北京大学学报(医学版) ›› 2024, Vol. 56 ›› Issue (3): 546-550. doi: 10.19723/j.issn.1671-167X.2024.03.024

• 病例报告 • 上一篇    下一篇

腹膜透析患者获得性肾囊肿出血3例

侯婉音,董捷*()   

  1. 北京大学第一医院肾脏内科, 北京大学肾脏疾病研究所, 卫生部肾脏疾病重点实验室, 慢性肾脏病防治教育部重点实验室, 北京 100034
  • 收稿日期:2022-05-30 出版日期:2024-06-18 发布日期:2024-06-12
  • 通讯作者: 董捷 E-mail:jie.dong@bjmu.edu.cn

Acquired cystic kidney hemorrhage in peritoneal dialysis patients: A report of three cases

Wanyin HOU,Jie DONG*()   

  1. Department of Nephrology, Peking University First Hospital; Institute of Nephrology, Peking University; Key Lab of Renal Disease, Ministry of Health of China; Key Laboratory of CKD Prevention and Treatment, Ministry of Education of China, Beijing 100034, China
  • Received:2022-05-30 Online:2024-06-18 Published:2024-06-12
  • Contact: Jie DONG E-mail:jie.dong@bjmu.edu.cn

RICH HTML

  

关键词: 腹膜透析, 获得性肾囊肿, 出血, 治疗

Abstract:

Spontaneous renal cyst hemorrhage is one of the clinical emergencies in peritoneal dialysis (PD) patients and is potentially life-threatening. The main complaints are sudden low back pain, paleness, and hypotensive shock with or without vomiting or fever. In contrast to inherited polycystic kidney disease, acquired cystic kidney disease (ACKD) secondary to chronic kidney disease is easily overlooked or delayed in clinical diagnosis and treatment, leading to severe clinical outcomes. We report three patients with spontaneous hemorrhage of ACKD in the peritoneal dialysis center at Peking University First Hospital. The common features are as follows, long history of dialysis, mild to severe low back pain, decrease in hemoglobulin, negative PD solutions, diagnosis established through computed tomography (CT), and continuing PD during treatment of ACKD hemorrhage. Treatments vary from conservative to unilaterally selective renal artery embolization. In this study, ACKD morbidity was investigated in PD patients. A total of 316 patients who had an abdominal ultrasound, CT, or magnetic resonance imaging (MRI) in the past 1 year were enrolled. Among them, 103 cases (32.9%) met the diagnostic criteria of ACKD. The morbidity rates were 27.5%, 37.8%, 43.8%, 59.1%, and 88.6%, when the dialysis history ranged from ≤3, >3 & ≤5, >5 & ≤7, >7 & ≤9, >9 years, respectively, showing a increasing trend. Most ACKD hemorrhages could be healed and got an acceptable prognosis after treatment, including rest, blood transfusion, selective renal artery embolization, or nephrectomy. We summarize the risk factors, including a long history of dialysis, anticoagulation or antiplatelet, and inflammation or stones of the urinary system, but with no difference in initial kidney diseases and gender. ACKD hemorrhage mainly includes intracapsular hemorrhage, cyst rupture, and spontaneous retroperitoneal hemorrhage. In addition, we also recommend an adaptive process for spontaneous kidney hemorrhage of diagnosis and treatment in peritoneal dialysis patients. The significance of these cases lies in the fact that patients with ACKD are potentially associated with complications such as cyst hemorrhage and malignancy. Thus, peritoneal dialysis physicians should place great importance on the surveillance of ACKD.

