer of hope in treating Alzheimer' s disease[J]. Int Immunol, 2017, 29 (1): 11- 19.
doi: 10.1093/intimm/dxx002
10 Li G , Zhang Y , Wu J , et al. Adipose stem cells-derived exosomes modified gelatin sponge promotes bone regeneration[J]. Front Bioeng Biotechnol, 2023, 11, 1096390.
11 Soleimani M , Nadri S . A protocol for isolation and culture of mesenchymal stem cells from mouse bone marrow[J]. Nat Protoc, 2009, 4 (1): 102- 106.
doi: 10.1038/nprot.2008.221
12 Luo ZW , Li FX , Liu YW , et al. Aptamer-functionalized exosomes from bone marrow stromal cells target bone to promote bone regeneration[J]. Nanoscale, 2019, 11 (43): 20884- 20892.
doi: 10.1039/C9NR02791B
13 Chen S , Zheng Y , Zhang S , et al. Promotion effects of miR-375 on the osteogenic differentiation of human adipose-derived mesenchymal stem cells[J]. Stem Cell Reports, 2017, 8 (3): 773- 786.
doi: 10.1016/j.stemcr.2017.01.028
14 Lv L , Ge W , Liu Y , et al. Lysine-specific demethylase 1 inhibitor rescues the osteogenic ability of mesenchymal stem cells under osteoporotic conditions by modulating H3K4 methylation[J]. Bone Res, 2016, 4, 16037.
doi: 10.1038/boneres.2016.37
15 Li L , Wang Z . Ovarian aging and osteoporosis[J]. Adv Exp Med Biol, 2018, 1086, 199- 215.
16 Garnero P , Chapuy MC , Pierre D . Increased bone turnover in late postmenopausal women is a major determinant of osteoporosis[J]. J Bone Miner Res, 1996, 11 (3): 337- 349.
doi: 10.1002/jbmr.5650110307
17 Shen G , Ren H , Shang Q , et al. Foxf1 knockdown promotes BMSC osteogenesis in part by activating the Wnt/beta-catenin signalling pathway and prevents ovariectomy-induced bone loss[J]. EBioMedicine, 2020, 52, 102626.
doi: 10.1016/j.ebiom.2020.102626
18 Prockop DJ . Marrow stromal cells as stem cells for nonhemato-poietic tissues[J]. Science, 1997, 276 (5309): 71- 74.
doi: 10.1126/science.276.5309.71
19 Pittenger MF , Mackay AM , Beck SC , et al. Multilineage potential of adult human mesenchymal stem cells[J]. Science, 1999, 284 (5411): 143- 147.
doi: 10.1126/science.284.5411.143
20 Li W , Liu Y , Zhang P , et al. Tissue-engineered bone immobilized with human adipose stem cells-derived exosomes promotes bone regeneration[J]. ACS Appl Mater Interfaces, 2018, 10 (6): 5240- 5254.
doi: 10.1021/acsami.7b17620
21 Huang T , Yu Z , Yu Q , et al. Inhibition of osteogenic and adipogenic potential in bone marrow-derived mesenchymal stem cells under osteoporosis[J]. Biochem Biophys Res Commun, 2020, 525 (4): 902- 908.
22 Mohamed-Ahmed S , Fristad I , Lie SA , et al. Adipose-derived and bone marrow mesenchymal stem cells: A donor-matched comparison[J]. Stem Cell Res Ther, 2018, 9 (1): 168.
doi: 10.1186/s13287-018-0914-1
23 Ibrahim A , Marban E . Exosomes: Fundamental biology and roles in cardiovascular physiology[J]. Annu Rev Physiol, 2016, 78, 67- 83.
doi: 10.1146/annurev-physiol-021115-104929
24 Zhou Y , Xu H , Xu W , et al. Exosomes released by human umbilical cord mesenchymal stem cells pr otect against cisplatin-induced renal oxidati ve stress and apoptosis in vivo and in vitro[J]. Stem Cell Res Ther, 2013, 4 (2): 34.
doi: 10.1186/scrt194