Key words: Peritoneal dialysis, Acquired cystic kidney disease, Hemorrhage, Therapy

中图分类号: 

  • R459.5

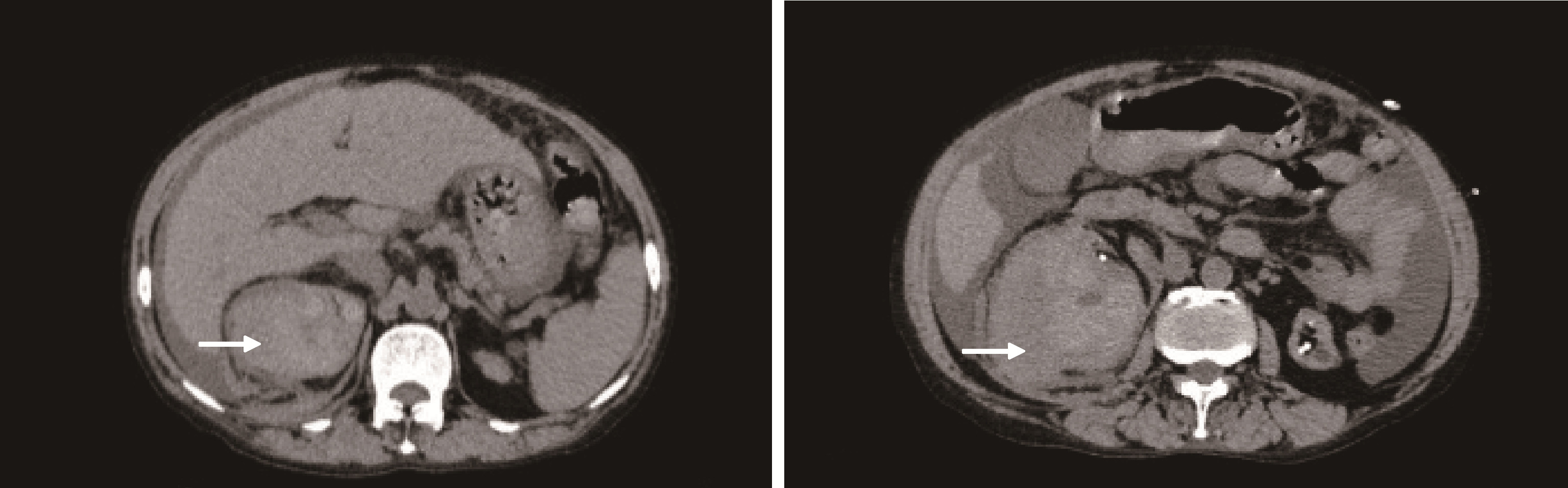
图1

病例1腹部CT图像"

图2

腹膜透析龄与ACKD患病率之间的关系"

图3

腹膜透析患者ACKD出血筛查和应对流程"

1 Li PK , Chow KM , Van de Luijtgaarden MW , et al. Changes in the worldwide epidemiology of peritoneal dialysis[J]. Nat Rev Nephrol, 2017, 13 (2): 90- 103.
doi: 10.1038/nrneph.2016.181
2 Yang C , Gao B , Zhao X , et al. Executive summary for China kidney disease network (CK-NET) 2016 annual data report[J]. Kidney Int, 2020, 98 (6): 1419- 1423.
doi: 10.1016/j.kint.2020.09.003
3 Zhang JQ , Fielding JR , Zou KH . Etiology of spontaneous perirenal hemorrhage: A meta-analysis[J]. J Urol, 2002, 167 (4): 1593- 1596.
doi: 10.1016/S0022-5347(05)65160-9
4 Cinman AC , Farrer J , Kaufman JJ , et al. Spontaneous perinephric hemorrhage in a 65-year-old man[J]. J Urol, 1985, 133 (5): 829- 832.
doi: 10.1016/S0022-5347(17)49243-3
5 Chapman AB, Rahbari-Oskoui FF, Bennett WM, et al. Acquired cystic disease of the kidney in adults [DB/OL]. Uptodate. [2022-03-19]. https://www.uptodate.com/contents/acquired-cystic-disease-of-the-kidney-in-adults?search=Acquired%20cystic%20disease%20of%20the%20kidney%20in%20adults&source=Out%20of%20date%20-%20zh-Hans&selectedTitle=1%7E32.
6 Rahbari-Oskoui F , O'Neill WC . Diagnosis and management of acquired cystic kidney disease and renal tumors in ESRD patients[J]. Semin Dial, 2017, 30 (4): 373- 379.
doi: 10.1111/sdi.12605
7 Narasimhan N , Golper TA , Wolfson M , et al. Clinical characte-ristics and diagnostic considerations in acquired renal cystic di-sease[J]. Kidney Int, 1986, 30 (5): 748- 752.
doi: 10.1038/ki.1986.251
8 Ferda J , Hora M , Hes O , et al. Computed tomography of renal cell carcinoma in patients with terminal renal impairment[J]. Eur J Radiol, 2007, 63 (2): 295- 301.
doi: 10.1016/j.ejrad.2007.01.027
9 Liu JS , Ishikawa I , Horiguchi T . Incidence of acquired renal cysts in biopsy specimens[J]. Nephron, 2000, 84 (2): 142- 147.
doi: 10.1159/000045562
10 Choyke PL . Acquired cystic kidney disease[J]. Eur Radiol, 2000, 10 (11): 1716- 1721.
doi: 10.1007/s003300000601
11 Ishikawa I . Acquired cystic disease: Mechanisms and manifestations[J]. Semin Nephrol, 1991, 11 (6): 671- 684.
12 Sun Y , Argani P , Tickoo SK , et al. Acquired cystic disease-associated renal cell carcinoma (ACKD-RCC)-like cysts[J]. Am J Surg Pathol, 2018, 42 (10): 1396- 1401.
doi: 10.1097/PAS.0000000000001124
13 Rainio J , De Giorgio F , Carbone A . Death from renal cyst: Spontaneous or traumatic rupture?[J]. Am J Forensic Med Pathol, 2006, 27 (2): 193- 195.
doi: 10.1097/01.paf.0000220918.46766.f8
14 Sarasin FP , Wong JB , Leve AS , et al. Screening for acquired cystic kidney disease: A decision analytic perspective[J]. Kidney Int, 1995, 48 (1): 207- 219.
doi: 10.1038/ki.1995.286
15 Levine E , Slusher SL , Grantham JJ , et al. Natural history of acquired renal cystic disease in dialysis patients: A prospective longitudinal CT study[J]. AJR Am J Roentgenol, 1991, 156 (3): 501- 506.
doi: 10.2214/ajr.156.3.1899744