25 Zhang B , Wang M , Gong A , et al. HucMSC-exosome mediated-Wnt4 signaling is required for cutaneous wound healing[J]. Stem Cells, 2015, 33 (7): 2158- 2168.
doi: 10.1002/stem.1771
26 Zuo R , Liu M , Wang Y , et al. BM-MSC-derived exosomes alle-viate radiation-induced bone loss by restoring the function of recipient BM-MSCs and activating Wnt/beta-catenin signaling[J]. Stem Cell Res Ther, 2019, 10 (1): 30.
27 Yang BC , Kuang MJ , Kang JY , et al. Human umbilical cord mesenchymal stem cell-derived exosomes act via the miR-1263/Mob1/Hippo signaling pathway to prevent apoptosis in disuse osteoporosis[J]. Biochem Biophys Res Commun, 2020, 524 (4): 883- 889.
28 Wang X , Omar O , Vazirisani F , et al. Mesenchymal stem cell-derived exosomes have altered microRNA profiles and induce osteogenic differentiation depending on the stage of differentiation[J]. PLoS One, 2018, 13 (2): e0193059.
29 Liu T , Hu W , Zou X , et al. Human periodontal ligament stem cell-derived exosomes promote bone regeneration by altering microRNA profiles[J]. Stem Cells Int, 2020, 2020, 8852307.
30 Wang L , Pan Y , Liu M , et al. Wen-Shen-Tong-Luo-Zhi-Tong Decoction regulates bone-fat balance in osteoporosis by adipocyte-derived exosomes[J]. Pharm Biol, 2023, 61 (1): 568- 580.
31 Wiklander OP , Nordin JZ , O' Loughlin A , et al. Extracellular vesicle in vivo biodistribution is determined by cell source, route of administration and targeting[J]. J Extracell Vesicles, 2015, 4, 26316.
32 Song H , Li X , Zhao Z , et al. Reversal of osteoporotic activity by endothelial cell-secreted bone targeting and biocompatible exosomes[J]. Nano Lett, 2019, 19 (5): 3040- 3048.
[1] 杨菊, 刘玥, 曲春娜, 孙健斌, 李天英, 石连杰. 双膦酸盐相关性颌骨坏死1例[J]. 北京大学学报(医学版), 2025, 57(2): 388-392.
[2] 帅婷, 郭艳艳, 林春平, 侯晓玫, 金婵媛. 敲减NPTX1促进人骨髓间充质干细胞成骨分化[J]. 北京大学学报(医学版), 2025, 57(1): 7-12.
[3] 胡轶博, 吕伟佳, 夏炜, 刘亦洪. 基于细胞生长与成骨分化的不同孔径生物支架流体力学有限元分析[J]. 北京大学学报(医学版), 2025, 57(1): 97-105.
[4] 武志慧, 胡明智, 赵巧英, 吕凤凤, 张晶莹, 张伟, 王永福, 孙晓林, 王慧. miR-125b-5p修饰脐带间充质干细胞对系统性红斑狼疮的免疫调控机制[J]. 北京大学学报(医学版), 2024, 56(5): 860-867.
[5] 白心竹,何金徽,陆松松,李春,王依林,熊建. 椎体骨折合并活化部分凝血活酶时间延长1例[J]. 北京大学学报(医学版), 2024, 56(2): 371-374.
[6] 李文根,古晓东,翁锐强,刘苏东,陈超. 血浆外泌体miR-34-5p和miR-142-3p在系统性硬化症中的表达及临床意义[J]. 北京大学学报(医学版), 2023, 55(6): 1022-1027.
[7] 汪大伟,王华东,李利,尹欣,黄伟,郭继东,杨亚锋,刘义灏,郑扬. 自体下关节突骨块应用于骨质疏松患者腰椎椎间融合术的疗效分析[J]. 北京大学学报(医学版), 2023, 55(5): 899-909.
[8] 叶雨阳,岳林,邹晓英,王晓燕. 成牙本质方向分化牙髓干细胞外泌体形态及微小RNA表达谱特征[J]. 北京大学学报(医学版), 2023, 55(4): 689-696.
[9] 韩超,周祝兴,陈有荣,董子慧,余家阔. 绵羊外周血间充质干细胞的生物学特性[J]. 北京大学学报(医学版), 2022, 54(6): 1151-1157.
[10] 姜保国,张培训. 老年髋部骨折的围手术期风险评估[J]. 北京大学学报(医学版), 2022, 54(5): 803-809.
[11] 帅婷,刘娟,郭艳艳,金婵媛. 敲减长链非编码RNA MIR4697HG抑制骨髓间充质干细胞成脂向分化[J]. 北京大学学报(医学版), 2022, 54(2): 320-326.
[12] 蒋青,张雨. 新形势下运动损伤特点及细胞生物治疗的应用前景和挑战[J]. 北京大学学报(医学版), 2021, 53(5): 828-831.
[13] 尤鹏越,刘玉华,王新知,王思雯,唐琳. 脱细胞猪心包膜生物相容性及成骨性能的体内外评价[J]. 北京大学学报(医学版), 2021, 53(4): 776-784.
[14] 白向松,吕珑薇,周永胜. Tribbles同源蛋白3抑制人脂肪间充质干细胞成脂向分化[J]. 北京大学学报(医学版), 2020, 52(1): 1-9.
[15] 高晓敏,邹晓英,岳林. 根尖牙乳头干细胞摄取外泌体的介导途径[J]. 北京大学学报(医学版), 2020, 52(1): 43-50.
Viewed
Full text


Abstract

Cited

  Shared   
  Discussed   
No Suggested Reading articles found!