16 Zhou C , Gu Y , Mei C , et al. Dialysis modality and mortality in polycystic kidney disease[J]. Hemodial Int, 2018, 22 (4): 515- 523.
doi: 10.1111/hdi.12673
17 Xie Y , Yang B , Jiang G , et al. Spontaneous perirenal hemorrhage in hemodialysis patient treated with selective embolization: A case series and review of the literature[J]. Hemodial Int, 2018, 22 (2): 222- 227.
doi: 10.1111/hdi.12607
18 Brennan JF , Stilmant MM , Babayan RK , et al. Acquired renal cystic disease: Implications for the urologist[J]. Br J Urol, 1991, 67 (4): 342- 348.
doi: 10.1111/j.1464-410X.1991.tb15158.x
19 Levine E . Acquired cystic kidney disease[J]. Radiol Clin North Am, 1996, 34 (5): 947- 964.
doi: 10.1016/S0033-8389(22)00680-7
20 Gulanikar AC , Daily PP , Kilambi NK , et al. Prospective pretransplant ultrasound screening in 206 patients for acquired renal cysts and renal cell carcinoma[J]. Transplantation, 1998, 66 (12): 1669- 1672.
doi: 10.1097/00007890-199812270-00017
21 Mallofré C , Almirall J , Campistol JM , et al. Acquired renal cystic disease in HD: A study of 82 nephrectomies in young patients[J]. Clin Nephrol, 1992, 37 (6): 297- 302.
22 Truong LD , Krishnan B , Cao JT , et al. Renal neoplasm in acquired cystic kidney disease[J]. Am J Kidney Dis, 1995, 26 (1): 1- 12.
doi: 10.1016/0272-6386(95)90146-9
23 Grantham JJ . Acquired cystic kidney disease[J]. Kidney Int, 1991, 40 (1): 143- 152.
doi: 10.1038/ki.1991.192
24 Scandling JD . Acquired cystic kidney disease and renal cell cancer after transplantation: Time to rethink screening?[J]. Clin J Am Soc Nephrol, 2007, 2 (4): 621- 622.
doi: 10.2215/CJN.02000507
[1] 丁汉东, 王琴, 廖贵益, 郝宗耀. 肾移植术后并发消化道出血的诊治[J]. 北京大学学报(医学版), 2024, 56(5): 902-907.
[2] 刘家骏, 刘国康, 朱玉虎. 免疫相关性重症肺炎1例[J]. 北京大学学报(医学版), 2024, 56(5): 932-937.
[3] 黄教悌,胡菁,韩博. 治疗相关神经内分泌前列腺癌机制研究与靶向治疗新进展[J]. 北京大学学报(医学版), 2024, 56(4): 557-561.
[4] 李文菁,张保宙,李恒,赖良鹏,杜辉,孙宁,龚晓峰,李莹,王岩,武勇. 胫距跟融合治疗终末期踝和后足病变的中短期临床结果[J]. 北京大学学报(医学版), 2024, 56(2): 299-306.
[5] 司筱芊,赵秀娟,朱凤雪,王天兵. 创伤出血性休克后急性呼吸窘迫综合征的危险因素[J]. 北京大学学报(医学版), 2024, 56(2): 307-312.
[6] 冯琦琛,盖铄,王昌明,李选. 经同侧大隐静脉入路髂静脉成型及支架植入术在日间治疗模式中的应用[J]. 北京大学学报(医学版), 2024, 56(2): 322-325.
[7] 陈克伟,邓绍晖,刘茁,张洪宪,马潞林,张树栋. 肾血管平滑肌脂肪瘤破裂出血的手术时机[J]. 北京大学学报(医学版), 2024, 56(2): 326-331.
[8] 彭圣嘉,祁雨,孙丽杰,李丹,王新宇,韩江莉,陈宝霞,张媛. 传入压力反射衰竭合并低钠血症1例[J]. 北京大学学报(医学版), 2024, 56(2): 357-361.
[9] 陈晨,梁宇红. 复杂根管上颌磨牙的根管治疗3例[J]. 北京大学学报(医学版), 2024, 56(1): 190-195.
[10] 任晓萌,李凯一,李春蕾. 基于转录组测序探索口腔扁平苔藓局部激素治疗敏感性相关分子特征[J]. 北京大学学报(医学版), 2024, 56(1): 32-38.
[11] 张晗,秦亦瑄,韦帝远,韩劼. 牙周炎患者种植修复维护治疗依从性的影响因素[J]. 北京大学学报(医学版), 2024, 56(1): 39-44.
[12] 周颖,赵宁,黄竑远,李庆祥,郭传瑸,郭玉兴. 双层软组织缝合封闭技术在下颌骨中早期药物相关性颌骨骨坏死患者手术治疗中的应用[J]. 北京大学学报(医学版), 2024, 56(1): 51-56.
[13] 邹雪,白小娟,张丽卿. 艾拉莫德联合托法替布治疗难治性中重度类风湿关节炎的疗效[J]. 北京大学学报(医学版), 2023, 55(6): 1013-1021.
[14] 冯敏,陈哲,程永静. 以十二指肠溃疡为突出表现的IgG4相关性疾病1例[J]. 北京大学学报(医学版), 2023, 55(6): 1125-1129.
[15] 薛蔚,董樑,钱宏阳,费笑晨. 前列腺癌新辅助治疗与辅助治疗的现状及进展[J]. 北京大学学报(医学版), 2023, 55(5): 775-780.
Viewed
Full text


Abstract

Cited

  Shared   
  Discussed   
No Suggested Reading articles found!